Hallo zusammen
Vergangene Woche durfte ich (wie auch Cortinarius ) an der Tagung unserer wissenschaftlichen Kommission teilnehmen.
Neben den Risspilzen, die ich bereits reingestellt habe, möchte ich euch noch ein paar Highlights zeigen:
1: Eine Telamonia mit lila Basalfilz
Einen besonderen Geruch hatte die nicht. Standort war ein Buchen-Fichtenwald auf 1100m.
Die Sporen sind recht klein und deutlich warzig. Nach dem AdC lande ich bei Cortinarius altipes.
Natürlich mit viel Restunsicherheit.
2: Ein kleiner Faserling
Die wuchsen am Strassenrand auf nackter, aufgewühlter Erde. Vermutlich gemischt mit Resten von Kuhmist.
Nach Funga Nordica sollte das Psathyrella potteri sein.
Sporen recht gross, mit deutlichem Keimporus.
Cheilozystiden breit spindelformig
Pleurozystiden schlanker
3: Kein Trichterling
Dieser trichterlingsartige Pilz wuchs auf ca. 1000m auf einem moosüberwachsenen Felsen.
Die bräunlichen Lamellen und der fein samtige Hut erweckten bei mir bereits einen Verdacht.
Ein kurzer Blick ins Mikroskop bestätigte dann die stacheligen Sporen von Ripartites tricholoma.
4: Ein Träuschling
Die beiden Kerlchen wuchsen im Gras auf einer Bergweide.
Bei diesen Träuschlingen sind die Cheilozystiden wichtig. Diese hier haben eine typische Form, oben erst verdickt dann wieder verjüngt.
Das gibt es nur bei Stropharia pseudocyanea.
5: Mal zur Abwechslung ein Asco
Diese kleinen "Becherlinge" wuchsen im Kastanien-Eichen-Wald auf 420m.
Wenn man dran zieht, kommt ein sehr langer Stiel zum Vorschein.
Asci in Lugol
Sporen in Wasser
Ich habe es leider nicht geschafft, das Substrat zu ermitteln. Die Fruchtkörper lösten sich bei der kleinsten Bewegung und lagen dann einfach lose in der Laubstreu.
Aber aufgrund der umgebenden Bäume müsste das Substrat irgendein pflanzlicher Abfall von Castanea oder Quercus sein.
