3 Risspilze aus der geophylla und lilacina Verwandschaft

Es gibt 5 Antworten in diesem Thema, welches 689 mal aufgerufen wurde. Der letzte Beitrag () ist von ibex.

  • Hallo zusammen,


    ich habe am 18.10.25 im Tiergarten, Siegen auf der Exkursion mit dem APR drei Risspilze mitgenommen. Zwei gehören in die I. geophylla Verwandschaft und eine zu der I. lilacina Verwandschaft. Ich habe die Funde mit der derzeitigen Literatur abgeglichen und frage mich, ob ich richtig liege. Insbesondere bitte ich dich, Ditte, drüberzuschauen. Kann man anhand meiner Dokumentation überhaupt genau sagen, was das für Arten sind?


    Werte und Fotos am Exsikkat in KOH 3%


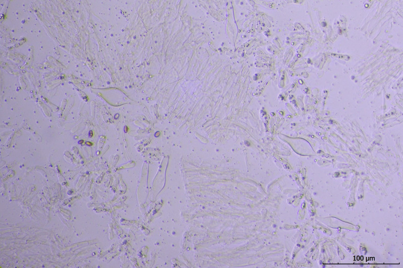
    Inocybe tyrii?

    Quercus, Fagus (evtl. Acer). Boden sauer. Frk nicht stark gefärbt, Hutmitter ockern. Caulozystiden nur in der Stielspitze


    Caulos (n=39):

    51-66,1-83,2(-86) (SD=8,6)

    (9,1-)10,8-16,6-22,4 (SD=2,9)

    Q: 2,4-4,1-6(-7,4) (SD=1)


    Pleuros (n=38):

    51,2-61,6-72(-73) (SD=5,2)

    11,9-16,2-21,5(-24) (SD=2,6)

    Q: 2,6-3,9-5,2 (SD=0,6)


    Cheilos (n=21):

    44,8-55,1-66 (SD=5,6)

    12,8-16,9-22 (SD=2,6)

    Q: 2,6-3,3-4,1(-4,4) (SD=0,4)


    Sporen (n=39):

    8,1-9,3-10,2(-10,5) (SD=0,46)

    4,7-5,2-5,6 (SD=0,20)

    Q: 1,6-1,8-2(-2,1) (SD=0,11)



    Caulos



    Pleuros:



    Cheilos:


    Sporen:


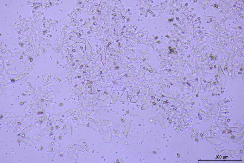
    Inocybe cygnea?

    Larix, Quercus, Fagus. Boden potentiell basisch am Wegrand (keine Bodenprobe genommen, aber es wurden kalkliebende Arten an anderer Stelle am Wegrand gefunden). Wenige Caulozystiden gegabelt und hyphoide Elemente


    Caulos: nur Stielspitze

    54-62-72(-75)

    8-13,5-17


    Cheilos:

    44-56-68

    14-16-18(-20)


    Pleuros:

    47-57-69

    12-15-18


    Sporen (n=60):

    7,3-8,5-9,8 (SD=0,6)

    4,4-5,0-5,6 (SD=0,3)

    Q: 1,5-1,7-1,9 (SD=0,1)

    Kein Sporen Abwurf, sondern aus Exsikkat


    I. bellidiana -> Sporen nicht richtig geformt

    I. elysii -> keine gabelnde Caulozystiden

    I. geophylla -> keine gabelnde Caulozystiden

    I. huijsmanii -> Sporen länger 8,6-9,6-10,7

    I. miranda -> schmalere Sporen und kürzere Hymenialzystiden als I. cygnea

    I. nivea -> keine gabelnde Caulozystiden

    I. olivaceoviridis > keine gabelnde Caulozystiden

    I. oloris -> keine gabelnde Caulos, kleinere Sporen und kürzere Zystiden

    I. posterula -> fehlende gabelnde Caulos

    I. sambucella -> kürzere Sporen, größere Zystiden und saurer Boden




    Caulos:




    Pleuros:





    Cheilos:



    Sporen:


    Inocybe Nr. 3

    Hier habe ich keine Idee, es scheint nichts zu passen.


