Hallo zusammen,
ich möchte euch gerne einige Sebacina zeigen, die ich in der letzten Zeit finden konnte und hoffe das ihr diesen Thread mit euren Funden ergänzt.
Dank der Genetik gibt es viele unbekannte Sebacinas, die sich selbst Makro/Mikroskopisch ähneln (Siehe Morphology and molecules: The Sebacinales, a case study), aber auch welche die ähnlich sind wie die Helvellosebacina.
Ein paar der hier gezeigten Pilze könnten eine Sebacina incrustans (Pers.) Tul. & C. Tul. 1871 sein, aber letztendlich kann da nur die Genetik weiterhelfen.
Die vermutliche Sebacina incrustans aus dem verlinkten Portrait könnte vielleicht zu einem Arten-Aggregat gehören oder vielleicht sogar eine Helvellosebacina sein.
Mein Ziel ist es einige Sebacina zu Dokumentieren und zu hoffen, dass in Zukunft ein paar Aufsammlungen erfolgreich Kultiviert und Sequenziert werden.
Ich finde nur so kann man sich einen Überblick über die Gattung verschaffen.
Hier sind die Bilder:
1.0 Der Fund stammt aus einem Buchenwald mit einzelnen Eichen und wurde am 19.09.21, an einem bodenliegenden Stock aufgesammelt.

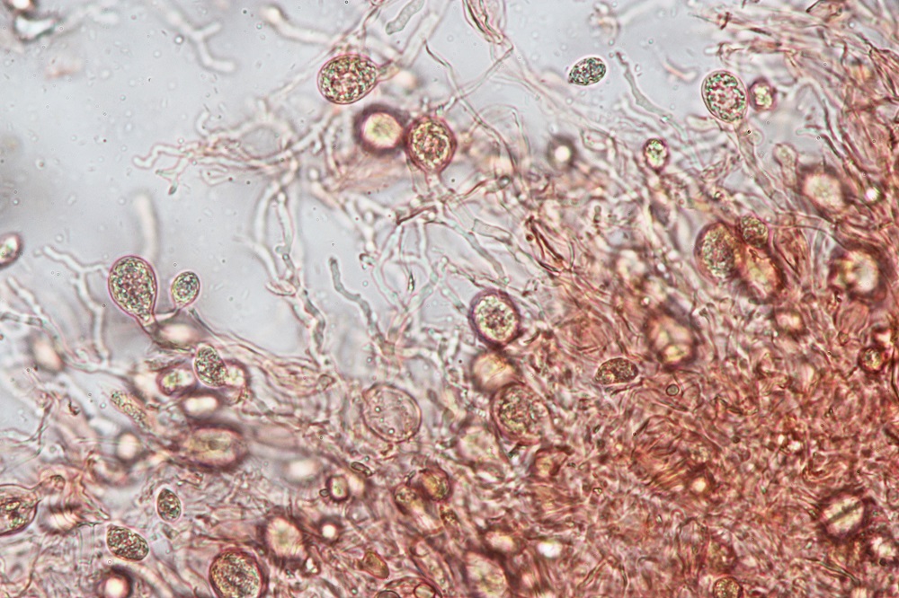
1.1 Hyphen (in Kongorot)

1.2 Hyphen (in Kongorot)

Bild 1.3 bis 1.5 sind Sporen zu sehen die weitere Sporen bilden
1.3

1.4

1.5

1.6

1.7

2.0
Eine Sebacina "incrustans" vom 01.08.21, die auf Boden in einem Buchenmischwald aufgesammelt wurde.

2.1

2.2

2.3

2.4 Links keimende Spore

3.0
Der Fund stammt vom 09.08.21 und wurde in einem Buchenmischwald aufgesammelt.
Es konnten keine keimenden Sporen gefunden werden.

3.1

3.2

3.3

3.4

3.5

3.6

4.0
Dieser Fund stammt vom 17.08.21 aus dem Botanischen Garten. Die Sporen bilden höckerige Sporen.

4.1

4.2

4.3

4.4

4.5

5.0
Der Fund stammt vom 06.09.21 und wurde an einem Hang von einem Buchenwald gemacht.

5.1

5.2

5.3 junge Basidien

5.4 keimende Spore mit Bildung einer neuen Spore

5.5

5.6

VG : Thorben