Hallo zusammen,
ich habe heute einen Täubling mikroskopisch (Exsikkat) bearbeitet, den ich im Forum schonmal früher zur Bestimmung, aber ohne Mikromerkmale gestellt habe. Er gehört zur Sektion Griseinae, die ja sehr kompliziert ist. Ich hoffe, ihr könnt mir hierbei helfen.
Fund: 20.08.2021; eher saurer Boden; Hang eines Buchenforsts
Baumpartner: Buchen; evtl. Fichten
Hut: 6cm d; Rand violett über grün zur Mitte hin gelb; nicht gerieft; Huthaut zu 1/3 abziebar
Lamellen: eher weich (dann doch brechend???); Hymenium löst sich am Stiel vom Hutfleisch; keine Lamelletten; keine Gabelungen
Stiel: 4,5cm
Geschmack: mild
Geruch: süßlich
Sporenpulver: IIb
FeSO4: rosa
Guajak: St&L (++)
Hier die Bilder des Fruchtkörpers:
Bild A

Bild B

Bild C

Und hier die Mikromerkmale:
HDS Kongo
Bild 1

Bild 2

HDS in SV
Bild 3

Bild 4

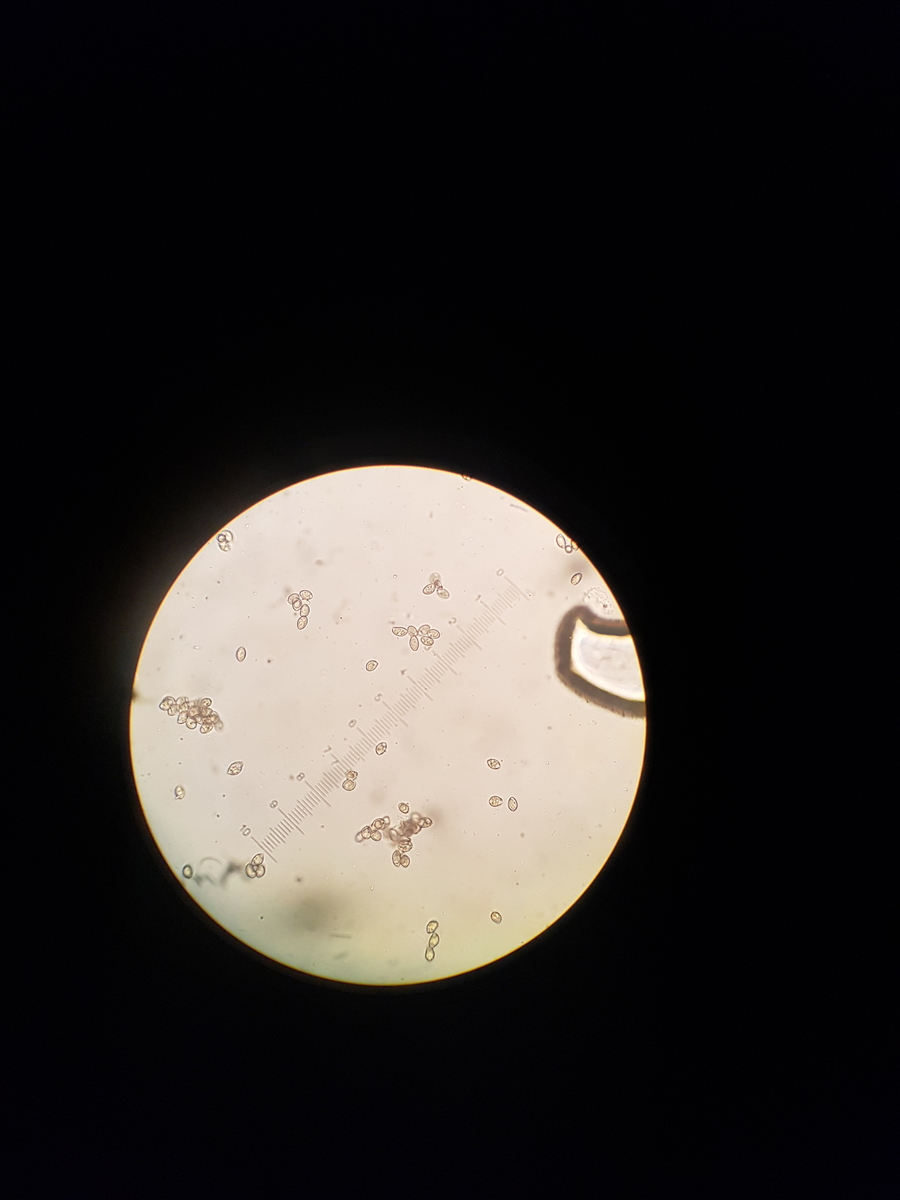
Sporen
Bild 5

Und die Messdaten:
# Länge Breite Q. Fläche (L*B)
---------------------------------------------------
1 7,18 5,67 1,27 40,71
2 6,1 5,13 1,19 31,29
3 6,64 5,64 1,18 37,45
4 7,51 6,88 1,09 51,67
5 5,64 5,44 1,04 30,68
6 7,05 5,21 1,35 36,73
7 6,55 6,14 1,07 40,22
8 7,39 5,92 1,25 43,75
9 6,69 5,15 1,3 34,45
10 6,32 5,92 1,07 37,41
11 7,15 5,85 1,22 41,83
12 6,97 6,55 1,06 45,65
13 6,82 6,09 1,12 41,53
---------------------------------------------------
min 5,64 5,13 1,04 30,68
max 7,51 6,88 1,35 51,67
mittel 6,77 5,81 1,17 39,49
Alles anzeigen
Die Sporen haben sehr niedrige Ornamente. Ich weiß nicht, wie ich sowas kleines genau messen soll, würde sie aber definitiv nicht größer als 0.5µm schätzen. Die Ornamente sind zum größten Teil isoliert, ich konnte aber wenige gratige Verbindungen auf manchen Sporen feststellen.
MM schlüsselt die Griseinae sehr rudimentär und ich habe deshalb versucht, diesen Pilz mit dem Gröger zu schlüsseln.
Für R. sublevispora sind die Pileozystiden zu dick und die Sporen nicht strikt mit isolierten Ornamenten. Die Sporen und die PileoZ passen auch für R. aeruginea, R. stenoticha und R. pseudoaeruginea nicht.
Auf Seite 532 lande ich somit bei 4b. Die Huthauthaare sind passend zugespitzt, die breiteren Basalzellen konnte ich nur wenige Male beobachten. Ich lande über 5a zur 6, wo ich R. anatina [Spp IId - IIIa] und R. subterfurcata [Südeuropa und zu breite Basidien] finde. Beide passen nicht. R. galochroa und R. faustiana, die an dieser Stelle verwiesen werden, sind es auch nicht.
Schwärzliche Pünktchen (Pigmentkörnchen) in den PileoZ konnte ich beobachten, also sollte es sich um eine Griseinae halten. Ich frage mich, ob ich irgendwo einen Fehler gemacht habe. Das Sporenpulver war nach meiner Erinnerung wirklich so hell, wurde aber auch nach ca. 12h (oder später?) nach auslegen des Pilzes beurteilet. Vielleicht ist es ja später heller geworden.
Ich hoffe, ihr könnt mir helfen und der Pilz ist bestimmbar. Weitere Mikromerkmale, die nötig sein sollten, kann ich morgen nachliefern. (Exsikkat)
Viele Grüße und Danke im Voraus
Oliver