Hallo zusammen,
ich habe am 18.10.25 im Tiergarten, Siegen auf der Exkursion mit dem APR drei Risspilze mitgenommen. Zwei gehören in die I. geophylla Verwandschaft und eine zu der I. lilacina Verwandschaft. Ich habe die Funde mit der derzeitigen Literatur abgeglichen und frage mich, ob ich richtig liege. Insbesondere bitte ich dich, Ditte, drüberzuschauen. Kann man anhand meiner Dokumentation überhaupt genau sagen, was das für Arten sind?
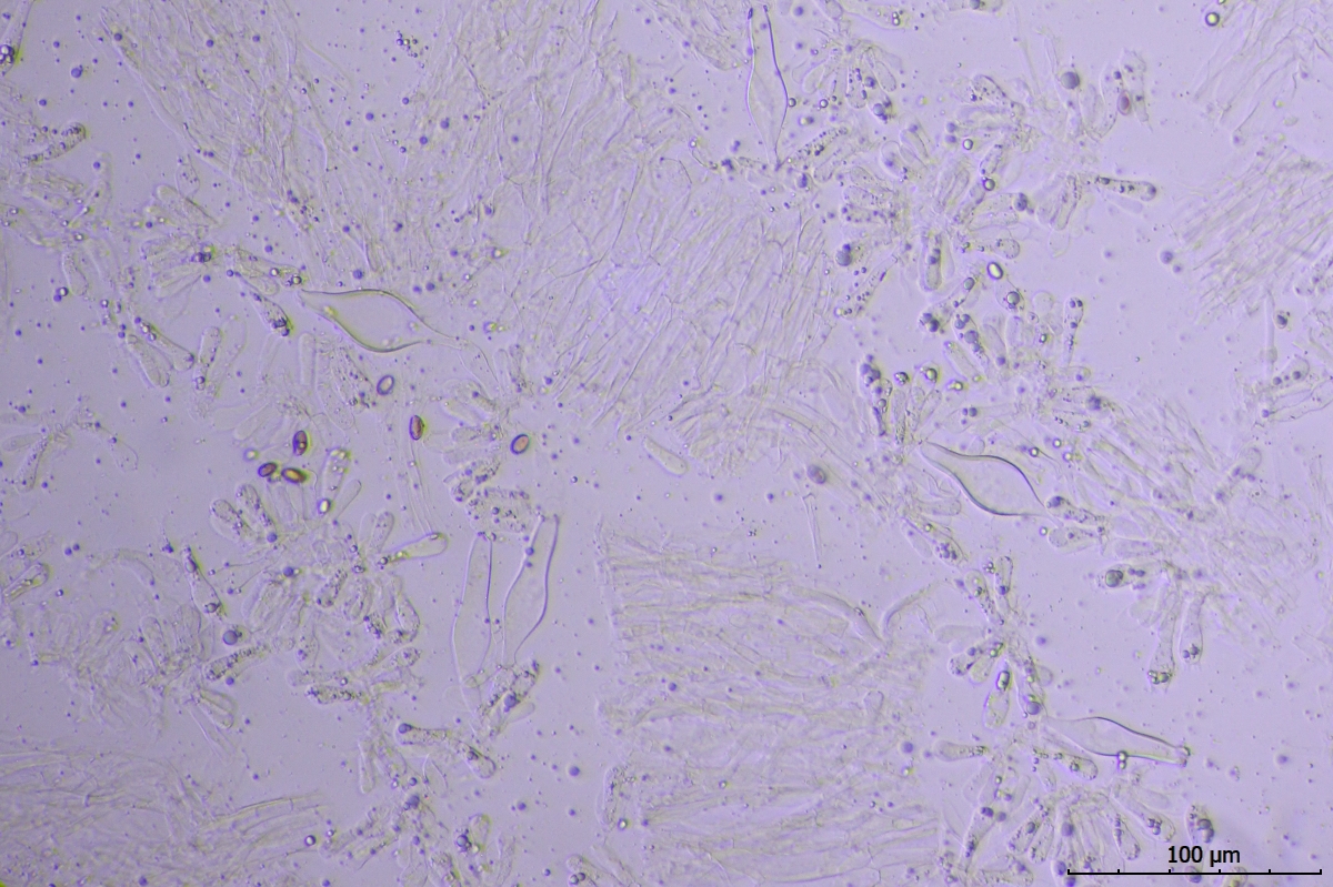
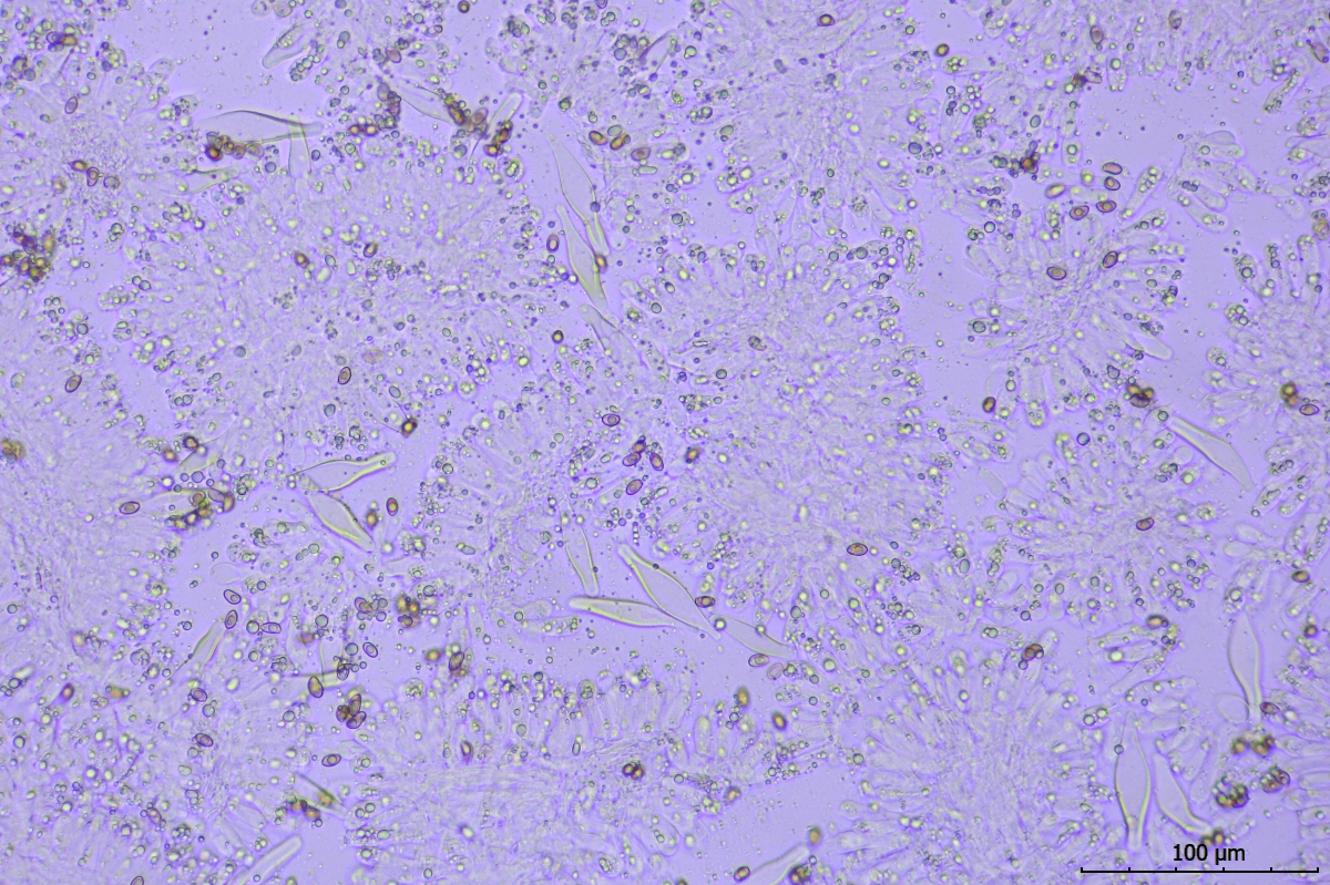
Werte und Fotos am Exsikkat in KOH 3%
Inocybe tyrii?
