Risspilz
- Cognacmeister
 - Erledigt
 
Es gibt 8 Antworten in diesem Thema, welches 401 mal aufgerufen wurde. Der letzte Beitrag () ist von Cognacmeister.
- 
			
 - 
			
Hallo Meister,
das finde ich sehr spannend. Einmal was man da alles sehen kann. Und zum anderen kann ich gleich was mitlernen. Danke dafür.
 - 
			
Hallo Meister,
das finde ich sehr spannend. Einmal was man da alles sehen kann. Und zum anderen kann ich gleich was mitlernen. Danke dafür.
Stell da vor ab jetzt bin i nur mehr Zauberlehrling lg.
 - 
			
Hi,
gab's Pleurozystiden?
l.g.
Stefan
 - 
			Alles anzeigen
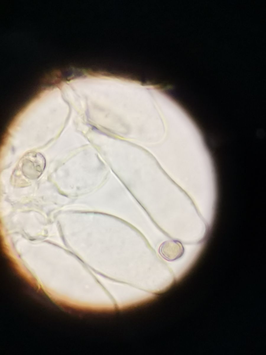
Hi,
gab's Pleurozystiden?
l.g.
Stefan
Ja tatsächlich.
 - 
			
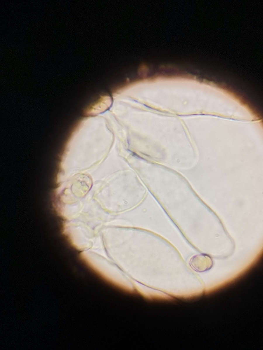
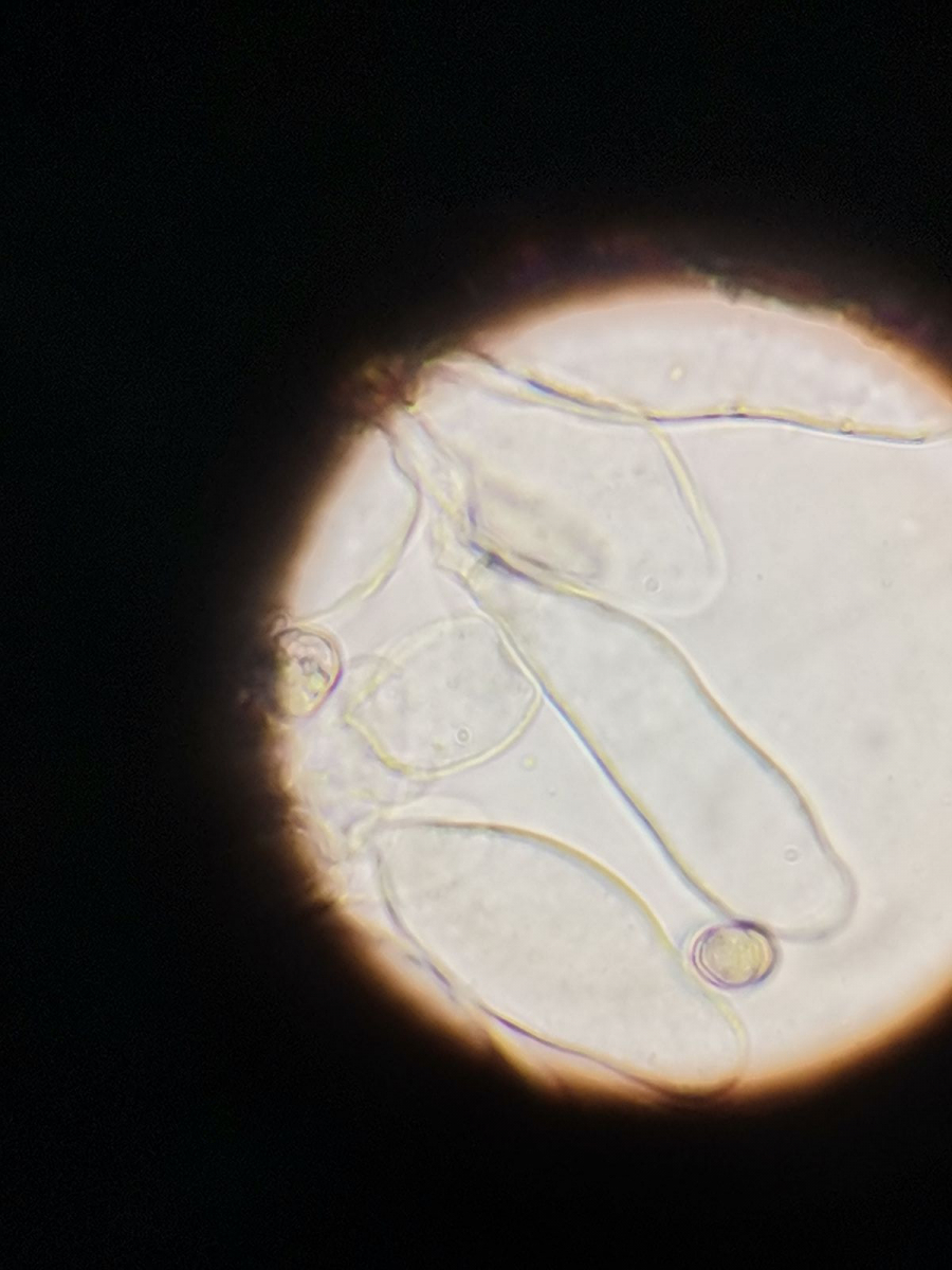
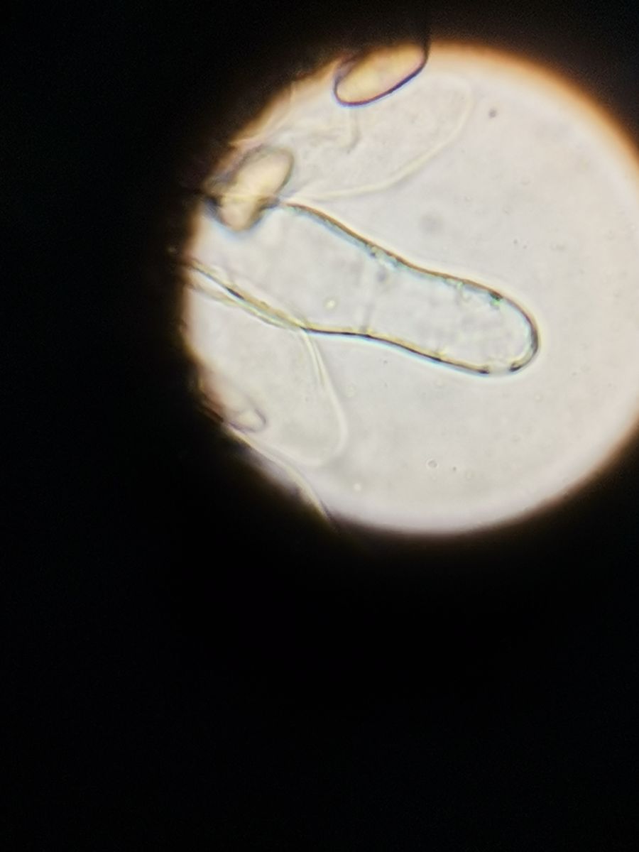
Hi,
die Zystiden, die du zeigst sind allesamt ziemlich kurz und haben alle keinen Kristallschopf. Hast du in 3%tiger KOH mikroskopiert?
l.g.
Stefan
 - 
			Alles anzeigen
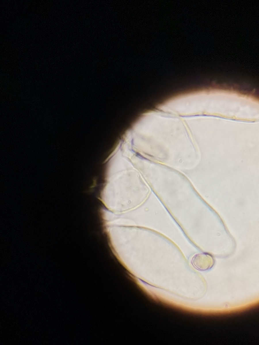
Hi,
die Zystiden, die du zeigst sind allesamt ziemlich kurz und haben alle keinen Kristallschopf. Hast du in 3%tiger KOH mikroskopiert?
l.g.
Stefan
Nein der war jetzt nur im Wasser Stefan lg. I verfügt noch nicht über viele Kenntnisse der inocybe.
 - 
			
