Integrinae / R. integra

Es gibt 5 Antworten in diesem Thema, welches 1.196 mal aufgerufen wurde. Der letzte Beitrag () ist von Corinne.

  • Liebe Interessierte


    Folgende ockersporige Russula habe ich gestern gefunden und würde gerne die Meinung von euch Experten anfragen, ob ich mit meiner Bestimmung richtig liegen könnte:


    Fundort: unter Fichten mit Laub (Buche) untermischt

    Geschmack: mild
    Geruch: kein spezieller Geruch wahrnehmbar
    SPP: IV c/d
    Chemische Reaktionen:
    mit Guajak mittelstark
    mit FeSO4 ein blasses orange-rosa


    Ich danke im Voraus für das Verständnis betreffend der Qualität der Aufnahmen, erstens dachte ich beim Aufnehmen gar nicht daran, diesen aus Zeitmangel näher zu analysieren und zweitens sind sie mit dem Handy aufgenommen:





    Mikroskopie:


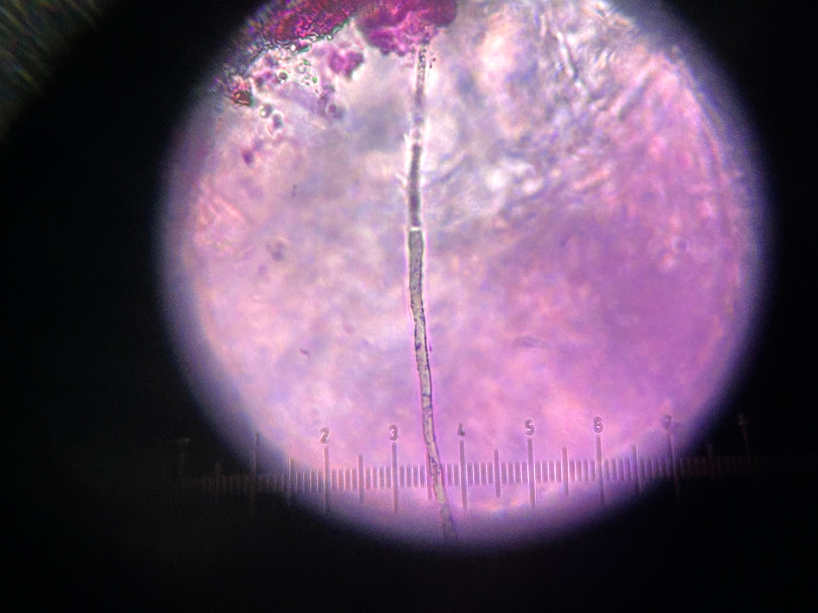
    Hutdeckschicht in KF:
    lange inkrustierte Primordialhyphen scheinen vorhanden zu dein:


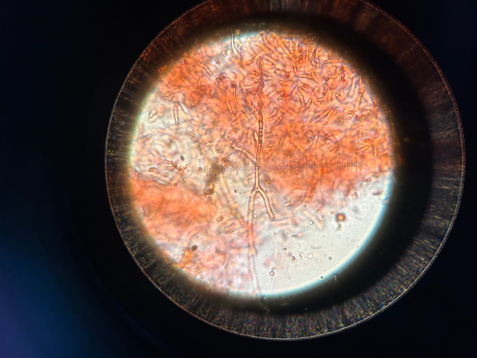
    Sporen:

    grosse und elliptisch /ovoid, isoliertwarzig mit hohen spitzen Stacheln, welche teilweise amyloid erscheinen:




    Ich würde hier somit R. integra erkennen und ihn als Solchen bestimmen und danke vorab herzlich für eure Korrekturen und Anregungen.


    Beste Grüsse
    Corinne

    Hinweis: Mit meinen Beiträgen und Kommentaren kann ich keine Tipps/Empfehlungen zum Verzehr abgeben. Zur Pilzbestimmung für Speisezwecke den Pilzsachverständigen vor Ort konsultieren. Vielen Dank.

  • Ich würde sagen, dass alles gut passt. Ein sehr häufiger Fichtenbegleiter den ich neben braun auch schon in weinrot hatte.


    LG Sebastian

    Lieber Sebastian

    Danke herzlich für deine Begutachtung und Rückmeldung. Ja er kann sehr variabel in der Hutfarbe daherkommen.

    Beste Grüsse

    Corinne

    Hinweis: Mit meinen Beiträgen und Kommentaren kann ich keine Tipps/Empfehlungen zum Verzehr abgeben. Zur Pilzbestimmung für Speisezwecke den Pilzsachverständigen vor Ort konsultieren. Vielen Dank.

  • Liebe Corinne,

    ich meine da auch Integra-Sporen zu sehen. Was diese langen, dünnen Elemente sein sollen, kann ich dagegen nicht sagen, vielleicht eine Kontamination? Textilfasern können z. B. so aussehen.

    FG

    Oehrling

    PSVs dürfen weder über I-Net noch übers Telefon Pilze zum Essen freigeben - da musst du schon mit deinem Pilz zum lokalen PSV!

  • Hallo Corinne,

    Von Seiten Makroskopie und Sporenbild hätte ich auch keine Einwände, bzgl. R.integra.

    Wie Stephan glaube ich jedoch nicht, dass die deutlichen langen Elemente Primordialhyphen sind. Die sind bei R.integra ziemlich unscheinbar und schwer zu beobachten. Für die Beweisführung könnte man zusätzlich die an der Basis inkrustierte Dermatozystiden nachweisen.

    VG Thiemo

    Bestimmungen anhand von Fotos sind immer unter Vorbehalt und mit Restrisiko!

    Sichere Freigabe zum Verzehr können nur Pilzsachverständige vor Ort geben!

  • Lieber Oehrling Stephan, lieber Steigerwaldpilzchen Thiemo


    Danke auch euch herzlich für eure Begutachtung zu R. integra und euren Erläuterungen.


    Ich vermutete tatsächlich in Karbolfuchsin Priomordialhypen mit Inkrustationen erkannt zu haben. Ich habe nochmals Bilder erstellt und diese Strukturen, welche mir teilweise als inkrustiert erscheinen sind lustigerweise überall zu erkennen. Für den Nachweis der Pileozystiden müsste man bei R. integra wohl Karbolfuchsin noch in Lactoglycerin untersuchen 🤔
    Beste Grüsse
    Corinne



    auch in Kongo:


    Hinweis: Mit meinen Beiträgen und Kommentaren kann ich keine Tipps/Empfehlungen zum Verzehr abgeben. Zur Pilzbestimmung für Speisezwecke den Pilzsachverständigen vor Ort konsultieren. Vielen Dank.