Hallo zusammen,
am letzten Samstag habe ich eine Runde durch den Gleispark Frintrop in Essen, ein ehemaliger Bahnhof, der mittlerweile zu einem Park umgestalteet wurde, gedreht und dabei auch die Brache Vondern in Oberhause mit angeschaut. Das war sehr erfolgreich, denn es gab einige für mich neue Arten zu entdecken:
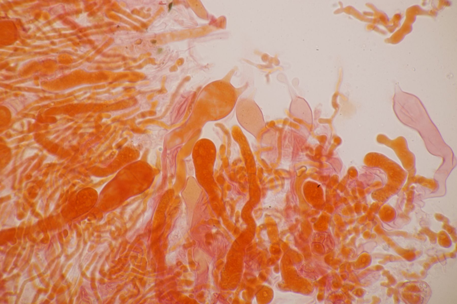
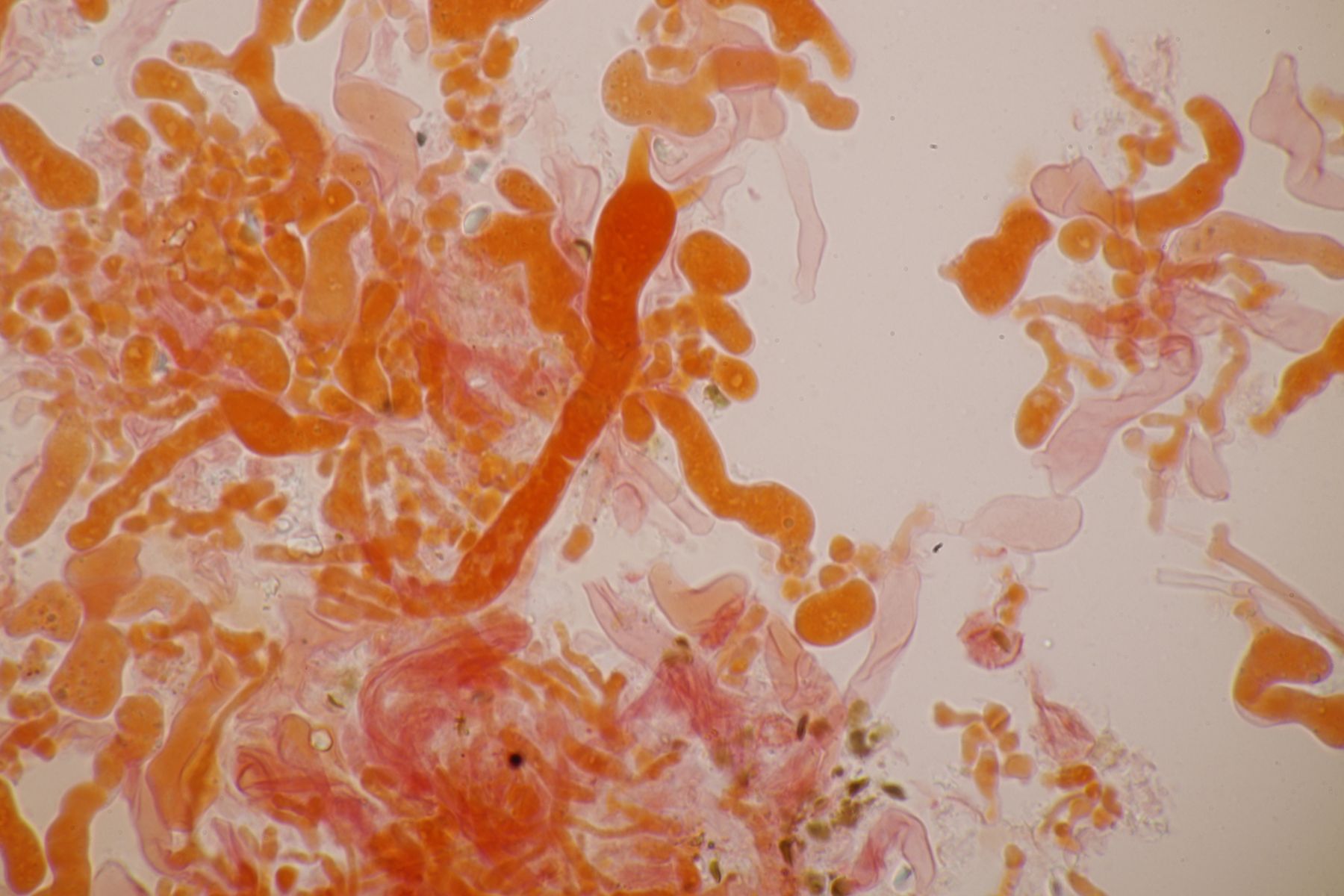
1. Laetisaria fuciformis
2. Laetisaria lichenicola
3. Ausnahmsweise mal ein Dungpilz außerhalb des coprophilen Forumsteils. Die Sporen messen 22-23 x 13 µm, das Ganze wuchs auf Kaninchen. Sind das einfach nur sehr reife Ascobolus albidus? nobi_†
4. Auricularia auriculae-judae auf Weide
5. Propolis farinosa
6. Apiognomonia hystrix auf Acer pseudoplatanus
7. Pseudomassaria sepincoliformis auf Rosa sp.
Björn
