Liebe Interessierte
Folgende ockersporige Russula habe ich gestern gefunden und würde gerne die Meinung von euch Experten anfragen, ob ich mit meiner Bestimmung richtig liegen könnte:
Fundort: unter Fichten mit Laub (Buche) untermischt
Geschmack: mild
Geruch: kein spezieller Geruch wahrnehmbar
SPP: IV c/d
Chemische Reaktionen:
mit Guajak mittelstark
mit FeSO4 ein blasses orange-rosa
Ich danke im Voraus für das Verständnis betreffend der Qualität der Aufnahmen, erstens dachte ich beim Aufnehmen gar nicht daran, diesen aus Zeitmangel näher zu analysieren und zweitens sind sie mit dem Handy aufgenommen:
Mikroskopie:
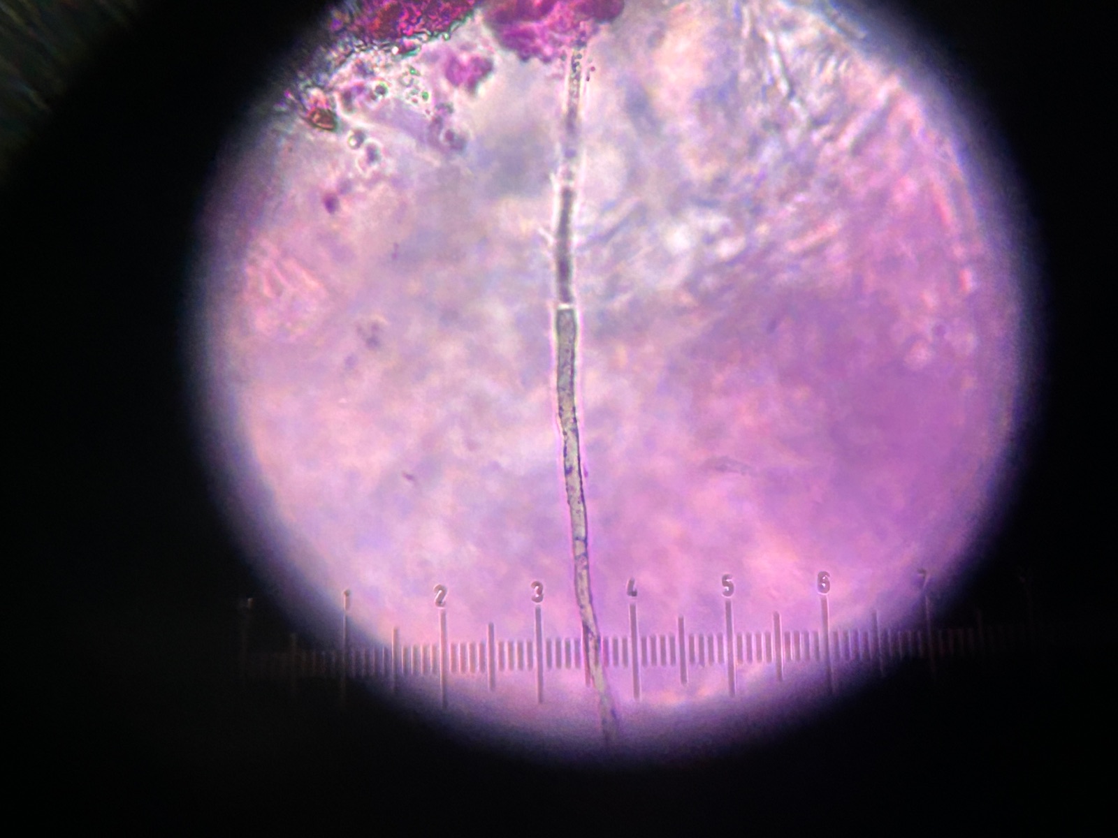
Hutdeckschicht in KF:
lange inkrustierte Primordialhyphen scheinen vorhanden zu dein:
Sporen:
grosse und elliptisch /ovoid, isoliertwarzig mit hohen spitzen Stacheln, welche teilweise amyloid erscheinen:
Ich würde hier somit R. integra erkennen und ihn als Solchen bestimmen und danke vorab herzlich für eure Korrekturen und Anregungen.
Beste Grüsse
Corinne