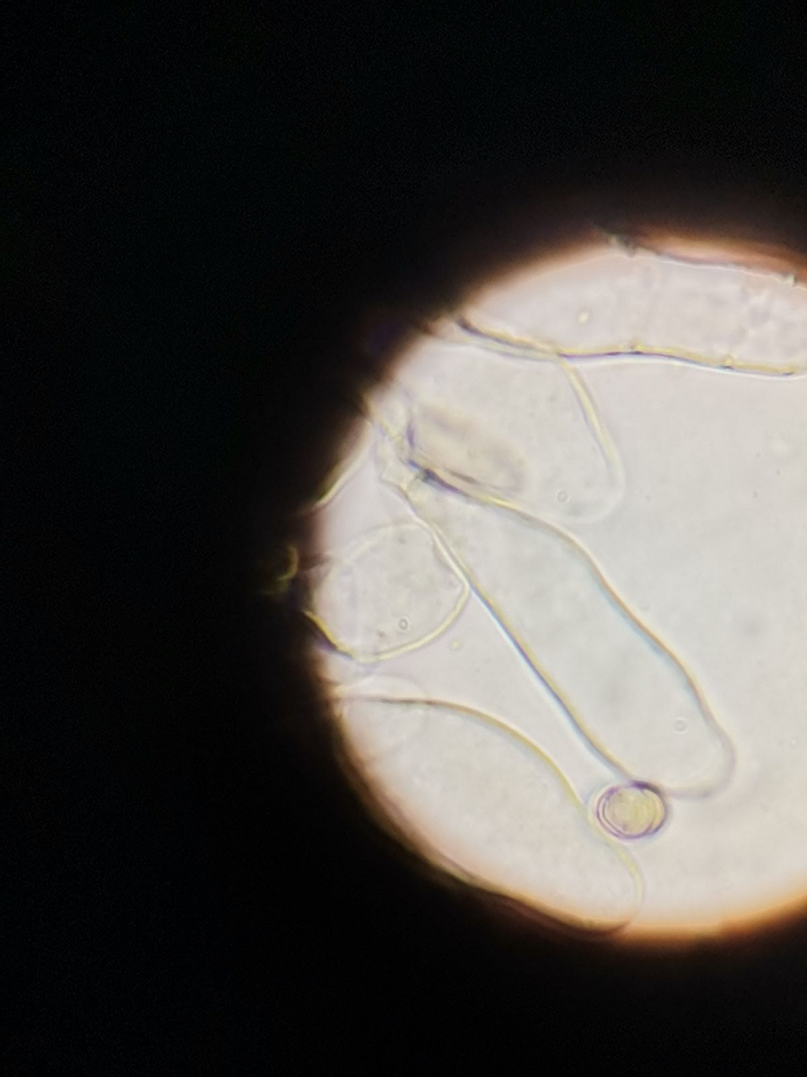
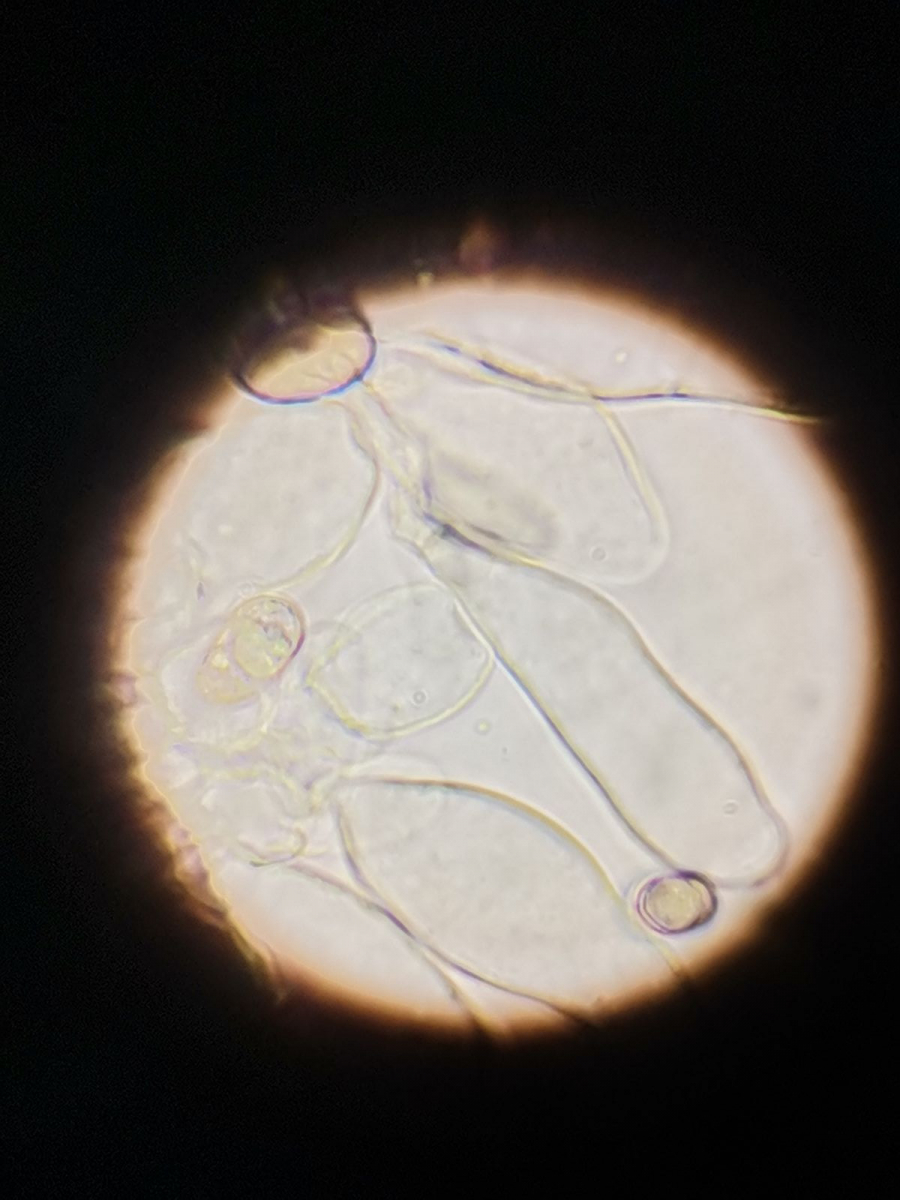
Ist halt schwierig ohne Maße und Bildern, wo mehrere Zystiden drauf sind. Bei Inocybe brauchts oft einen Gesamteindruck, da die Zystiden innerhalb eines FK sehr vielgestaltig sein können.
 - 
			
Ist halt schwierig ohne Maße und Bildern, wo mehrere Zystiden drauf sind. Bei Inocybe brauchts oft einen Gesamteindruck, da die Zystiden innerhalb eines FK sehr vielgestaltig sein können.
Jo passt am Mittwoch sollt alles da sein.
 
