Hallo zusammen,
ich möchte euch einen Heterobasidiomyceten zeigen, der auf dem Namen Platygloea mycophila hört.
Gefunden hatte ich ihn am 24.02.24 auf Peniophora quercina. Selten scheint der Pilz nicht zu sein.
Björn boccaccio hat ihn vor 2 Jahren auch schon hier gezeigt, sonst wäre ich nie darauf gekommen diese Knubbel auf P. quercina zu mikroskopieren.
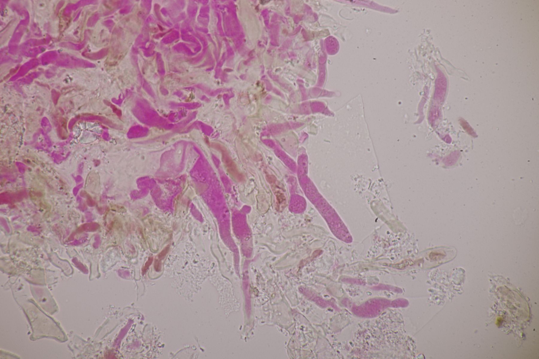
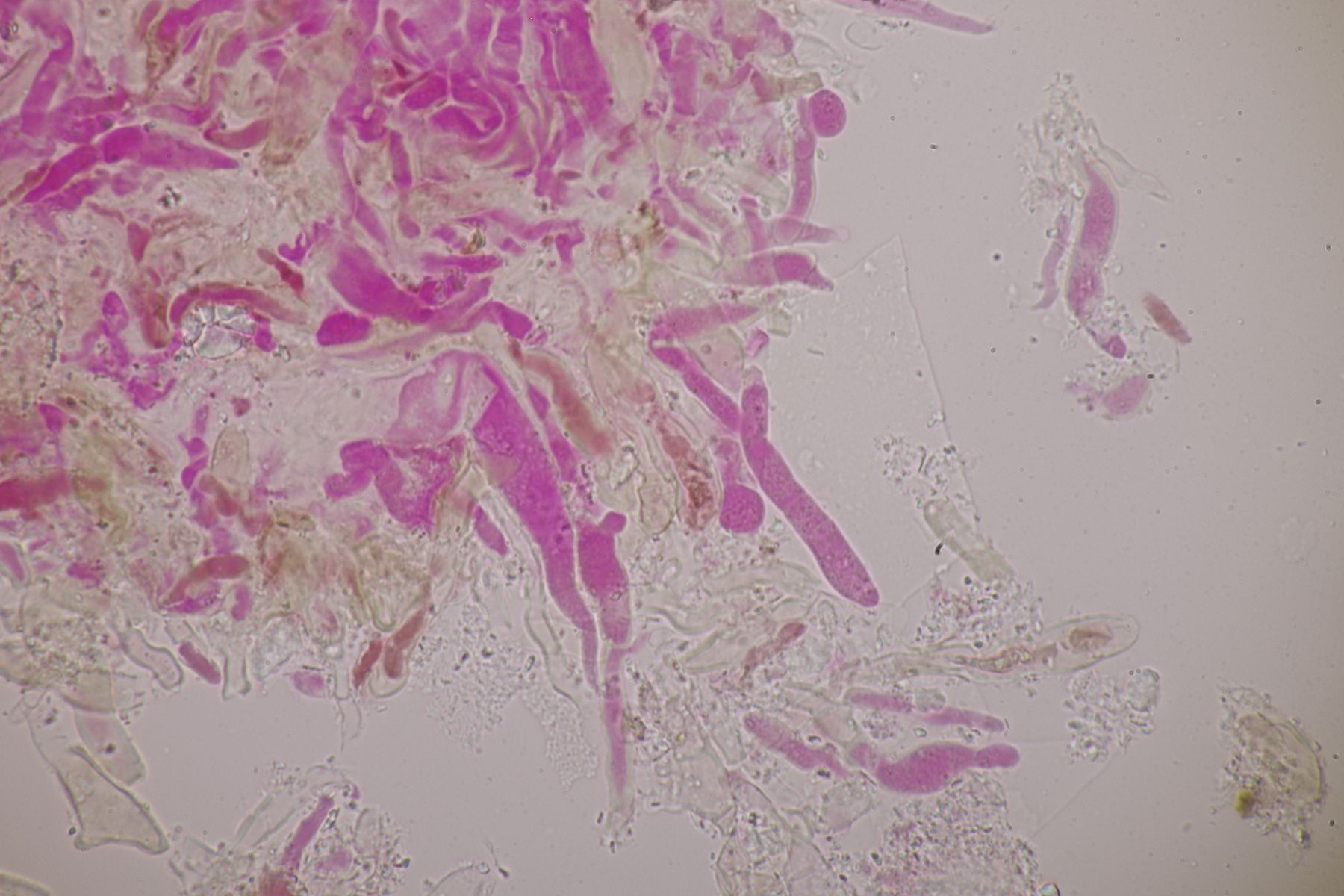
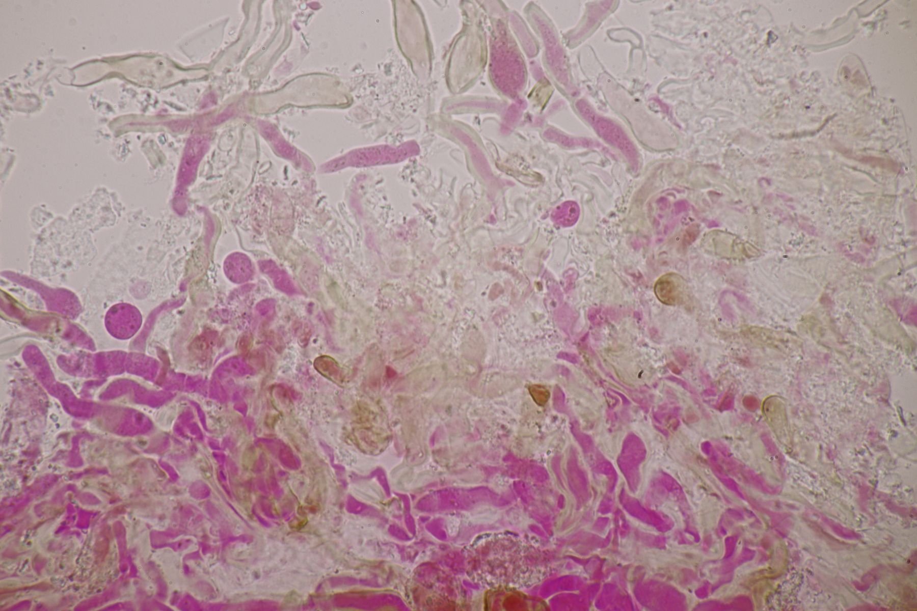
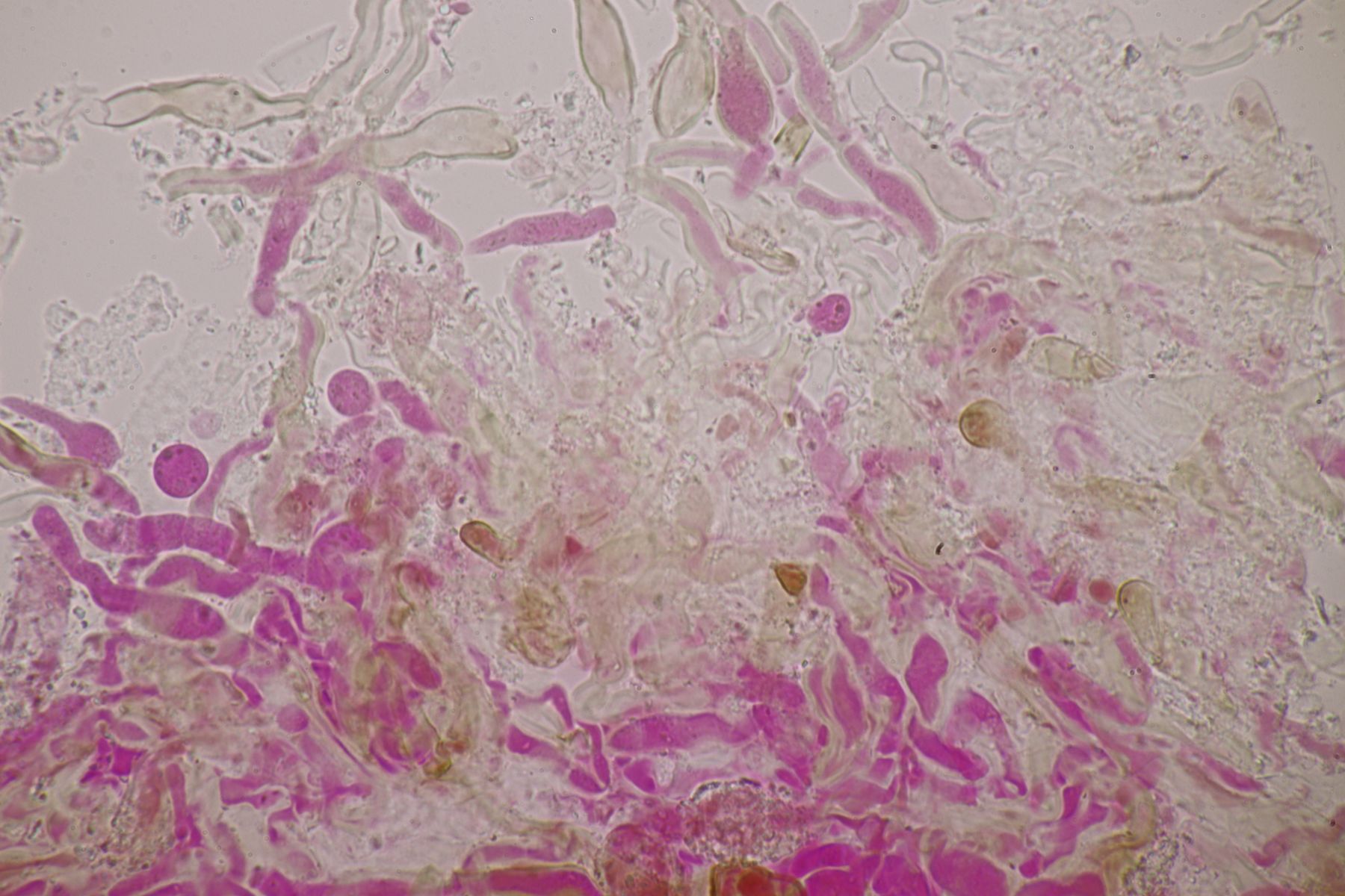
Hier sind die Bilder (Medium Kongorot und KOH-3%):
1.
2.
3.
4.
5.
6. in diesem Fall wurde nur in Wasser und KOH-3% Mikroskopiert.
VG : Thorben
