Hallo zusammen,
seit dem 03.09.23 liegt bei mir eine orangene Hypocrea, die ich meistens gemieden hatte.
Der Fundort war ein liegender Ast (Fagus) von einem Buchenwald.
Heute habe ich in dem sauren Apfel gebissen und sie zu ende Bearbeitet (Mikroskopiert war sie schon).
Das Ergebnis ist wie erhofft...nicht eingetreten.
Meine Vermutung war eine Hypocrea auranteffusa, aber es gibt auch noch ähnliche Arten.
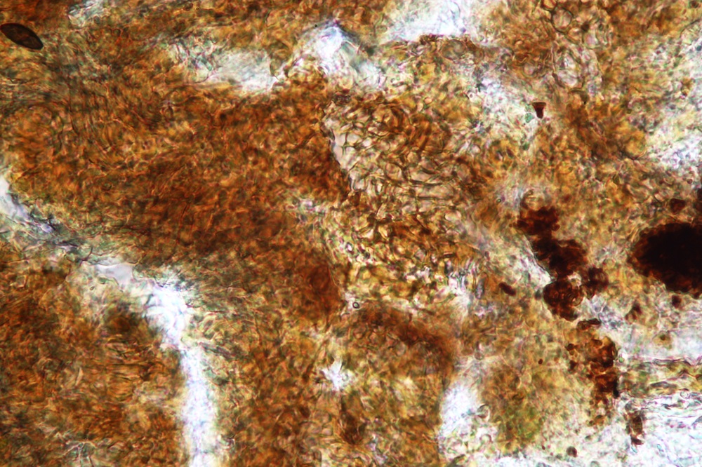
Dann Test mit KOH-3 gemacht und bemerkt, dass sich die Zellen plötzlich orange/braun verfärben.
Mich gefreut und dachte, jo das ist dann wohl die H. auranteffusa, nur das diese Art keine Reaktion zeigt.....
Dann bin ich auf die H. rodmanii gestoßen und konnte mich damit anfreunden, bis ich auf dem Makrofoto gesehen habe, das sich Rhizomorphe bei den Frk. befinden.
Schon bin ich wieder bei H. auranteffusa gekommen, aber dieses mal mit Zweifel.
Zufällig bei H. rodmanii die Funddaten durchgelesen und siehe da, auch bei dieser Art waren Rhizomorphe vorhanden 
Jetzt habe ich keine Lust mehr und lasse diese Hypocrea als Hypocrea cf. rodmanii/aurantioffusa stehen 
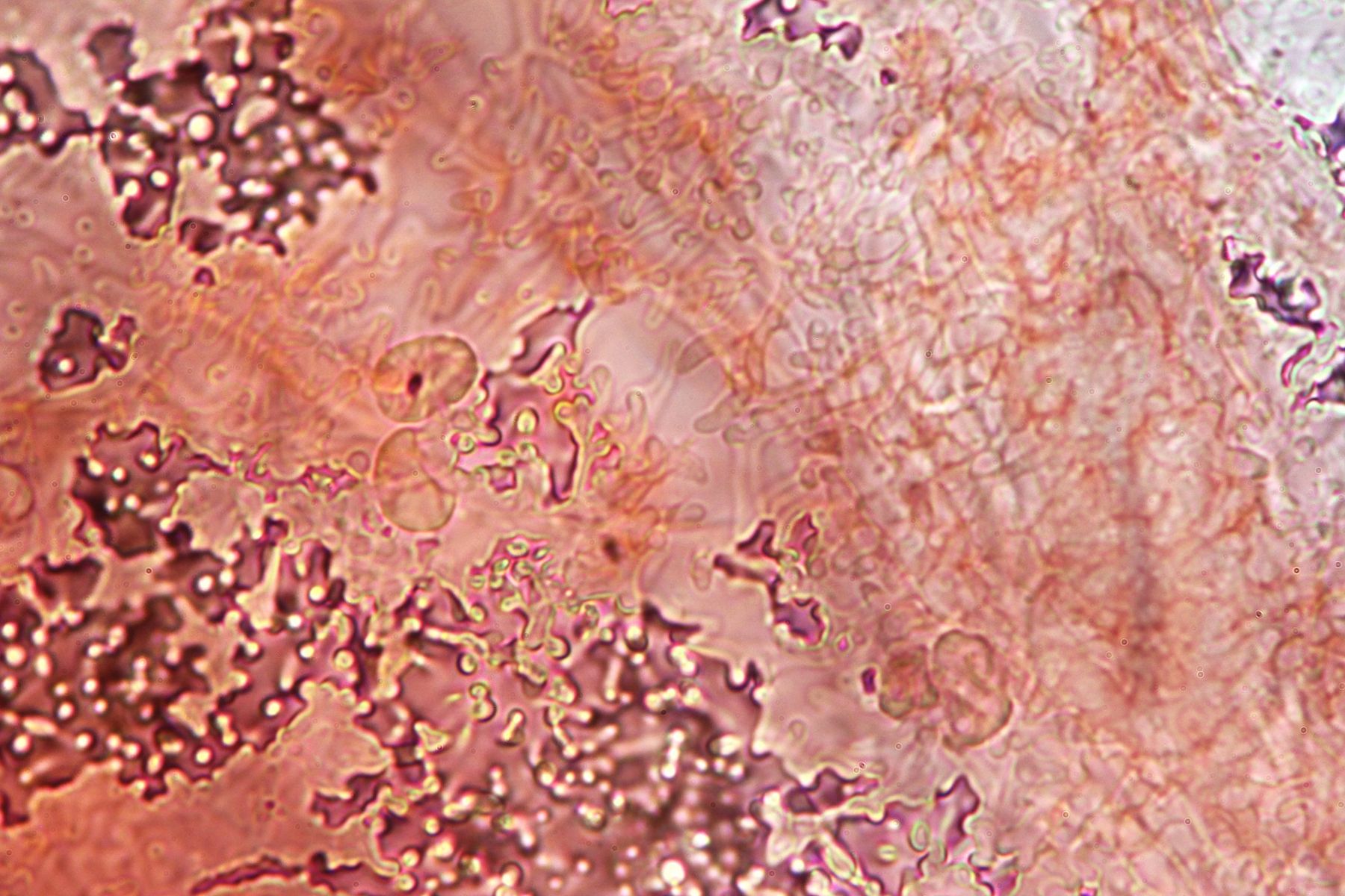
Achso, es gibt 2 Sporentypen die runden Sporen und die länglichen Sporen, so dass es auch 2 Sporenmessungen gibt.
Längliche Sporen:
Sporen[95% • 16 • • • ] = 4 - 4,8 - 5,7 x 2,8 - 3,2 - 3,6 µm
Runde Sporen:
Sporen[95% • 23 • • • ] = 3,8 - 4,2 - 4,6 x 3,5 - 3,8 - 4,2 µm
Hier sind die Bilder:
1.

2.

3.

4. KOH-3%

5. KOH-3 %

6. KOH-3%

7.

8. Anamorphe

9. Anordnung der Sporen im Ascus

10. Sporen sind nicht glatt, sondern feinwarzig

VG : Thorben