Ich vermute es ist Ciboria batschiana.
6: Ein komischer Trichterling
Im Wald wusste ich damit nichts anzufangen. Auffallend war der samtig-graue Hut. Die weissen Rhizomorphen fielen mir erst später auf.
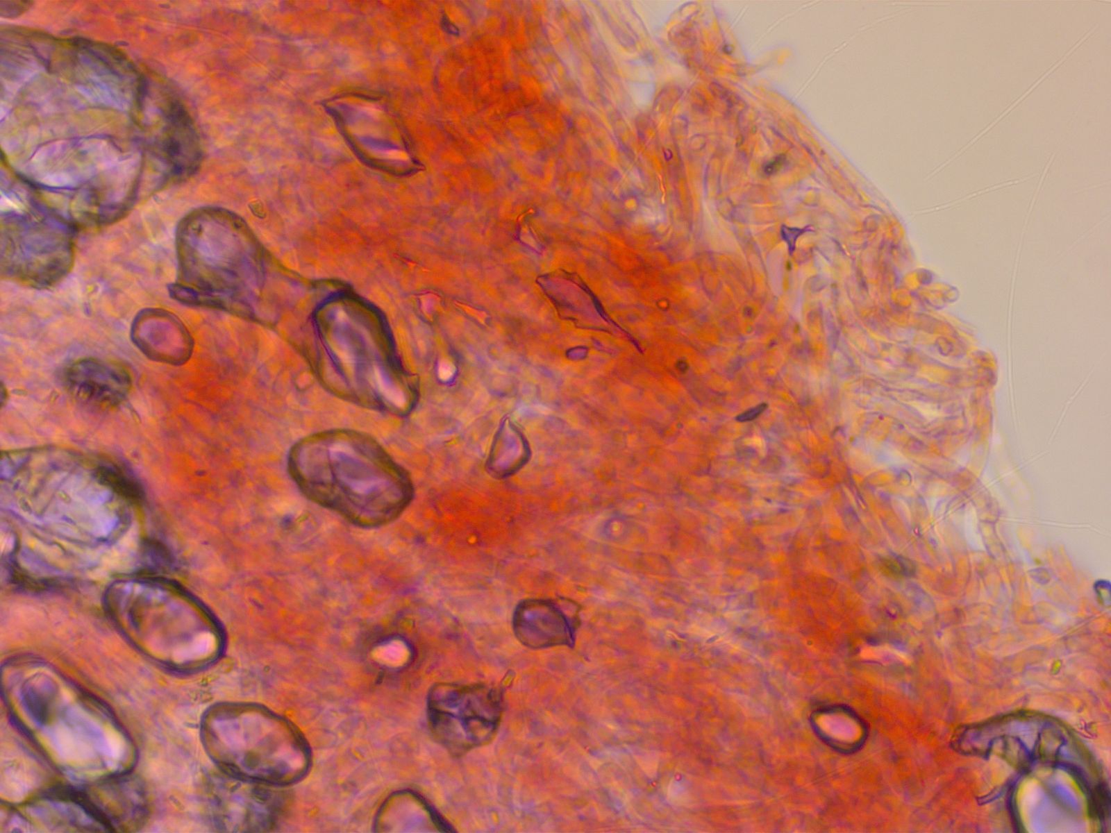
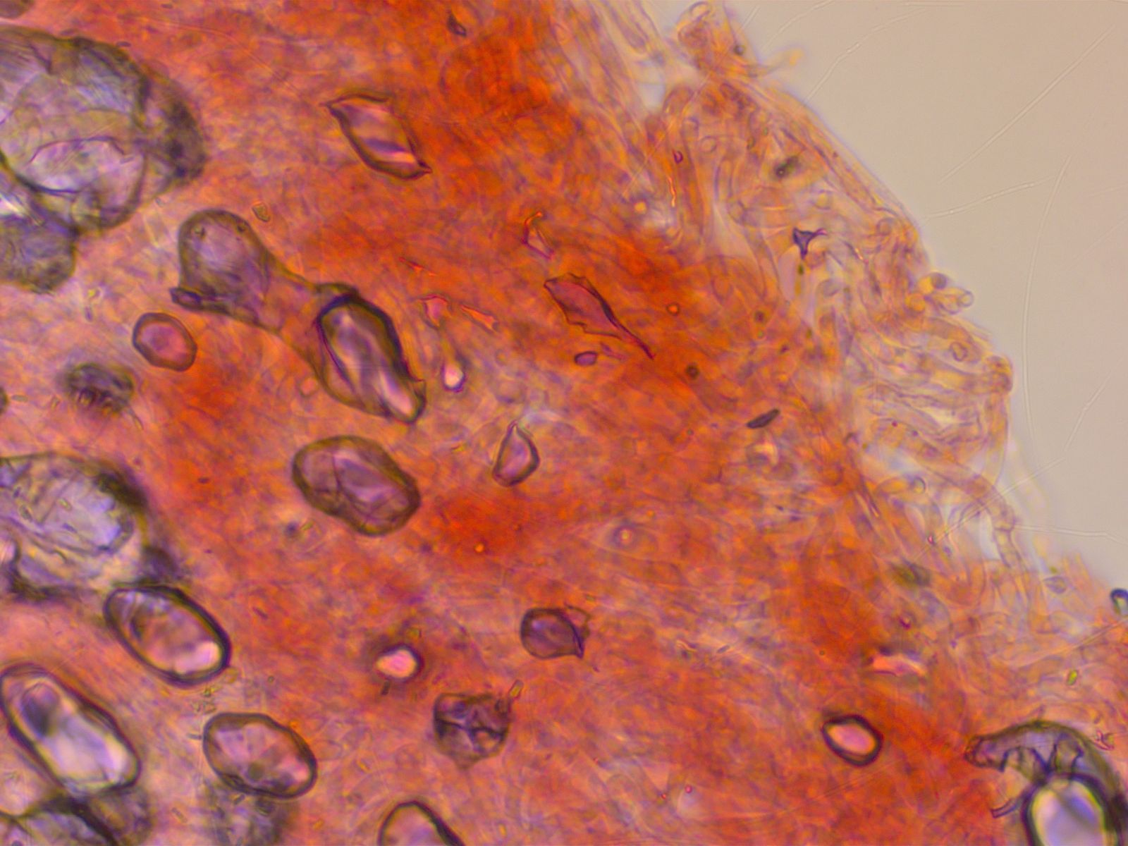
Sporen mit gelber Pigmentierung in KOH
HDS mehrheitlich intrazellulär pigmentiert, aber stellenweise auch braun inkrustiert.
Dieser Trichterling ist wohl noch recht unbekannt: Musumecia vermicularis.
7: Kein echter Helmling
Die wuchsen mitten auf dem Wanderweg, ich musste sie retten. Man beachte den überzuckerten Hut.
Wenn man die grobhöckerigen Sporen anschaut, ist sofort klar dass es kein normaler Helmling ist.
Die Cheilozystiden sind lageniform, damit ist das Mycenella bryophila.
8: Ein kleiner Schirmling
Der gefiel mir schon im Wald. Offenbar ist hier wichtig, dass der Ring nur unterseitig dunkel schuppig ist.
Sporen in Melzer recht langweilig
Cheilozystiden...
HDS komplex aufgebaut, mit sehr langen aufsteigenden Zellen, darunter eine hymeniforme Schicht.
Das alles passt gut zu Lepiota pseudolilacea.
9: Ein Tintling
Dieser Tintling wuchs direkt neben der Ciboria, die man unten links im Bild sieht.
Er ist weiss überpudert, das sieht man jedoch nur am Standort, nach dem Heimtransport war das praktisch verschwunden.
Viele Sporen sind deutlich mitraförmig. Cheilo- und Pleurozystiden rundlich bis elliptisch, ich verzichte mal auf die Bilder davon.
Sphaerozyten aus dem Velum, kaum pigmentiert, mit dünnen Verbindungen. Keine Pileozystiden.
Ich bin kein Tintlings-Spezialist, aber ich halte es für Coprinellus saccharinus.
10: Einfach nur schön
Keine Rarität, aber schön anzuschauen: Melanophyllum haematospermum.
Danke fürs Mitlesen...
Lg, Raphael
