Hallo zusammen,
ich habe gestern (15.09.2021) einen Täubling auf dem gegenüberliegenden Spielplatz gefunden. Der ist mir zwar schon länger bekannt, aber er fruktizierte mal wieder. Ich habe einen sehr alten und später mehrere junge Frk mitgenommen. Ich war erst verwirrt, weil sie so unglaublich verschieden aussehen. Aufgefallen ist mir ziemlich schnell ihr Geruch, den ich sicher als Apfelmus/-kompott interpretiert habe. Da die Lamellen sehr dunkel sind, habe ich in mit einer vermuteten Spp-Farbe von mindestens III bei MM geschlüsselt und kam auf R. versatilis. R. carpini könnte es auch sein, aber dagegen spricht der Geruch und fehlendes gilben sowie schwärzen. Die Sporenpulverfarbe wird hoffentlich Klarheit bringen.
Das soll aber nicht primär ein Bestimmungspost sein. Ich erhoffe mir hier, von euch Tipps zum Mikroskopieren zu bekommen - besonders zum Mikroskopieren der HDS. Ich stelle euch erst den Pilz vor und dann meine Ergebnisse des Mikroskopierens. Achtung! Viele Bilder 
Russula versatilis?
Baumpartner: Hainbuche, ausschließlich
Hut: 4-5 (7)cm, entweder gelblich-grün mit roten flecken oder außen rot bis rotgrau/lehmgrau mit gelblicher Mitte, nicht gerieft, Hh zu max. 1/3 abziehbar
Lamellen: brüchig, und ziemlich gelb, IIIc (Farbe der Lamellen)
Stiel: 2-3 (4)cm, durchwurmt; also ist unklar, ob der Stiel gekammert war
Geschmack: mild, vielleicht nussig?
Geruch: Apfelmus, süßlich
Sporenpulver: steht noch aus
FeSO4: gar nicht bis leicht rosa
Guajak: St (+++) binnen 10 Sekunden, Lamellen etwas schwächer aber wohl auch (+++)
Phenol: weinrot bis braunrot
KOH: negativ
Anilin: braun/rosa
Sulfovanilin: rot -> lila
Bild A. der ältere Frk, den ich zur Mittagszeit gefunden habe und auch erst mikroskopiert habe

