Hallo an alle!
Gestern war ich im Raum Saarwellingen auf Pilzexkursion und hab folgende Funde gemacht. Manche Arten konnte ich nicht sicher bestimmen. Die Funde ereigneten sich alle in einem Buchendwald mit wenigen, eingestreuten Fichten auf saurem Boden. Vielleicht kann ja jemand helfen.
Exkursionsgebiet
1. Cortinarius spec.
Folgende Cortinariusart konnte ich in großen Mengen dort finden.
Geruch: leicht(!) würzig, ansonsten nicht auffällig, Geschmack: neutral
Sporen: Länge 8,6-15,5 (MW: 12,7) Breite 8,7-9,8 (MW: 8,5)
20-%ige KOH-Reaktion: keine
2. Trametes gibbosa?
3. Calycina spec.
4. Mycena spec. Vermutlich galericulata?
5. Russula emetica?
Geschmack: sehr scharf
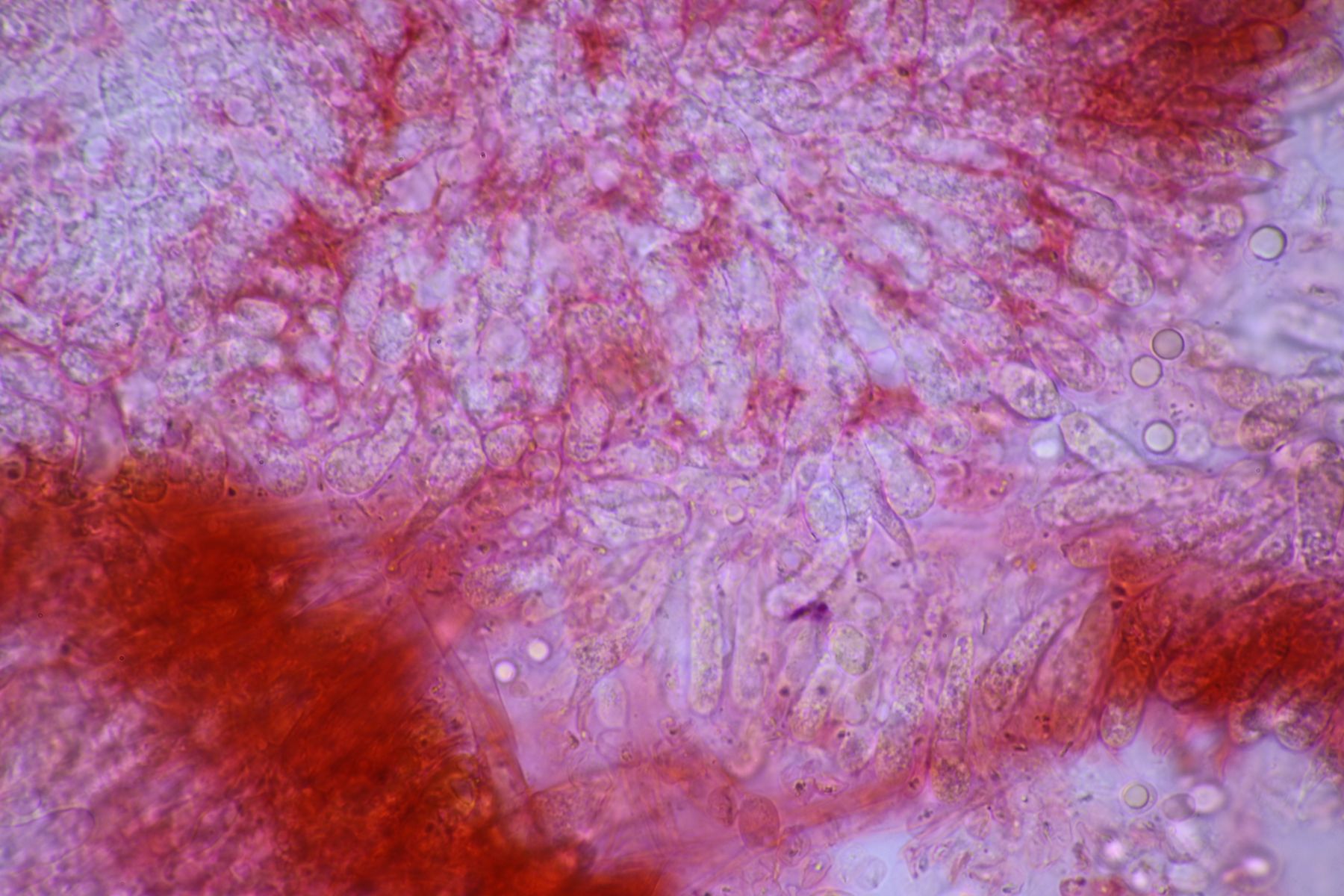
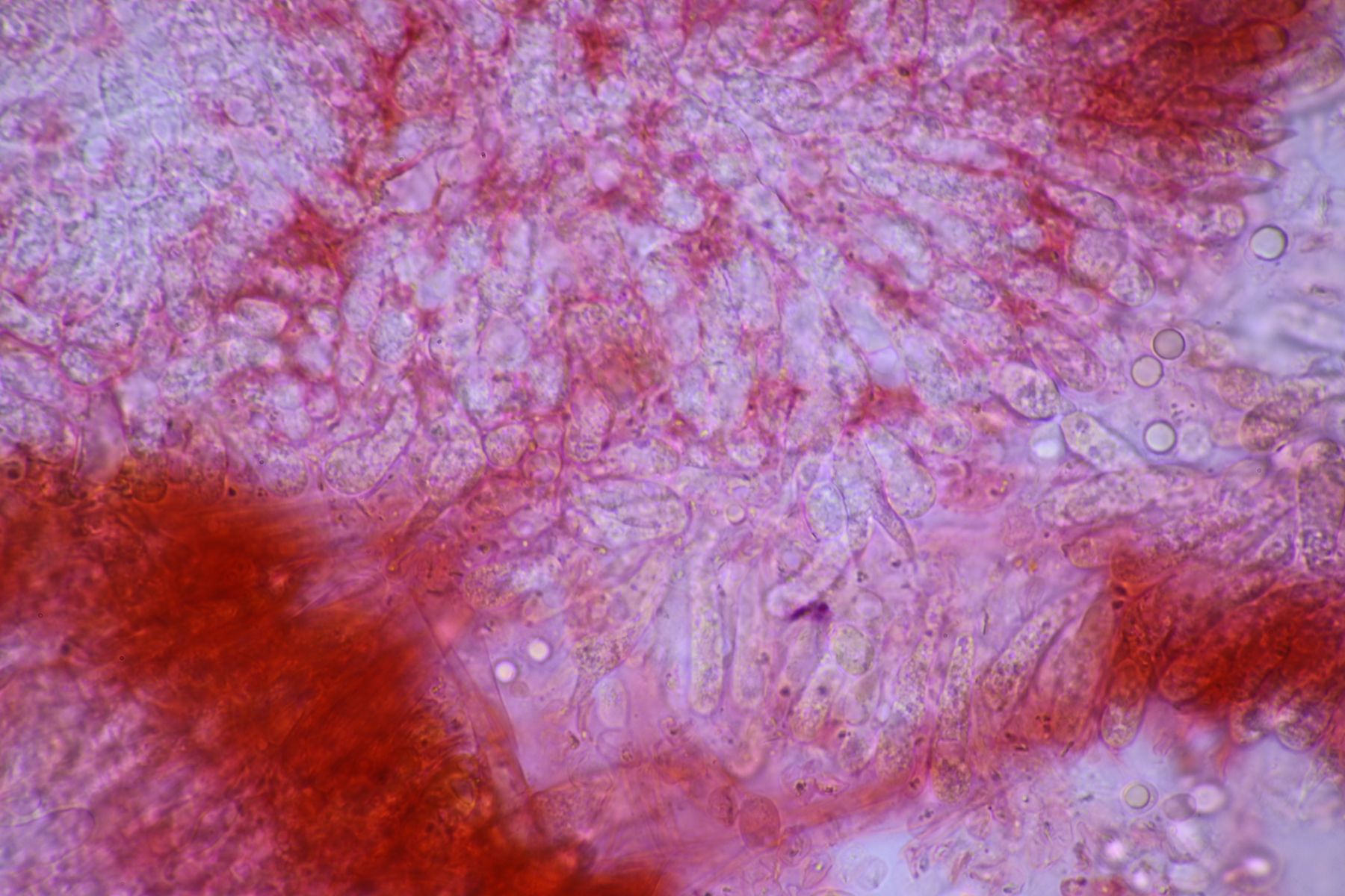
6. Mycena spec.
Lamellenschneide
7. Craterellus tubaeformis
8. Xylaria hypoxylon
9. Laccaria spec. ?
10. Mycena capillaris
11. ?
