Beiträge von boccaccio
-
-
Hallo Andy,
ich habe mit der Präpariernadel ein kleines bißchen Trama aufgenommen, dann in einen Tropfen KOH gegeben und anschließend das Tramastück mit zwei Akupunkturnadeln zerzutzelt. Anschließend Deckglas drauf und mit einem Radiergummi ordentlich geklopft. Fertig ist das Präparat.
Björn
-
-
-
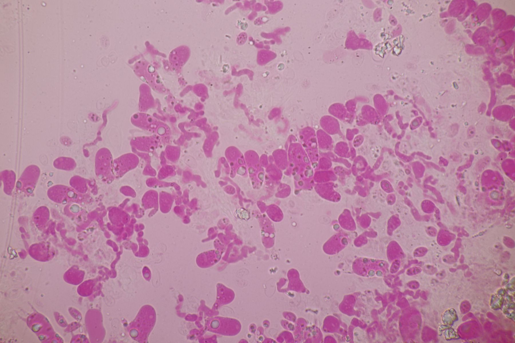
Hallo zusammen,
ich ergänze mal einen Fund vom 22.3.2026 aus Brühl an Fagus sylvatica. Wie man sieht, waren die Pilze sporenreif und mit einer dicken, weißen Sporenschicht bedeckt.
Fruchtkörper am Fundort
Schnittbild
Porenschicht
Sporen in Wasser
Trama mit Skelett- und Bindehyphen
Hymenium mit Skeletthyphen und generativen Hyphen
Björn
-
Hallo Christoph,
Leucotelium cerasi ist in Deutschland 1888 das erste Mal nachgewiesen worden (danach dann aber erst 2013 wieder in D nachgewiesen), also ist er wohl nicht neu eingeschleppt. Die Art ist aber submediterran, profitiert also wahrscheinlich vom Klimawandel. Ansonsten gilt aber ja bei fast allen Phytos, daß sie unterkartiert sind

Björn
-
Hallo Christoph,
Leucotelium cerasi kannst du auch im Spermogonienstadium kartieren. Es gibt zwar noch zwei Puccinia-Arten auf Leucotelium, die dort ebenfalls nur Spermogonien und Aecien bilden, bei denen sind die Lager aber dicht gedrängt und meist an Blattflecken (außerdem sind beide Arten in Deutschland noch nicht nachgewiesen).
Björn
-
Hallo Cognacmeister,
ich hab die Teleomorphe dieser Art selber noch nie gefunden, aber wenn du einfach etwas Material von den Poren mikroskopierst, solltest du dort Basidien und Sporen finden (wobei ich ja nach wie vor anregen möchte von Porlingen einen Sporenabwurf zu machen und nicht einfach nur ein paar zufällig im Präparat schwimmende Sporen zu dokumentieren).
Björn
-
Hallo Cognacmeister,
die Sporen von Inonotus obliquus findest du wie bei allen Basidiomyceten an den Basidien.
Björn
-
Hallo zusammen,
ich sehe hier auch die eingetrocknete Anamorphe von Dacrymyces stillatus.
Björn
-
Hallo zusammen,
am letzten Samstag habe ich in Bonn im Hofgarten Septoria bellidis an Bellis perennis finden können. Die Art ist sicherlich nicht selten, aber übersehen. Sie verursacht nekrotische Blattflecken, an denen auf beiden Blattseiten kleine schwarze Pyknidien zu finden sind. Zur Unterscheidung von Septoria bellidicola muß man die Konidien mikroskopisch untersuchen (S. bellidis: Konidien einzellig, 30-44(-60) µm x 1-2 µm, S. bellidicola: Konidien undeutlich mehrzellig, 75-100 µm x 2-3 µm).
Befallene Pflanze am Fundort
Detailaufnahme der Pyknidien bei 40x und 100x Vergrößerung
Konidien in Wasser
Björn
-
Hallo Rainer,
das ist kein Phytoparasit, sondern gehört zum Blatt. Gerade bei Boraginaceaen hat man oft solche Strukturen, die dann bei abgestorbenen Blättern besonders deutlich zu Tage treten.
Björn
-
-
Hallo zusammen,
ich bin auch dabei und kann u.a. von westfälischen Fürzen berichten.
Björn
-
Hallo Rainer,
ja, das sind Aecien von Phragmidium sanguisorbae an Sanguisorba minor.
Björn
-
Hallo zusammen,
beim Phytoparasiten bin ich mir relativ sicher, daß es sich um Uromyces acutatus handelt. Man erkennt hier deutlich Brauntöne, während die Sori von V. ornithogali eher ins Schwarze tendieren.
Björn
-
Da gibt's keine Phytos. Hab ich gestern schon alles abgesucht
Ich bin ansonsten ja auch nicht zum Spaß hier, sondern mach die ganze Woche über Physik.Björn
-
Sächsisch besetzte Zone
Dresden um genau zu sein.Björn
-
Hallo zusammen,
ich bin diese Woche in der SBZ, werde also nicht am Meeting teilnehmen.
Björn
-
Hallo zusammen,
ich ergänze mal einen Fund, den ich am 28.2.2026 im NSG Die Burg in Marl-Sinsen gemacht habe. Fundort ist ein feuchtes Waldstück mit Erlen und Eschen in Bachnähe
Fruchtkörper am Fundort
Detailaufnahme unter Mikroskop bei 40x und 100x Vergrößerung
Basidiolen mit Phloxin gefärbt
Sehr dicke Hyphen ohne Schnallen
Sporen in Wasser
Björn
-
Hallo zusammen,
nachdem ich mittlerweile wieder zu Hause bin, hab ich den Pilz aus dem Müll gefischt und nachdem der Duft der Orangenschalen, die direkt daneben lagen, verflogen war, konnte ich tatsächlich einen unangenehm-chemischen Geruch wahrnehmen.
Björn
-
ZitatHabich schonmal nicht. Davon abgesehen, dass ich mit dem Holzpilzkram schon immer auf Kriegsfuß stand, insbesondere wenns ums Mikroskopieren geht.
Phloxin kann man aber problemlos bei Andreas Gminder bestellen
Und zur Not kann man natürlich auch mit Kongorot färben. Ansonsten gilt hier wie bei allem: Übung macht den Meister. Auch wenn sich Rost- und Brandpilze natürlich viel bequemer mikroskopieren lassen als Rindenpilze ;-DBjörn
-
Hallo Harald,
bei Radulomyces confluens solltest du aber Schnallen finden. Meiner Erfahrung nach geht das am besten, wenn man ein kleines Stück Pilz erstmal in Phloxin (färbt nur den Zellinhalt, wodurch alles etwas übersichtlicher wird) gibt, wartet bis das Phloxin komplett eingetrocknet ist. Dann mit Wasser auswaschen und anschließend das gefärbte Stück Pilz in KOH geben. Da gerne kurz einweichen lassen und anschließend mit zwei feinen Nadeln noch mal so weit wie möglich zerzutzeln. Deckglas drauf (idealerweise hat man zu diesem Zeitpunkt einen relativ großen Flüssigkeitstropfen, so daß das Deckglas etwas aufschwimmt, das hilft meiner Erfahrung nach beim Klopfen im nächsten Schritt), mit einem Radiergummi draufklopfen (das erfordert etwas Übung zwischen es passiert nichts und alles ist Brei) und dann auf die Schnallensuche begeben.
Björn
-
Hallo zusammen,
das hab ich leider nicht gemacht (erinnere mich aber, daß Frank bei einem früheren Fund schon mal auf den Geruch hingewiesen hat). Jetzt bin ich auch gerade für ein paar Tage außer Haus... muß also auf den nächsten Fund warten und hoffen, daß ich mich dann daran erinnere.
Björn
-
