Hallo,
bei diesem Pilzchen bin ich heute völlig verunsichert gewesen, in welche Gattung es zu stecken ist. Mein erster Gedanke ging in Richtung Schüppling auch wenn komplett ohne Schuppen.
Dies hat sich dann auch bewahrheitet und bei der Art komme ich auf den Nadelschüppling Pholiota spumosa. Seht ihr das auch so?
Gefunden am Erdboden in einem Kiefern-Fichten Nadelwald mit einzelnen Buchen
Hut: Mitte leicht gebuckelt, bräunlich, zum Rand gelb, klebrig, am äußersten Rand mit sichtbaren Velumresten, Durchmesser 4-5cm
Lamellen: gelb
Stiel: Spitze neongelb (analog zum Grünblättrigen Schwefelkopf), dann zur Basis zunehmend bräunlich befasert
Geruch: eigenartig würzig/erdig (erinnert mich entfernt an Cortinarius nanceiensis)
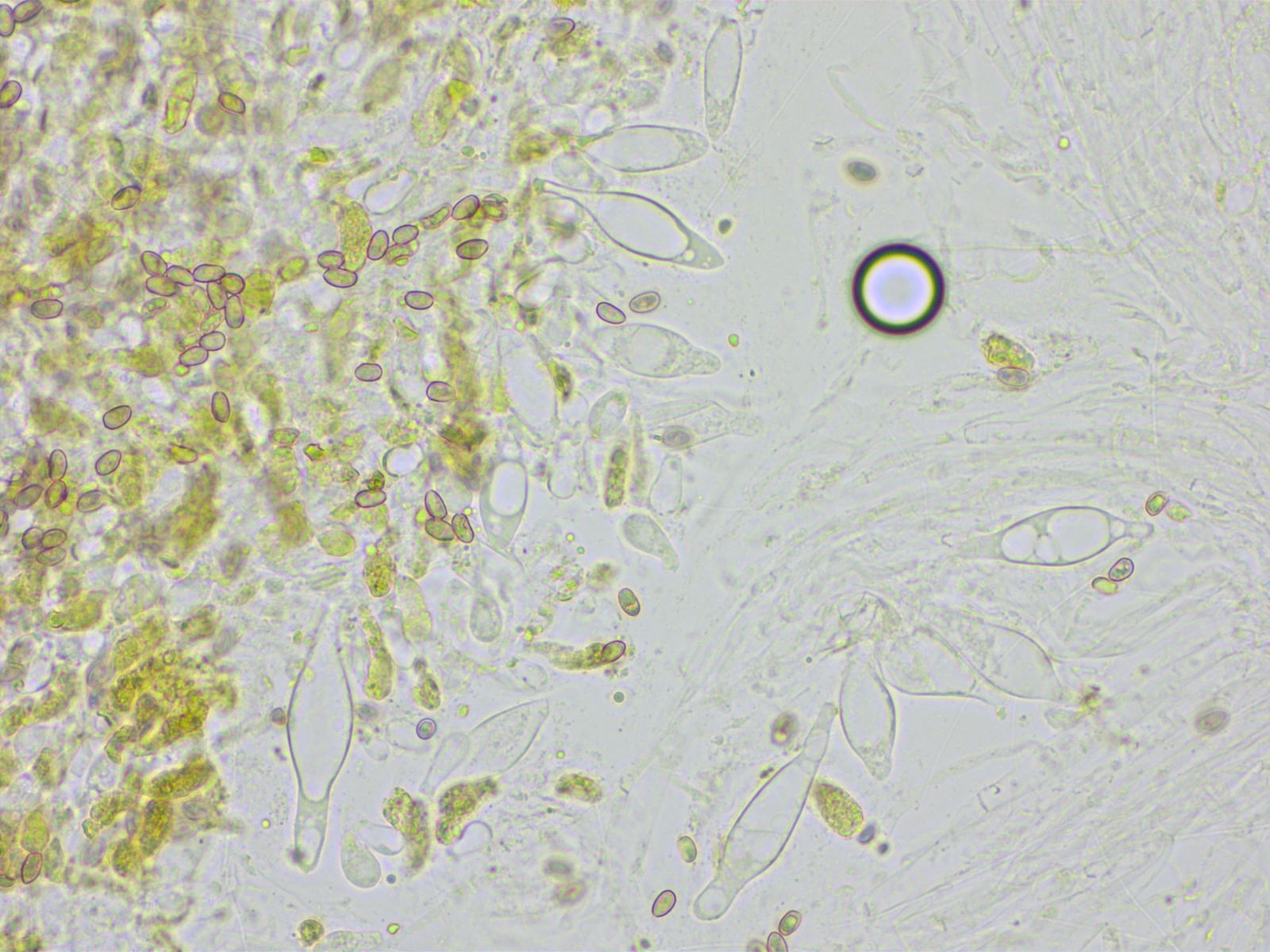
Sporen: Mittelwert 7,25 x 4,25mü, Keimporus sichtbar
Meine Kamera schluckt beim fokusieren leider immer die Gelben Farbtöne
Hier noch mal unscharf, aber farbechter:
Zystiden ohne Verfärbung in KOH 3% x400
Sporen in Wasser x1000(Öl)
Danke für euer Interesse. ![]()
LG Thiemo