Quercus, Fagus (evtl. Acer). Boden sauer. Frk nicht stark gefärbt, Hutmitter ockern. Caulozystiden nur in der Stielspitze
Caulos (n=39):
51-66,1-83,2(-86) (SD=8,6)
(9,1-)10,8-16,6-22,4 (SD=2,9)
Q: 2,4-4,1-6(-7,4) (SD=1)
Pleuros (n=38):
51,2-61,6-72(-73) (SD=5,2)
11,9-16,2-21,5(-24) (SD=2,6)
Q: 2,6-3,9-5,2 (SD=0,6)
Cheilos (n=21):
44,8-55,1-66 (SD=5,6)
12,8-16,9-22 (SD=2,6)
Q: 2,6-3,3-4,1(-4,4) (SD=0,4)
Sporen (n=39):
8,1-9,3-10,2(-10,5) (SD=0,46)
4,7-5,2-5,6 (SD=0,20)
Q: 1,6-1,8-2(-2,1) (SD=0,11)
Caulos
Pleuros:
Cheilos:
Sporen:
Inocybe cygnea?
Larix, Quercus, Fagus. Boden potentiell basisch am Wegrand (keine Bodenprobe genommen, aber es wurden kalkliebende Arten an anderer Stelle am Wegrand gefunden). Wenige Caulozystiden gegabelt und hyphoide Elemente
Caulos: nur Stielspitze
54-62-72(-75)
8-13,5-17
Cheilos:
44-56-68
14-16-18(-20)
Pleuros:
47-57-69
12-15-18
Sporen (n=60):
7,3-8,5-9,8 (SD=0,6)
4,4-5,0-5,6 (SD=0,3)
Q: 1,5-1,7-1,9 (SD=0,1)
Kein Sporen Abwurf, sondern aus Exsikkat
I. bellidiana -> Sporen nicht richtig geformt
I. elysii -> keine gabelnde Caulozystiden
I. geophylla -> keine gabelnde Caulozystiden
I. huijsmanii -> Sporen länger 8,6-9,6-10,7
I. miranda -> schmalere Sporen und kürzere Hymenialzystiden als I. cygnea
I. nivea -> keine gabelnde Caulozystiden
I. olivaceoviridis > keine gabelnde Caulozystiden
I. oloris -> keine gabelnde Caulos, kleinere Sporen und kürzere Zystiden
I. posterula -> fehlende gabelnde Caulos
I. sambucella -> kürzere Sporen, größere Zystiden und saurer Boden
Pleuros:
Cheilos:
Sporen:
Inocybe Nr. 3
Hier habe ich keine Idee, es scheint nichts zu passen.
Quercus, Fagus (Acer?, Larix?(weit entfernt)), Boden potentiell basisch am Wegrand. Hutmitte braun und schuppig. Caulos in der Stielspitze, eine gabelnde Caulozystide gefunden, verschieden geformt und Übergänge zu den Parazystiden. Cheilos auch verschieden geformt
Caulos (n=32):
(26-)27,8-51,8-74 (SD=12)
10,2-15,3-20,4(-21,8) (SD=2,6)
Q: 1,8-3,4-5,2(-5,7) (SD=0,9)
Pleuros (n=35):
37,7-49,8-62 (SD=6,9)
8,4-12-15,8 (SD=2,2)
Q: (2,5-)2,6-4,3-5,9(-6,3) (SD=0,8)
Cheilos (n=33):
22,1-39,3-57 (SD=9)
9,6-13,4-17,3(-17,8) (SD=1,9)
Q: 1,5-3-4,5(-4,7) (SD=0,8)
Sporen (n=52):
(7,4-)7,6-8,6-9,5 (SD=0,5)
(4-)4,2-4,8-5,3(-5,5) (SD=0,3)
Q: 1,6-1,8-2(-2,1) (SD=0,12)
Caulos:
Eine gegabelte Zystide:
Pleuros:
Cheilos:
Sporen:
Ich bin gespannt, ob man hierzu etwas sagen kann.
Grüße
Oliver
