Hallo Zusammen,
bin hier etwas ratlos, da der Pilz keine der typischen Merkmale eines Risspilzes zeigt.
Aber das braune Sporenpulver (ohne rot/orange Töne), und die Mikromerkmale deuten auf Risspilz hin. Vielleicht Malocybe?
Gefunden auf grasigem Weg im Mischwald. Hut sehr filzig.
Sporen in Wasser: 9.2 × 5.7 µm ; Qe = 1.6;
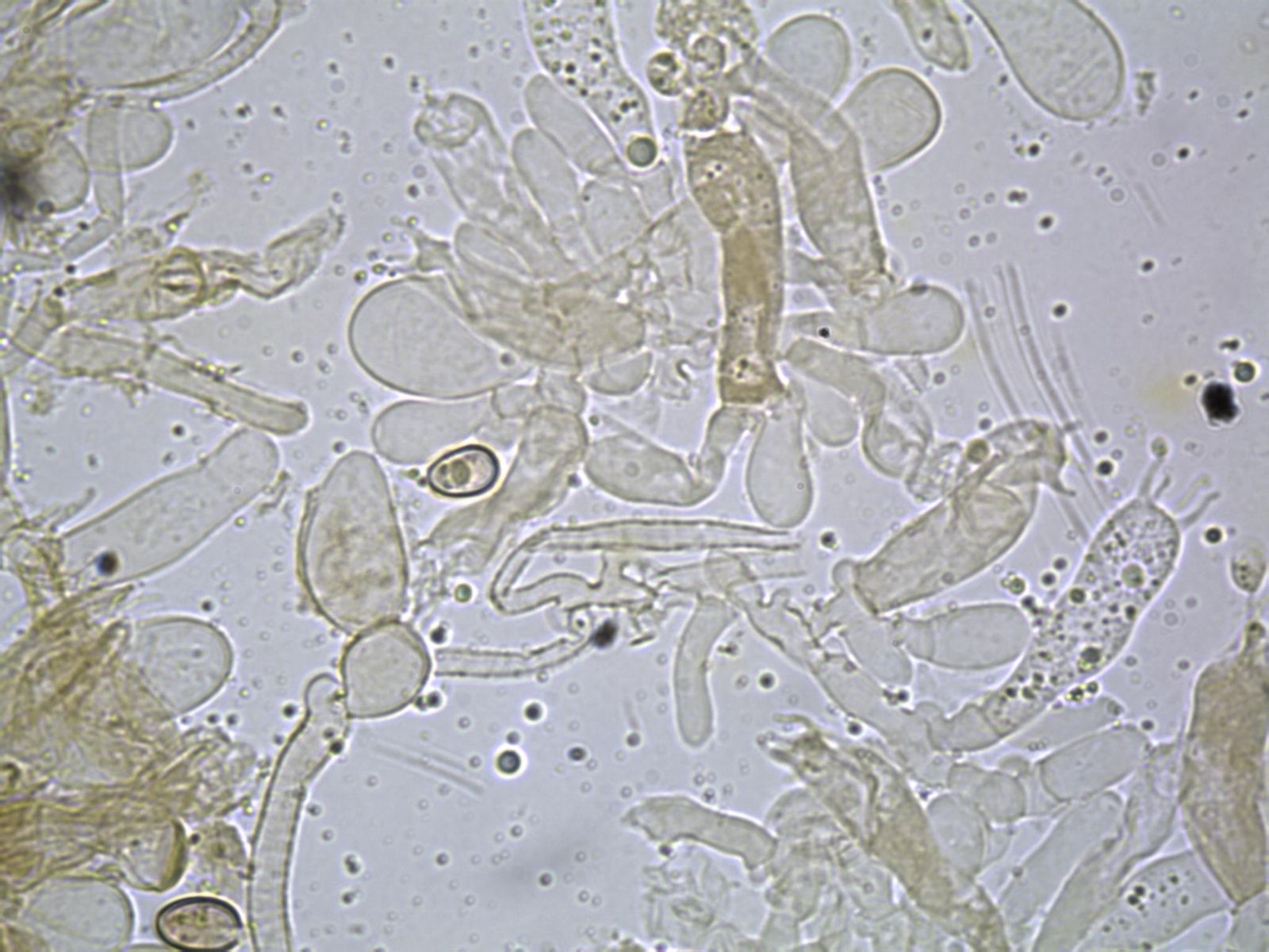
Lamellenschneide in KOH
Kann das ein Risspilz sein?
Gruß Nosozia