B, C & D. die jüngeren Frk, die ich am Abend fand



Jetzt zu den Mikrofotos. Ich habe die HDS in Wasser, Kongorot (KR), Sulfovanilin (SV) und Karbolfuchsin mikroskopiert.
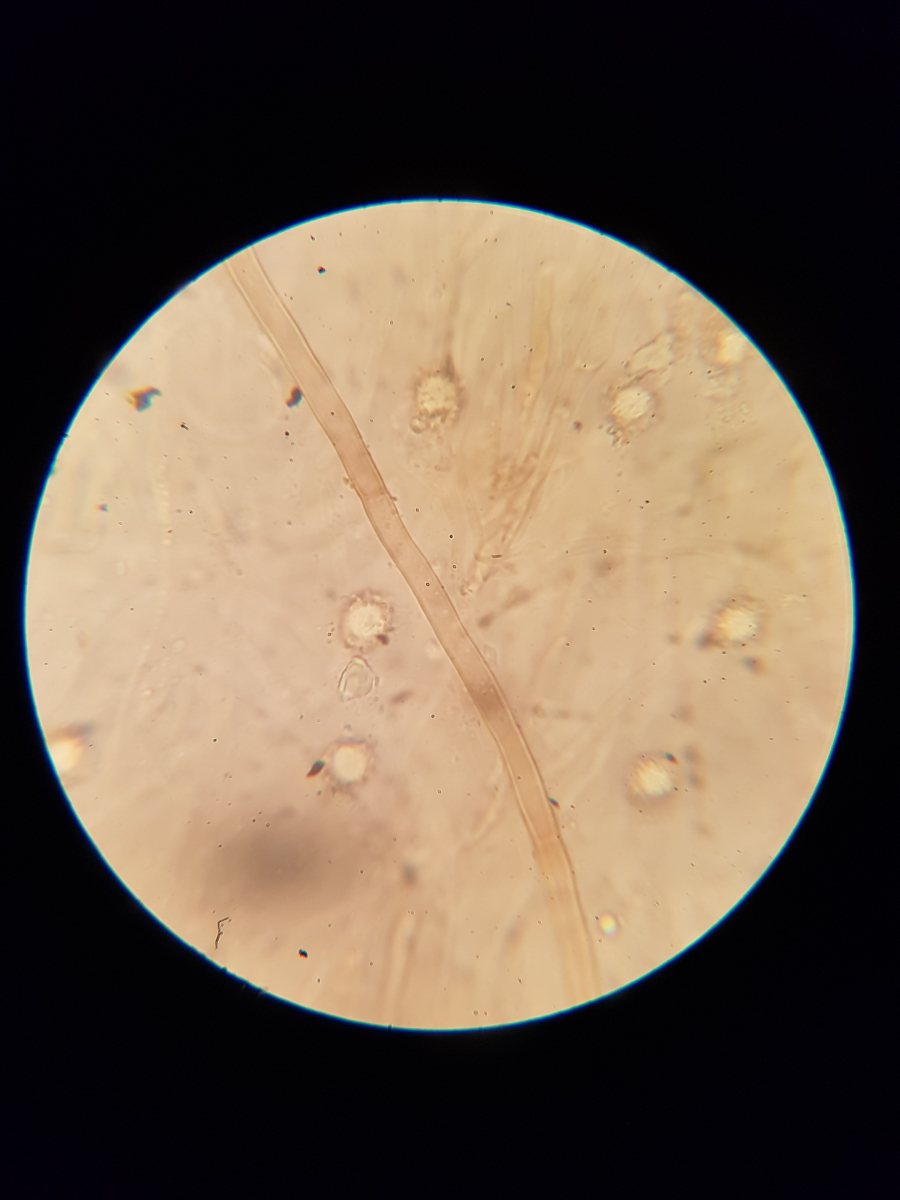
Bilder 1 & 2. Im Wasser habe ich folgende braune Strukturen gesehen (alter Frk):


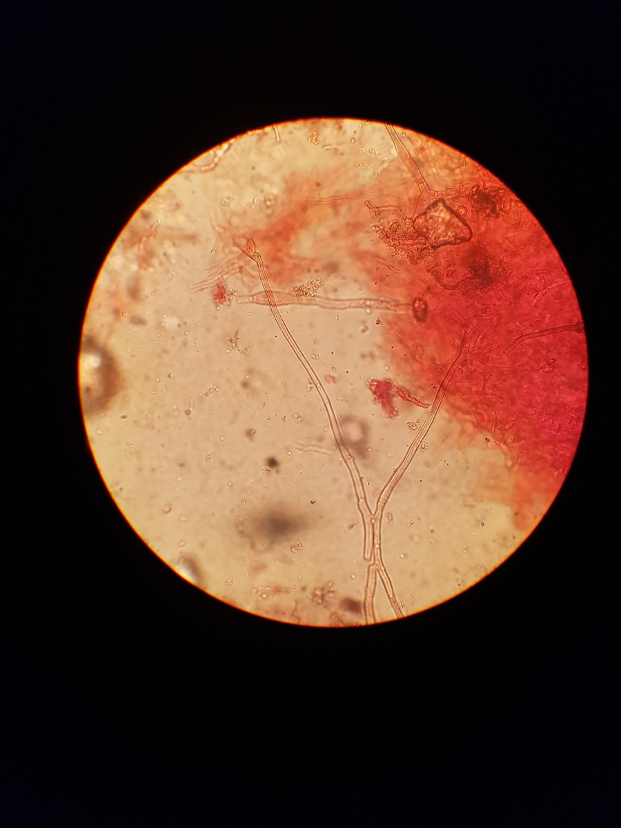
3 & 4. ähnliche Strukturen habe ich auch in SV und KG gesehen:


Diese Strukturen, die ich leider später nicht mehr wieder fand, sowohl an dem alten Frk als auch an den jüngeren, würde ich als Pileozystidien interpretieren, besonders, weil sie sich in SV angefärbt haben.
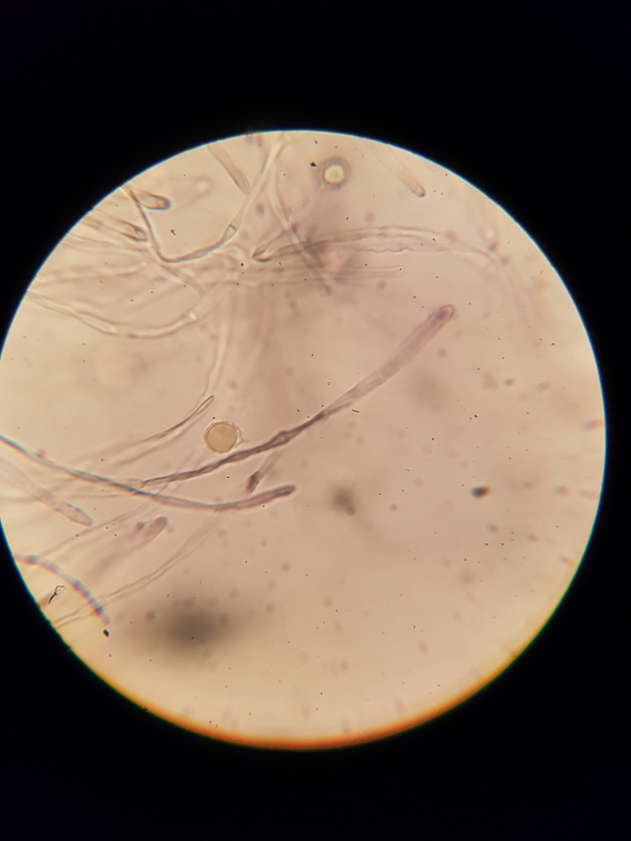
5 & 6. Des weiteren habe ich keulenförmige und blasenförmige Strukturen gefunden:


7, 8 & 9.



Sind das Haare? Gehören die blasigen Zellen zu den keulenförmigen Strukturen?
10. Unter Karbolfuchsin hat sich nichts spannendes gezeigt:

Somit kann ich inkrustierte Primoridalhyphen ausschließen.
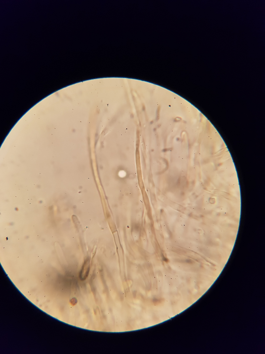
11. und zum Schluss habe ich noch sowas in der Huthaut gefunden. Ich bin echt überfragt, da ich vier Strukturen ausmachen würde. Die blasenförmigen, die keulenförmigen, die Pileozystidien? und folgende:

12. Bei den jüngeren Fruchtkörpern konnte ich folgendes noch finden. Pileozystiden nehme ich an. (Mitte links, Zelle mit Innenleben)

13. Die Lamelle habe ich auch mikroskopiert. Das sollten Cheilozystidien in SV sein, da bin ich mir sicher

So das sind meine Ergebnisse. Ich habe versucht sie zuzuordnen und zu interpretieren, aber weit gekommen bin ich nicht. Ob es jetzt R. versatilis ist, ist zweitrangig. Ich würde mich über Interpretationen der Strukturen freuen und Tipps, was ich anders machen sollte. Noch sind die Frk frisch, also ich werde sie gut untersuchen können; sie werden heute Abend zu Exsikkaten. Sporenpulverfarbe und Bilder zu den Sporen kommen später.
LG Oliver