Ist zwar jetzt nicht zufriedenstellend, aber man kann die Links jetzt kopieren und öffnen.
Beiträge von thorben96
-
-
Die Links sind mit Firefox an einem Laptop ohne Maus leider wiedermal nicht zu öffnen, aber ich versuche es dann auf dem Handy...
Sry, daran habe ich nicht mehr gedacht gehabt. Ich versuche mal etwas, dann könnte es einfacher sein.
-
Hallo Frank,
Aber das scheint ein mykologisch interessanter und seltener Fund zu sein? Noch nie davon gehört oder gelesen, ist das so ähnlich wie Squamanita?
Ich kenne da jemanden, der an diesen Pilzen forscht und weiß daher, dass sich dahinter mehr als nur eine Art oder sogar Gattung verbergen kann.
Nur dann muss der Pilz mit Funddaten verschickt werden und ideal wäre es noch, wenn man den Wirt herausbekommt.
Vielleicht wachsen in der Nähe Frk. von dem Wirt.
Sagen wir es mal so. Squamanita kennt man.
Dein Befall müsste erst einmal untersucht werden und dann erst könnte man sagen, dass der Befall zu einer Gattung gehört oder nicht.
Die meisten Befälle werden halt übersehen, nicht bestimmt oder unbekannt gelassen, dann kommen ein paar auf Syzygospora, aber das ganze wird dann als solches abgetan.
Hast du den Fund noch ?
VG : Thorben
-
Hallo Andreas,
Tönt sehr interessant. Kannst du noch etwas mehr verraten? Wenn ich "Syzygospora" google finde ich ziemlich abweichende Bilder... und den Wirt auf Bild 4 kann ich jetzt auch nicht ohne weiteres erkennen. Was meinst du genau?
Die Syzygospora soll nur als Beispiel gelten, denn dahinter verstecken sich viele verschiedene Pilze.
Auch ist in diesem Fall der Befall gut ausgebildet.
Folgende Bilder aus dem Netz passen zu den oben gezeigten:
Codehttps://www.google.com/imgres?q=syzygospora&imgurl=https%3A%2F%2Fwww.nahuby.sk%2Fimages%2Ffotosutaz%2F2020%2F06%2F17%2Fmartin_micka_750790.jpg&imgrefurl=https%3A%2F%2Fwww.nahuby.sk%2Fobrazok_detail.php%3Fobrazok_id%3D750790&docid=jEUZJETlOxLrlM&tbnid=QAR5IrOAFG6fyM&vet=12ahUKEwinxsud5LGJAxV3SfEDHewICZk4ChAzegQIQRAA..i&w=620&h=430&hcb=2&itg=1&ved=2ahUKEwinxsud5LGJAxV3SfEDHewICZk4ChAzegQIQRAACodehttps://www.google.com/imgres?q=syzygospora&imgurl=https%3A%2F%2Fmacroid.ru%2Fmdata%2F20%2FIMG_9810.jpg&imgrefurl=https%3A%2F%2Fmacroid.ru%2Fshowcat.php%3Fcatinfo%3D1%26cat%3D200692%26lang%3Den&docid=VH7ZOty2qEP4sM&tbnid=tt8hm072CNzQbM&vet=12ahUKEwinxsud5LGJAxV3SfEDHewICZk4ChAzegQIDRAA..i&w=1500&h=1000&hcb=2&itg=1&ved=2ahUKEwinxsud5LGJAxV3SfEDHewICZk4ChAzegQIDRAACodehttps://www.google.com/imgres?q=syzygospora&imgurl=https%3A%2F%2Fwww.mykologie.net%2Fimages%2Fhouby2%2FSyzygospora%2520mycetophila4.jpg&imgrefurl=https%3A%2F%2Fwww.mykologie.net%2Findex.php%2Fhouby%2Fpodle-morfologie%2Frosoly%2Fitem%2F2799%3Asyzygospora-mycetophila&docid=iqKyFCjuj_2epM&tbnid=NAC3YYqnRP1MOM&vet=12ahUKEwjt2paR5LGJAxX0R_EDHbbAD3sQM3oECEcQAA..i&w=800&h=640&hcb=2&ved=2ahUKEwjt2paR5LGJAxX0R_EDHbbAD3sQM3oECEcQAAIch meine bei dem Wirt das hier.
Da sieht man die Stiele, also mehrere daher der Pilz wächst entweder dicht beieinander oder Büschelig zusammen.
Dann sind da Lamellen zu sehen, also ein Basidiomycet oder Lamellenpilz wie ich auch gerne dazu sage.
Jetzt wäre es nicht schlecht, wenn man noch den Wirt herausbekommen könnte. Die Gattung würde schon reichen.
VG : Thorben
-
Hallo Frank,
dass ist definitiv kein Trüffel, sondern ein Befall eines Basidiomycetens.
Google mal Syzygospora, dann findest du ähnliche Bilder.
Auf deinen 4 Bild kann man den Wirt noch erkennen (mittlere Stiel da sieht man einen Hut und Lamellen).
Hast du das Teil noch ?
VG: Thorben
-
Hallo,
das ist eventuell ein Syzygospora, also ein Parasitärer Pilz der andere Pilze befällt und so starke Deformationen verursacht.
Bestätigen lässt sich diese Vermutung eines Parasitens nur Mithilfe des Mikroskopes.
Eine sichere Bestimmung ist dagegen mit Mikroskop eher schwierig.
VG : Thorben
-
Hallo Peter,
soweit ich weiß ist die Chaetospermum chaetosporum eine gut bestimmbare Art, wenn die Anhängsel so lang sind.
Deinen Fund halte ich auch Makro- und Mikroskopisch für C. chaetosporum.
Wie das jetzt genetisch aussieht, dass weiß ich nicht, aber kann jemanden fragen, der sich damit beschäftigt.
VG : Thorben
-
Hallo zusammen,
ich habe gestern Nathan Schoutteten angeschrieben und auf diesem Thread aufmerksam gemacht.
Zu meiner Freude bekam ich heute die Nachricht, dass auch Schupfi sich an ihm gewandt hat, was mich sehr freut.
Nathan schrieb mir, dass diese Pilze selten sind und das soll schon etwas heißen.
Wer also etwas gleiches oder ähnliches findet, dem Rate ich einsammeln, Mikroskopieren und nicht entmutigen lassen, sondern einen Thread hier aufmachen und Nathan kontaktieren oder Nathan wird kontaktiert.
Es gibt nur eine Bedingung: Der Pilz muss vorhanden sein, also es muss Material zur Verfügung stehen, damit Nathan damit arbeiten kann.
Nathan ist auch an dem Phragmobasidiomycetenschlüssel tätig.
Ich bin gespannt was am Ende herauskommt
Vielleicht etwas unbeschriebenes 
VG : Thorben
-
Hallo Schupfi,
Und findet man die Schnallen überall im FK oder nur an bestimmten Stellen?
Die findest du nur an Basidien.
Ein Beispiel kannst du hier sehen:
Also du musst nur das hier verfolgen:
An den Konidienträgern habe ich keine gesehen.
Da brauchst du nicht suchen, die haben keine Schnallen.
VG : Thorben
-
Hallo Schupfi,
ich habe leider keine Erfahrung damit, aber den Tipp von Björn kann ich dir nur empfehlen.
Es ist schwierig da überhaupt die Konidien von den normalen Sporen zu unterscheiden, aber vielleicht klappt es trotzdem.
Ansonsten ist der Schnallenweg nicht verkehrt.
Wenn deine Basidien (was ich erahne) keine Schnallen besitzen, dann läuft es nach dem Phragmoschlüssel auf Carcinomyces effibulatus hinaus.
VG : Thorben -
Hallo Martin,
ich habe leider keine Idee was es sein könnte.
VG : Thorben
-
Hallo zusammen,
heute konnte ich eine interessante Anamorphe auf Sambucus finden.
Es handelt sich bei der Anamorphe, um eine Cordana terrestris, die Teleomorphe heißt Porosphaerella borinquensis.
Ich habe mich bewusst für den Anamorphen Namen entschieden, weil es einfacher zu Googlen ist und ich nicht weiß welcher Name für beide letztendlich gültig ist.
Die Anamorphe wird wohl mit aller Wahrscheinlichkeit ein Erstfund für Deutschland sein.
Hier sind die Bilder:
1.
2.
3.
4.
5.
VG : Thorben
-
Hallo Hans,
so viel ich weiß ist die Gattung Pestalotiopsis schwierig, weshalb die Bestimmung P. microspora durchaus passen könnte, aber letztendlich im Labor etwas anderes sein könnte.
Ich hatte auch mal einen Pilz aus der Sporocadaceae, wo die unterschiedlichsten Vorschläge kamen.
Am Ende war es eine ganz andere Gattung und Art (Siehe hier).
Daher halte ich nicht viel von einem Bestimmungsversuch anhand Mikroskopischer Merkmale.VG : Thorben
-
Hallo Hans,
das ist eine Sporocadaceae, vielleicht eine Pestalotiopsis.
VG : Thorben
-
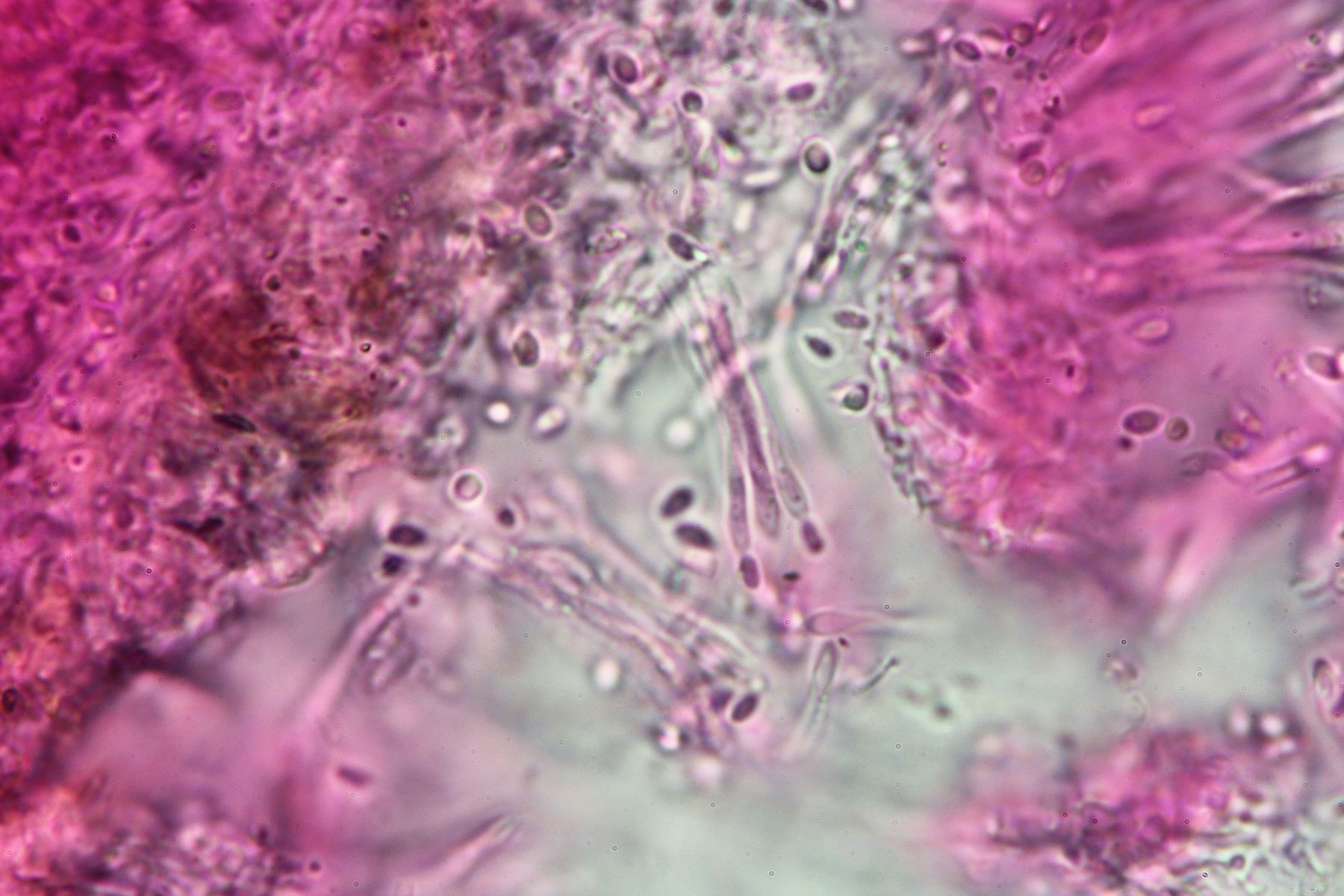
Hallo zusammen,
ich möchte euch die Nebenfruchtform der Hypomyces leotiicola zeigen, die eine Leotia rubrica befallen hat.