    Quercus, Fagus (Acer?, Larix?(weit entfernt)), Boden potentiell basisch am Wegrand. Hutmitte braun und schuppig. Caulos in der Stielspitze, eine gabelnde Caulozystide gefunden, verschieden geformt und Übergänge zu den Parazystiden. Cheilos auch verschieden geformt


    Caulos (n=32):

    (26-)27,8-51,8-74 (SD=12)

    10,2-15,3-20,4(-21,8) (SD=2,6)

    Q: 1,8-3,4-5,2(-5,7) (SD=0,9)


    Pleuros (n=35):

    37,7-49,8-62 (SD=6,9)

    8,4-12-15,8 (SD=2,2)

    Q: (2,5-)2,6-4,3-5,9(-6,3) (SD=0,8)


    Cheilos (n=33):

    22,1-39,3-57 (SD=9)

    9,6-13,4-17,3(-17,8) (SD=1,9)

    Q: 1,5-3-4,5(-4,7) (SD=0,8)


    Sporen (n=52):

    (7,4-)7,6-8,6-9,5 (SD=0,5)

    (4-)4,2-4,8-5,3(-5,5) (SD=0,3)

    Q: 1,6-1,8-2(-2,1) (SD=0,12)



    Caulos:


    Eine gegabelte Zystide:



    Pleuros:





    Cheilos:





    Sporen:



    Ich bin gespannt, ob man hierzu etwas sagen kann.


    Grüße

    Oliver

  • Hi,


    ich bin gespannt ob hierzu jemand wirklich was konkretes zu dem Bildmaterial sagen kann. Wenn selbst Ditte einräumt, dass es für sie sehr mühsam ist, die Arten aus den Gruppen zu bestimmen. Ich selbst werde erst Mal beide Gruppen zu nicht weiter beachten, bis Ditte ihr Buch fertig ist.


    l.g.

    Stefan

    Risspilz: hui; Rissklettern: bisher pfui; ab nun: na ja mal sehen...


    Derzeit so pilzgeschädigt, das geht auf keine Huthaut. :D


    Meine Antworten hier stellen nur Bestimmungsvorschläge dar. Verzehrsfreigaben gibts nur vom PSV vor Ort.

  • Hallo Stefan,


    ja, die Gruppe scheint sehr undurchsichtig. Ich habe mich darauf eingestellt, dass die wohl nur mittels einer Sequenz einen Namen bekommen, aber bevor ich das mache (wenn überhaupt), wollte ich mal so nachfragen.


    Gruß

    Oliver

  • Hi Oliver


    Schau doch mal in meinen Thread und lies dich durch die Beiträge. Da findest du auch viele gute Links. Leider ist das alles ziemlich kompliziert und aufwendig, aber irgendwie auch spannend. Meine Art (sequenziert) war schlussendlich dann genau jene, die Ditte nicht beschreiben möchte, da jede ihrer gefundenen Kollektionen andere Mikromerkmale aufwies.


    Hier der Link: Inocybe geophylla?


    LG

    Benjamin

    Mit meinen Beiträgen gebe ich lediglich meine persönliche Einschätzung/Meinung ab. Sie sind nur als Vorschläge zu werten und es gibt damit insbesondere keine Verzehrsfreigaben meinerseits. Eine sichere Bestimmung sowie Verzehrsfreigabe kann nur der Pilzkontrolleur bzw. Pilzsachverständige vor Ort geben.

  • Hi Benjamin,


    deinen Post habe ich vor paar Tagen gelesen und die Publikationen kenne ich schon etwas länger. Echt fies, wie sich die Natur uns manchmal zeigt, aber die Natur ist schlussendlich nicht dazu verpflichtet, für uns verständlich zu sein. Ich hoffe einfach mal, dass es bei wenigen Pilzarten bleibt, die makroskopisch und mikroskopisch nicht auszumachen sind. Wäre nämlich echt traurig, wenn man bald alles sequenzieren müsste und mein Mikroskop zum Staubfänger wird.


    Grüße

    Oliver

  • Hi Oliver


    So schlimm, dass man alles sequenzieren müsste, ist es zum Glück noch nicht und ich denke dein Mikroskop verstaubt nächstens noch nicht so schnell. :) Zudem sind doch gerade Inocybe so schön unter dem Mikroskop, dass man auch gerne mal reinlinst, auch wenn man vielleicht nicht zu einer Art kommt. ;) Irgendwann in Zukunft wird es wohl ohnehin Geräte geben, mit denen man alles ziemlich einfach und schnell sequenzieren lassen kann.


    LG

    Benjamin

    Mit meinen Beiträgen gebe ich lediglich meine persönliche Einschätzung/Meinung ab. Sie sind nur als Vorschläge zu werten und es gibt damit insbesondere keine Verzehrsfreigaben meinerseits. Eine sichere Bestimmung sowie Verzehrsfreigabe kann nur der Pilzkontrolleur bzw. Pilzsachverständige vor Ort geben.