Hallo zusammen,
zu guter Letzt der letzte Beitrag aus Hilchenbach, an dem wir eine kleine Runde um unsere Unterkunft im Stift Keppel gedreht haben.
1. Ochropsora ariae ex Anemone nemorosa
2. Urocystis anemones ex Anemone nemorosa
3. Vibrissea flavovirens
4. Cudoniella tenuis
5. Ombrophila janthina
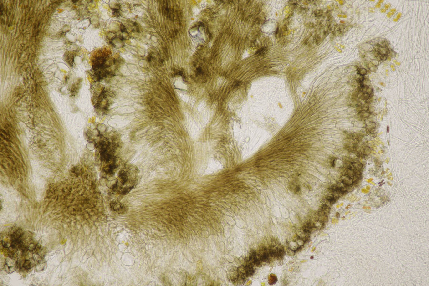
6. Melanomma pulvis-pyrius ex Fagus sylvatica
7. Sarea resinae
8. Pucciniastrum areolatum ex Picea abies
9. Eine Hirschtrüffel im sauren Fichtenforst. Schon ziemlich eingetrocknet, aber mit heller Peridie. Mit dem Sporenornament lande ich dann bei Elaphomyces granulatus
10. Eine Pleospora auf Phalaris. Da traue ich mich aber nicht an eine ernsthafte Bestimmung.
11. Mniaecia jungermanniae
Björn