Der Fund stammt von dem 10.08.24.
Die Nebenfruchtform hat 2 verschiedene Sporen. Zum einen gibt es die Konidien und dann gibt es Kugelartige Aleuriosporen.
Hier sind die Bilder:
1.2. Konidienträger einfach verzweigt
3. Konidien
4. Aleuriosporen- Medium Wasser
5.
6.
VG : Thorben
-
Komisch.
Ich kann zum Beispiel in dem verlinkten Link, den Link ohne Probleme öffnen, sowohl am Handy als auch am PC.RE: Wie aus einer Spore ein Myzel entsteht
Daher könnte es sein, dass bei neuen Threads (zum Beispiel alle Threads ab 28. Juli), die Links funktionieren.
Auch in diesem Thread kann ich den Link ohne Probleme öffnen, aber der Thread ist auch älter, der Beitrag aber nicht.
RE: Irgendwelche Ideen ?
Das ist mir durch Zufall aufgefallen und hoffe das es euch genauso ergeht.Auf jeden Fall bin ich zuversichtlich, dass bald alles wie gehabt läuft

P.S: Auch die Links in diesem Beitrag funktionieren ohne Probleme bei normalen öffnen.
-
Hallo zusammen,
bei mir klappen die Links wieder, aber entweder nur bei alten Threads oder auch nur bei neuen Threads.
In diesem Thread klappt das nicht, aber vielleicht klappen neue Threads.
VG : Thorben
-
Hallo zusammen,
es gibt eine neue Arbeit mit Informationen die hier helfen.
Mit großer Wahrscheinlichkeit gehört dieser Fund zu den Physisporinus.
Leider lässt sich das noch nicht bestätigen, aber ich bin mir sicher, dass es sich zukünftig bestätigen lassen wird.
In Vergangenheit gab es öfters Funde von dem oben gezeigten Fund, dabei scheint das Substrat Alnus (Erle) und Wasser eine wichtige Rolle zu spielen.
Ich bin richtig happy über diese Arbeit, denn damals hatte ich mit Walter Gams eine E-Mail Konversation gehabt und dieser hat mir erklärt, dass wenn keine Sporen da sind, es auch wohl kein Pilz ist.
Jetzt bin ich mir recht sicher, dass es ein Pilz ist

Hier ist die Arbeit. Derzeit gibt es Probleme mit dem Öffnen von Links im Forum, daher bitte den Link kopieren und dann in der Adressleiste öffnen.
VG : Thorben
-
Hallo zusammen,
ich denke der Pilz gehört in die Gattung Mariannaea.
VG : Thorben
-
Hallo zusammen,
dank der Hilfe von Pedro Crous und sein Team von dem Westerdijk Fungal Biodiversity Institute (CBS), konnte dieser Pilz als Pleurotheciella acericola beschrieben werden.
Hier ist die Arbeit dazu:
https://fuse-journal.org/images/Issues/NIF7.pdf
VG : Thorben
-
Hallo Ingo,
was soll ich sagen, dass ist eine richtig schöne Dokumentation

Ich freue mich auch das die Tipps und die Anleitung zur Gewinnung der Konidien geholfen haben.
Deine Bestimmung wird wohl richtig sein, denn hatte damals (Siehe Erynia ovispora auf Clytocerus sp.) einen ähnlichen Fund gemacht auf Psychodidae.
Damals (2017) war die E. ovispora auch die einzigste Art auf Psychodidae (Anmerkung von Siegfried Keller), ob sich mittlerweile etwas geändert hat weiß ich nicht.
Meiner Meinung kann dir jetzt bei der Bestimmung nur noch die Genetik dazwischenfunken.
Um die verschiedenen Typen der Konidien zu erhalten ging ich nach der Anleitung von S. Keller vor (den Artikel hat Thorben in Christians Post ja bereits verlinkt) und habe die Fliege zwischen zwei Objektträger in einen halboffenen Behälter gelegt. Allerdings habe ich die Fliege nicht schwimmen lassen wie dort beschrieben, da ich Angst hatte sie würde an den Rand des Behälters gezogen werden und die Sporen somit nicht auf meinem OT landen. Stattdessen habe ich in den Behälter etwas feuchten Zellstoff gelegt.
Ich glaube manchmal sieht man den Wald vor lauter Bäumen nicht.
In meinem Fall habe ich wohl immer vergessen, dass verpilzte Insekt feucht zu halten in einer Feuchtkammer.
Stattdessen habe ich, warum auch immer, es immer austrocknen lassen

Das ist so ärgerlich, denn theoretisch müsste es möglich sein, den Pilz länger zum sporulieren zu bringen.
Naja, man lernt halt nie aus

Wann kommt die nächste Entomophtorales ?

VG : Thorben
-
Hallo Peter,
ich hatte vor einiger Zeit ein paar Dungpilze hier reingestellt, wenn euch etwas von den Fotos zusagt, dann dürft ihr diese benutzen.
Sagt nur kurz Bescheid, welche Fotos benötigt werden, dann kann ich höherauflösende Fotos schicken und ggf. die Fotos nachbearbeiten.
VG : Thorben
-
-
Hallo zusammen,
ich kann leider nichts zu der Bestimmung beitragen.
Auch nehme ich keine Befälle entgegen, da ich nur Frischmaterial anschaue und mit Trockenmaterial nicht klar komme

Zur Gewinnung der Konidien empfehle ich eine Anleitung von Dr. Siegfried Keller Obtaining and observing conidia.
Du brauchst nämlich 2 Objektträger mit Konidien.
Ein Objektträger wird sofort bearbeitet (Primärkonidien) und der andere Objektträger wird in einer Feuchtkammer gepackt und ca. 4 Stunden gewartet.
Denn aus dem Primärkonidien können sich Sekundärkonidien bilden, aber nicht alle bilden Sekundärkonidien.
Primärkonidien und Sekundärkonidien (falls vorhanden) müssen Fotografiert werden und gemessen.
Meistens sind die Sekundärkonidien etwas kleiner als die Primärkonidien.
Ist der Fruchtkörper zu alt klappt ein Abwurfpräparat nicht.
Dann muss man etwas von dem Belag selber mikroskopieren und schauen, ob Zystiden vorhanden sind.
Ebenso müssen die Konidienträger fotografiert werden, denn diese sind unterschiedlich aufgebaut.
In der Fliege selber können Dauersporen sein, was man auch überprüfen und fotografieren sollte.
Sollte alles gut geklappt haben, dann hat man seinen Fund gut dokumentiert und muss schauen, was es denn für eine Gattung und dann Art sein könnte.
Vielleicht klappt die Entomophthora muscae oder man hat etwas anderes gefunden.
Wichtig, ihr müsst schauen, dass ihr jedes befallene Insekt bearbeitet, damit sich keine andere Art dabei ist.
Diese Entomophthorales sind nicht einfach und es gibt auch vieles was nicht beschrieben wurde, aber es ist möglich diese zu bestimmen.
VG : Thorben
-
Hallo Kerstin,
Ich habe mich jetzt mal belesen und bin ein bisschen verwirrt .... diese "Igelchen" wären die Fruchtkörper und die Sporen sind die Ascosporen? Also eine perfekte Form? Dann ist das ja gar kein Hyphomycet....
Wir haben schon eine Nebenfruchtform gefunden.
Sonst hätten wir Asci sehen müssen und eine geringere Anzahl an Sporen.
So haben wir halt eine Masse an Konidien und halt die Seten.
Es gibt aber auch die Teleomorphe und die besitzt Asci mit Sporen.
VG : Thorben
