Inocybe haemacta?

Es gibt 3 Antworten in diesem Thema, welches 924 mal aufgerufen wurde. Der letzte Beitrag () ist von Ditte.

  • Servus beinand,


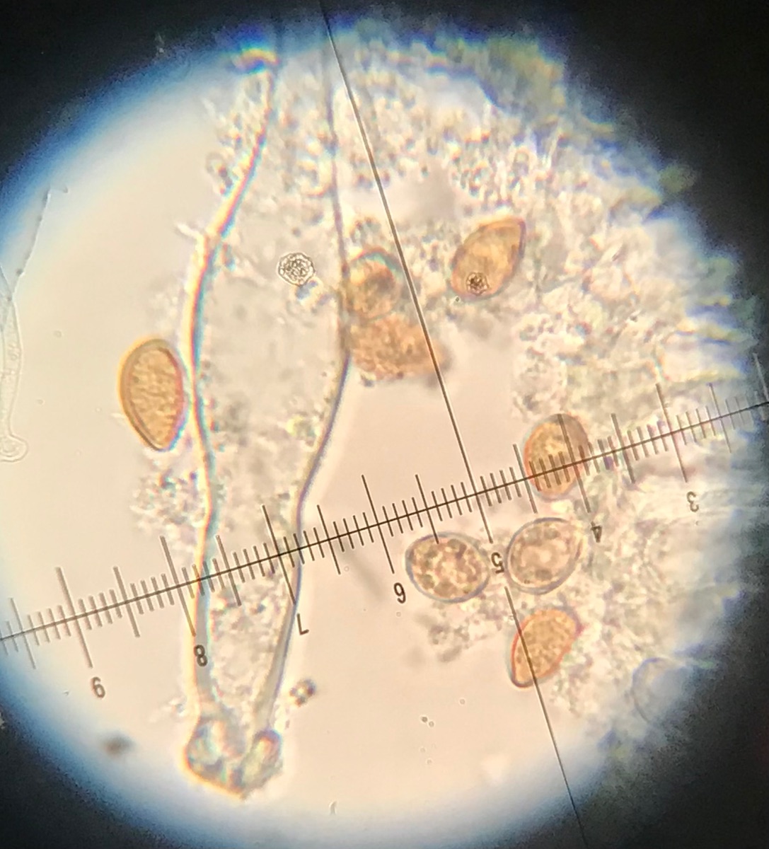
    heute haben wir diese hübsche, auffällige Inocybe bei Hasel gefunden, die ich gerne I. haemacta nennen würde. Geruch konnte ich keinen wahrnehmen, auch kein Röten im Fleisch, jedenfalls nicht innerhalb der letzten zwei Stunden (siehe Schnittbild). Sporen 4-5 x 10-11my.

    Danke für eure Einschätzungen.


    Herzliche Grüße

    Andreas


    Die Bilder:

  • Ich würde den auch da verorten, warum er nun nicht deutlich nach Pferdestall riecht kann ich dir auch nicht sagen. Da fehlt mir die Erfahrung, wie variabel dieses Merkmal sein darf. Auf inocybe.org findet sich der Hinweis: bei ganz frischen Fruchtkörpern. Sonst passen sowohl Makro- als auch Mikromerkmale sehr gut. Ökologie bzw. Baumpartner stimmt auch:


    Inocybe - haemacta
    Arten, Varietäten und Formen der Gattung Inocybe - species, varieties and forms of the Genus Inocybe
    www.inocybe.org


    LG Sebastian

  • Danke Sebastian_RLP,


    auf der Seite von Ditte war ich schon. Das einzige, was mich etwas irritiert, - neben dem fehlenden Geruch - ist die ausgeprägte Rotfärbung meiner Kollektion. Das hab ich so nirgends gesehen oder gelesen. Andererseits: er heißt ja trivial Grünroter Rißpilz… Möglicherweise hat sich auch die Färbung durch den leichten Frost der letzten Nächte verstärkt.

    Wir waren zu dritt. Zwei konnten nichts riechen, einer hat einen undefiniert unangenehmen Geruch wahrgenommen.


    Herzliche Grüße

    Andreas

  • Grüß dich, Andreas, das ist ohne Zweifel Inocybe haemacta. Dass die nicht roch, lag einfach am Wetter (Kälte, Nässe). Wächst meist bei Hasel.

    Herzlich, Ditte