Servus beinand,
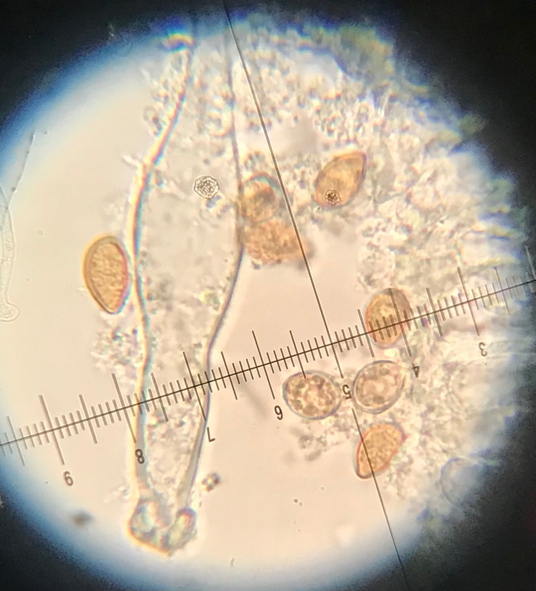
heute haben wir diese hübsche, auffällige Inocybe bei Hasel gefunden, die ich gerne I. haemacta nennen würde. Geruch konnte ich keinen wahrnehmen, auch kein Röten im Fleisch, jedenfalls nicht innerhalb der letzten zwei Stunden (siehe Schnittbild). Sporen 4-5 x 10-11my.
Danke für eure Einschätzungen.
Herzliche Grüße
Andreas
Die Bilder:
