Hallo zusammen,
ich möchte hier einen Fund von Aphanobasidium pseudotsugae vorstellen, den ich am 1.3.2026 im NSG Die Burg in Marl auf Pinus sylvestris gemacht habe.
Fruchtkörper am Fundort
Fruchtkörper bei 40x und 100x Vergrößerung unter dem Mikro
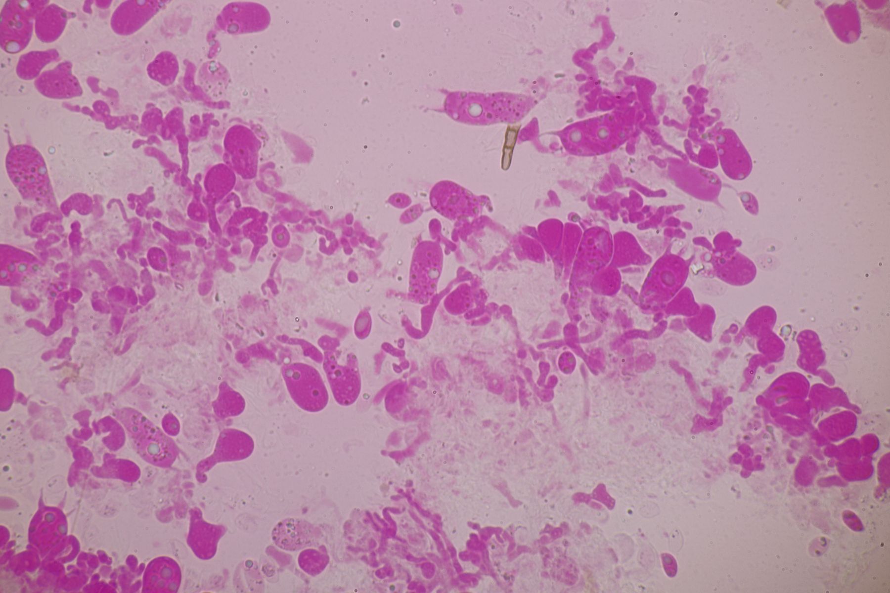
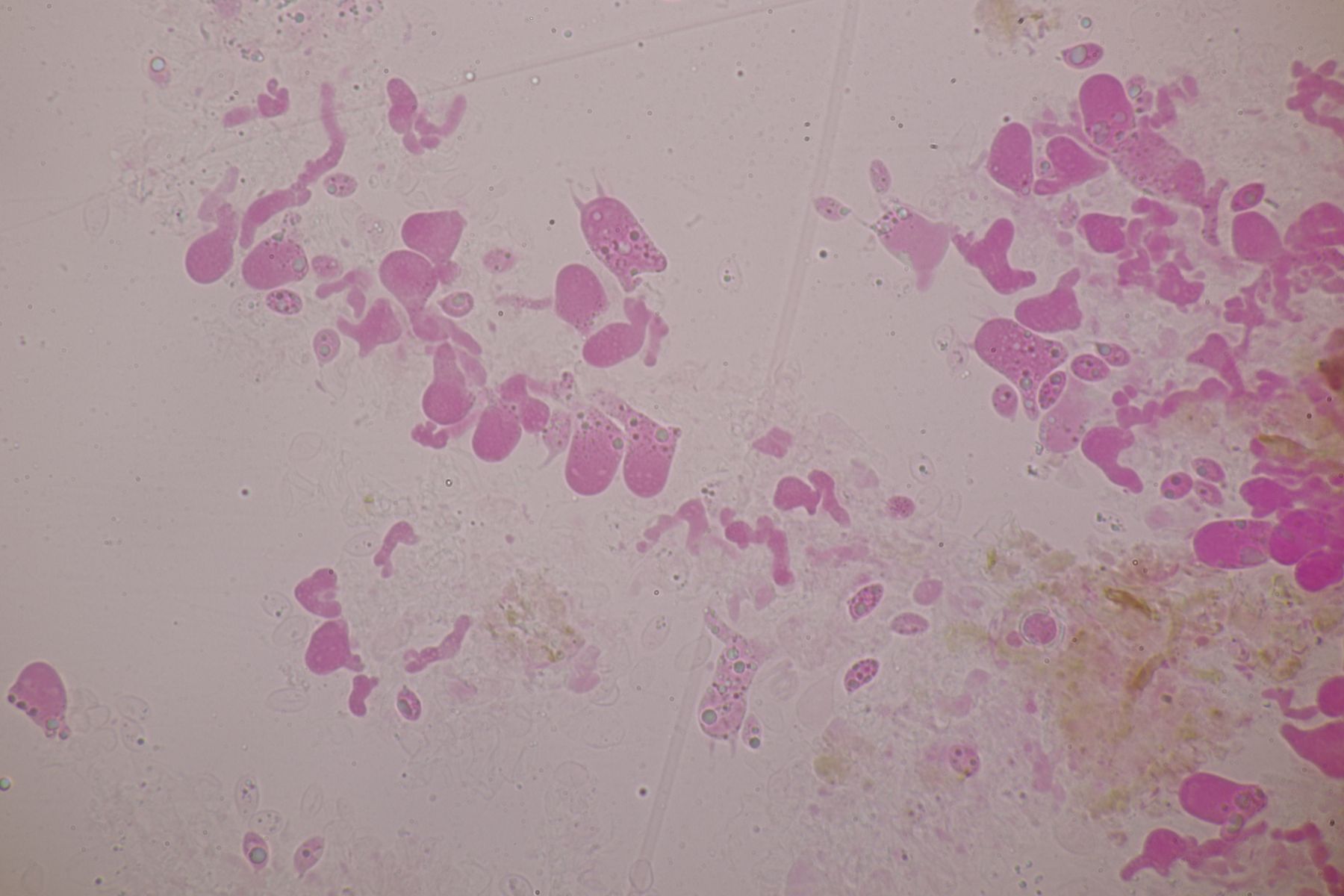
