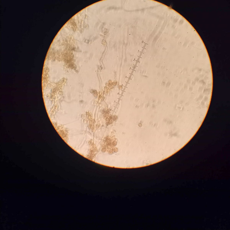
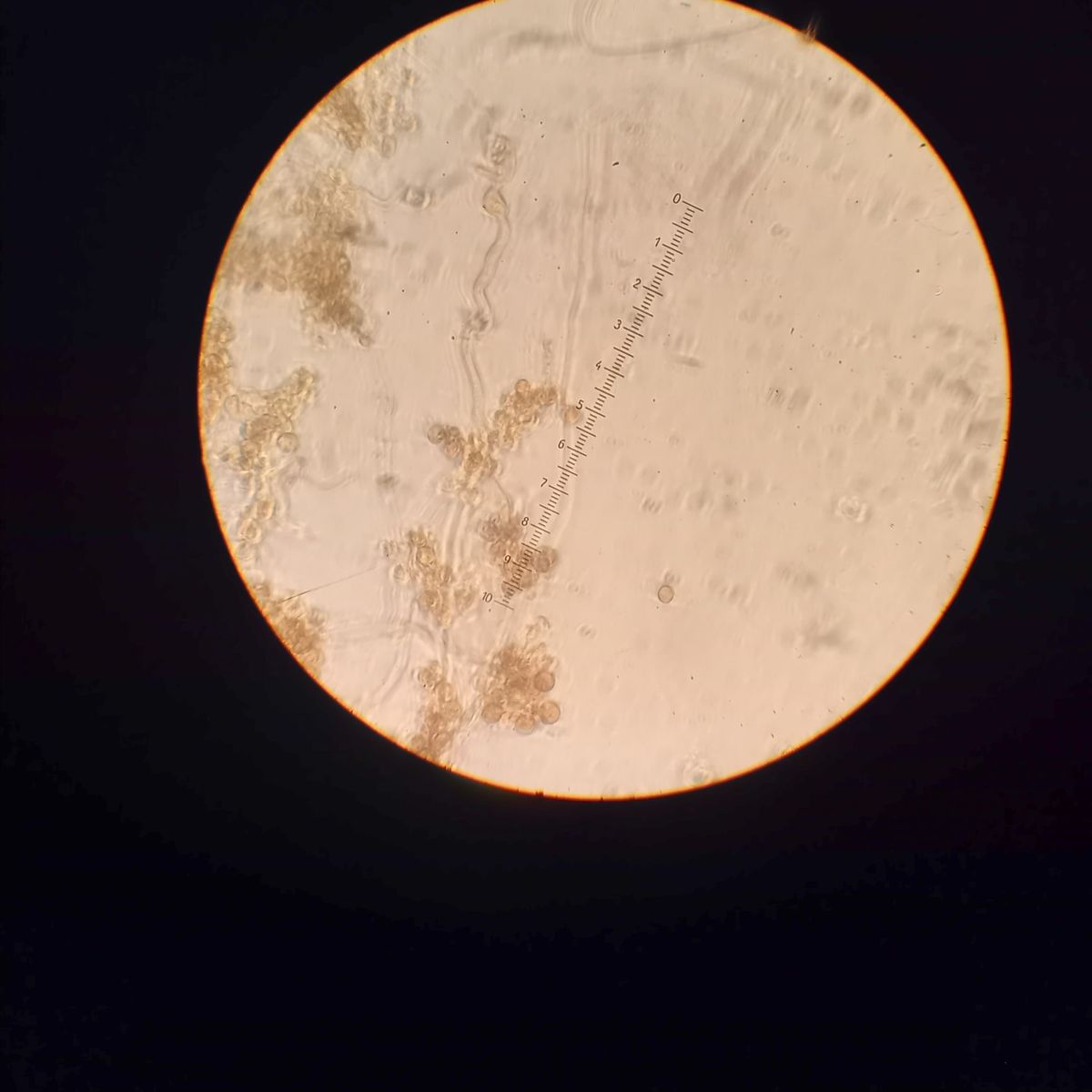
Mitte Dezember kleine rein weisse Pilzchen mit Stiel (bis ca. 2 mm Länge) und rundlichen Köpfchen (bis ca. 2 mm Durchmesser) an einem in ca, 2 m Höhe abgebrochenen Buchenstamm Durchmesser geschätzt 120 cm. Die zähen Köpfchen enthielten gebogene und teilweise verzweigte Hyphen. Anfang Februar waren die Pilzchen hellbeige und enthielten glatte braune nahezu runde Sporen (8 - 10 Mikrometer). Die Pilzchen riechen nun deutlich nach Maggi. Gefunden wurden sie im Kottenforst bei Bonn.
Phleogena faginea
- Longimanus
- Erledigt
Es gibt 5 Antworten in diesem Thema, welches 636 mal aufgerufen wurde. Der letzte Beitrag () ist von Longimanus.
-
-
GriasDi,
sehr schön!
Sie Art ist übrigens gar nicht so selten und auch nicht an Buche gebunden, wie man vllt dem Namen nach vermuten könnte.
Ich hatte Phleogena faginea neben Buche auch schon an Hainbuche, Salweide und mehrmals an Fichte.
An liabn Gruaß
Werner
-
Hallo Werner,
ich hatte mir die Kartierung für NRW angeschaut, da waren sie an einigen wenigen Stellen aufgeführt. Was mich überrascht hat, war die Beschreibung in den Fungi of Temperate Europe. Da heisst es unter anderem "Occurs mainly on bark and wood of deciduous trees, especially on recently dead, standing dry trunks of fagus". Das passt ja bei mir gut, obwohl der Baum wohl schon etwas länger sein Leben ausgehaucht hat. Wie findet der Pilz ausgerechnet diese höheren Baumstümpfe?
Viele Grüße
Willi
-
Hallo Willi,
der Pilz findet nicht ausgerechnet diese Stellen, sondern er findet aufgrund der Unmengen an Sporen so mehr oder weniger alle Stellen. Wachsen kann er aber nur da, wo die Bedingungen passen

Ich kann als Substrat noch Esche, Eberesche, Espe und Grauerle hinzufügen.
LG, Bernd
-
Hallo Werner, hallo Bernd,
ich habe nach euren Kommentaren noch mal intensiv nach weiteren Vorkommen gesucht und tatsächlich auf dem Stamm einer ehemaligen Kopfbuche welche gefunden (siehe Anhang). Bis auf einzelne Fichten gibt es in dem Waldstück neben zur Hauptsache Eichen, Birken und Kiefern, bei denen ich trotz vielem Totholz nichts gefunden habe.
-
hinter neben gehören Buchen
