Hallo zusammen,
am letzten Wochenende war ich noch mal in den Borkenbergen unterwegs. Leider hatte es dort in der Nacht den ersten Frost gegeben, so daß es sich mit der pilzlichen Herrlichkeit in engen Grenzen hielt. Aber ein paar nette Funde gab es dann trotzdem noch.
1. Peronospora vernalis ex Spergula morisonii
2. Eine Hypocopra auf Kaninchen. Sporen messen 24.2-27.1 µm x 12.0-13.1 µm, sind leicht asymmetrisch und in jungem Zustand zweizellig. Die Keimspalte nimmt nur einen Teil der Spore ein und mißt ca. 15 µm. Der Apikalapparat ist komplett amyloid. Da wenigstens teilweise mehrere Perithecien in je Stroma vorhanden sind, lande ich bei Hypocopra brefeldii.
3. Cladonia sp.
4. Bovista pusilla
5. Suillus luteus
Huthaut
Röhren
Stiel
Sporen
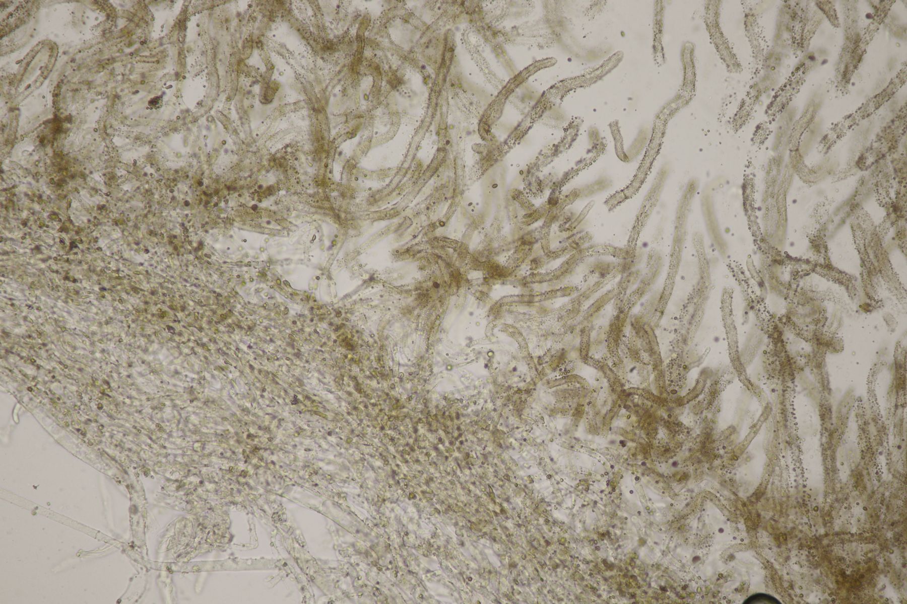
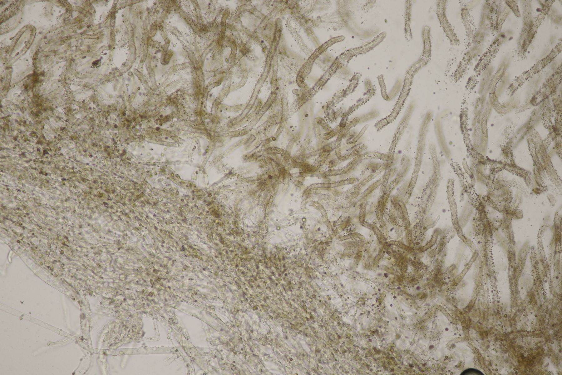
6. Botryobasidium subcoronatum, Sporen 7.6+-0.4 x 3.1+-0.2, Q=2.5+-0.2, 6.9-8.2 x 2.7-3.4, Q=2.1-2.7
7. Geopora arenicola
8. Ein Schleimpilz, bei dem ich nach einigem Überlegen zu Leocarpon fragilis tendieren würde, auch wenn die Sporen mit 11-12 µm etwas klein sind.
9. Erysiphe alphitoides ex Quercus robur
10. Noch ein Schleimpilz mit Sporen von 9-11 µm. Hier fehlt mir allerdings jegliche gute Idee... lamproderma
11. Zum Schluß noch eine Sordaria mit Sporen von 31-32 µm x 19-20.5 µm, Q=1.5-1.7, womit ich hier bei Sordaria macrospora rauskomme. Aber bis jetzt bin ich in dieser Gattung fast noch nie bei der richtigen Art rausgekommen.... ![]()
Björn