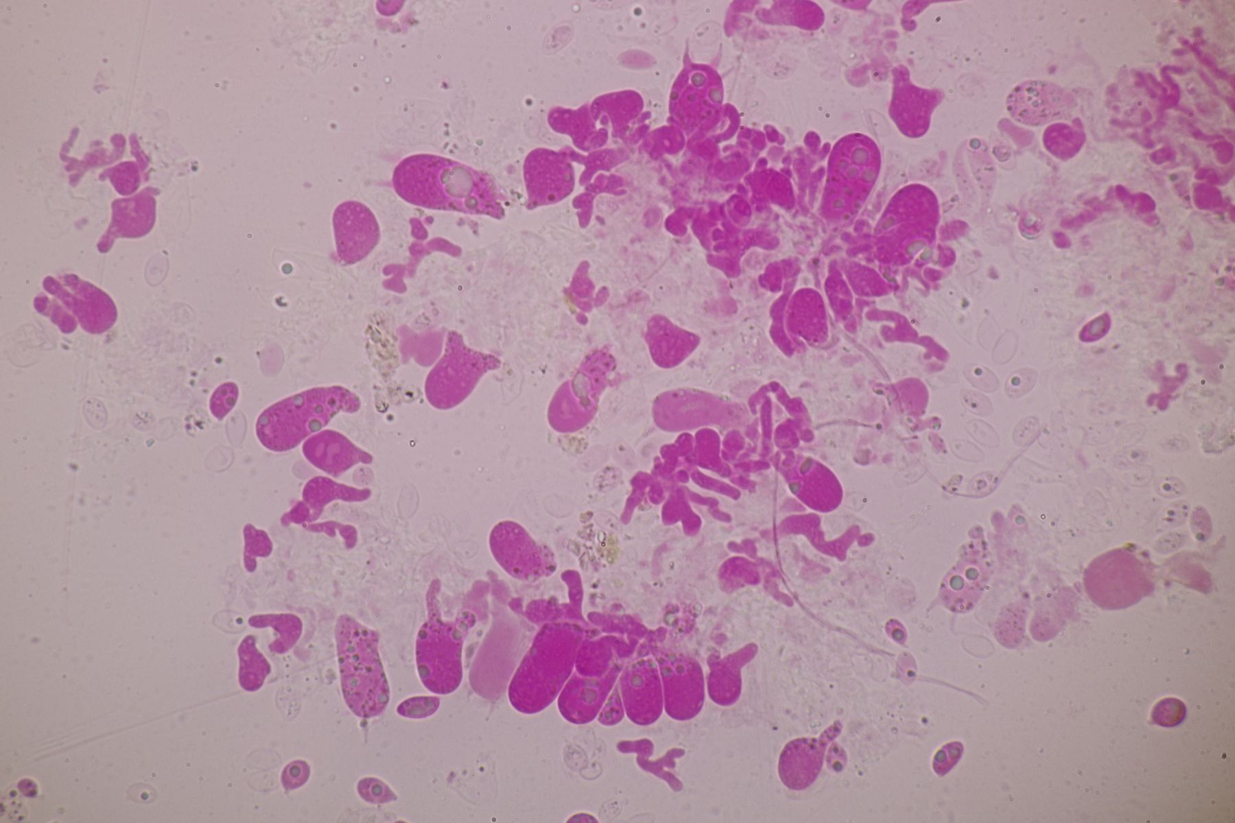
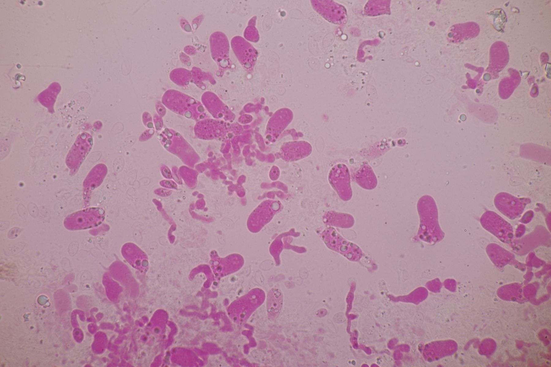
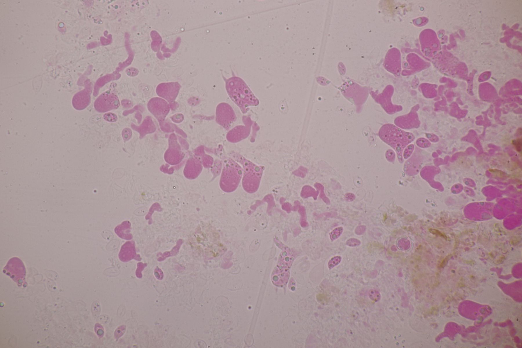
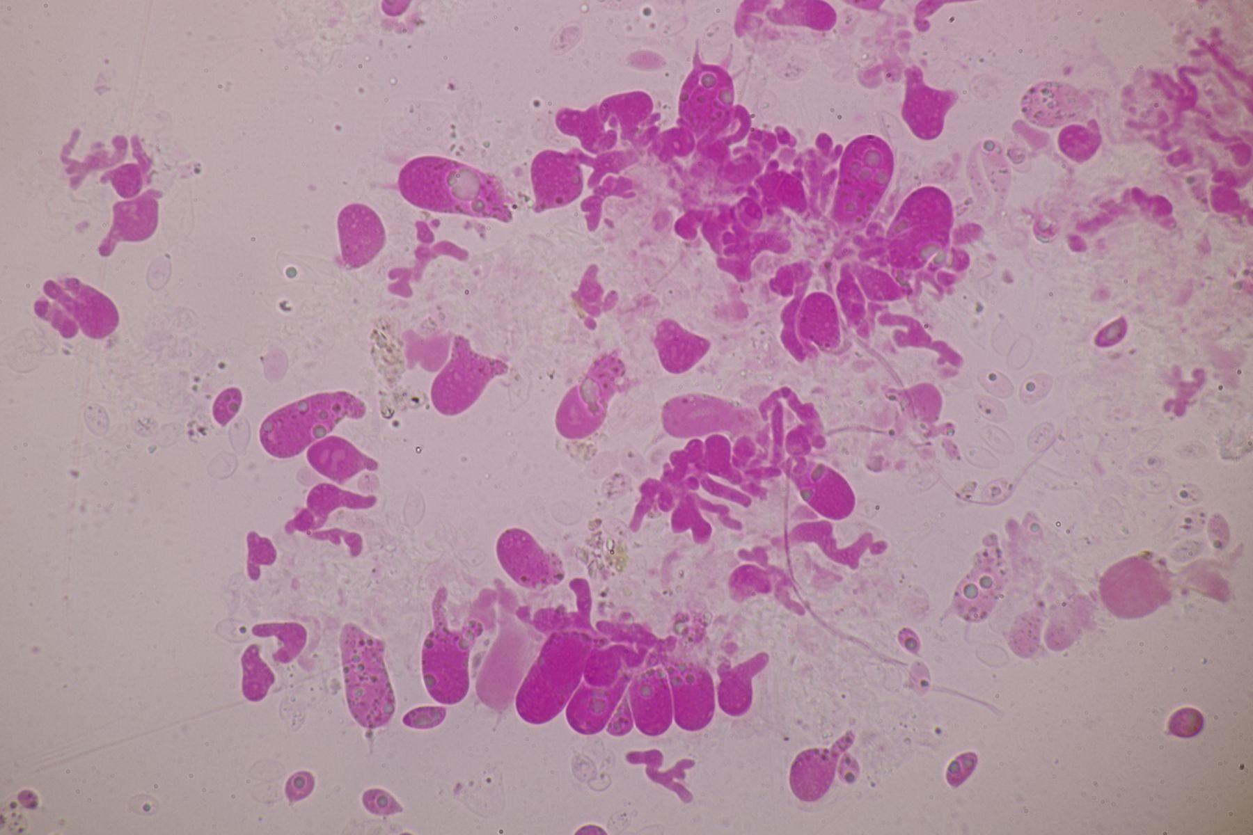
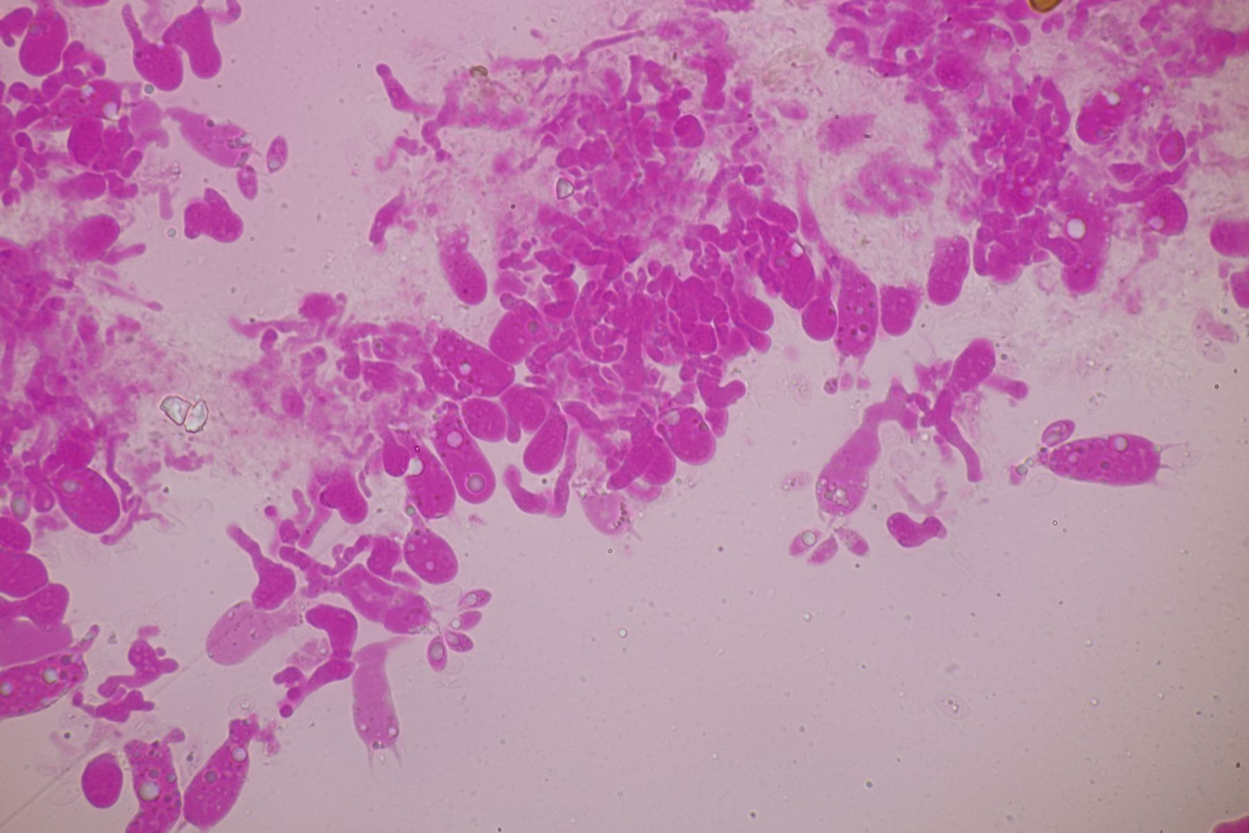
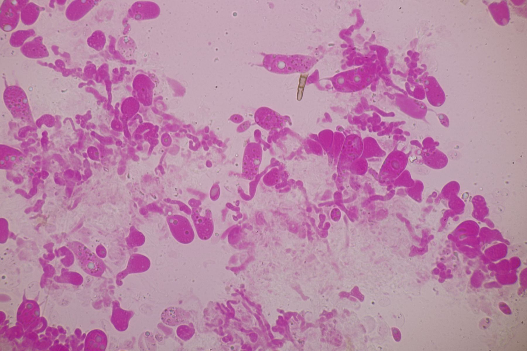
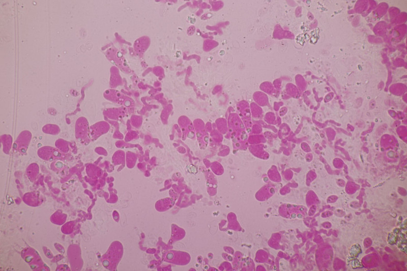
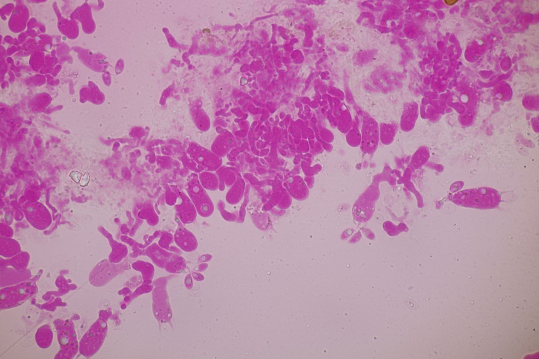
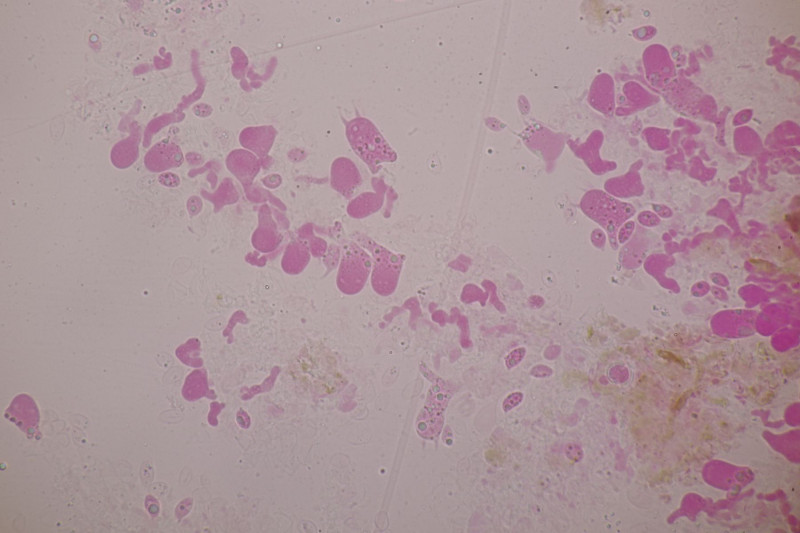
Sporen
7.3±0.6 µm × 4.2±0.3 µm, Q=1.7±0.2
6.2-8.6 µm × 3.7-5.0 µm, Q=1.5-2.1
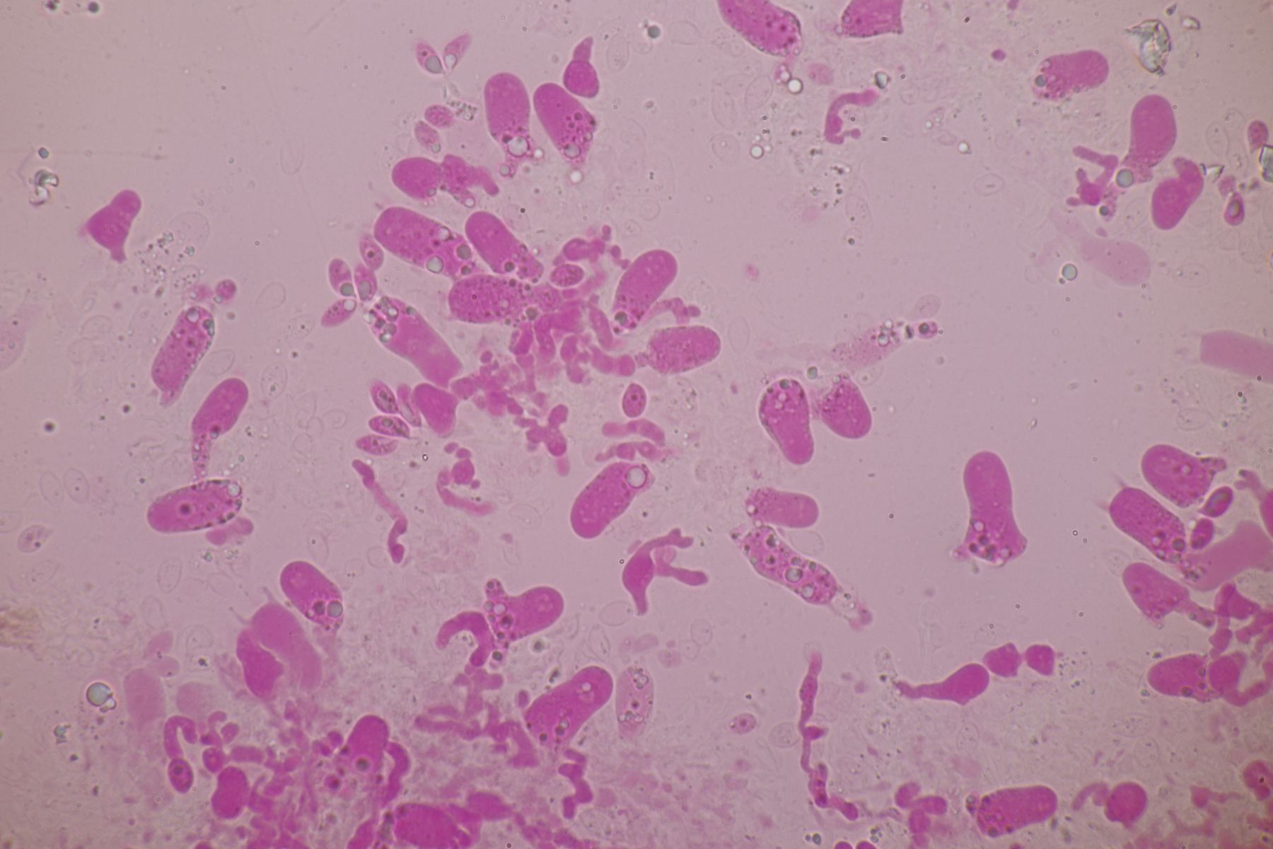
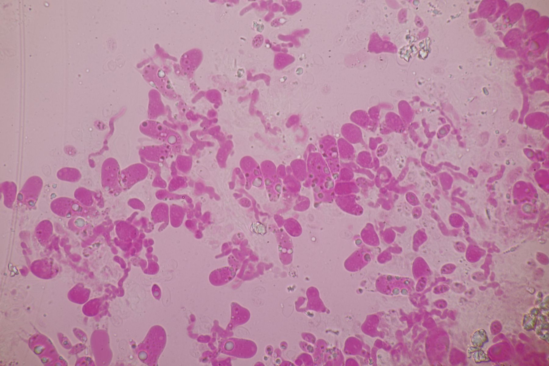
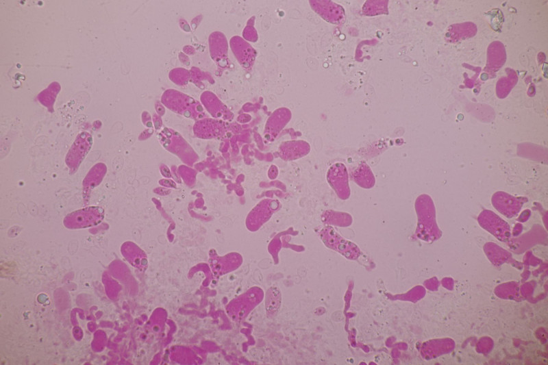
Basidien viersporig, mit Basalschnalle, pleural, keine Zystiden beobachtet, Septen alle mit Schnallen
Björn
