Nun scheint es doch langsam aber sehr sicher auch wieder mit den Großpilzen loszugehen. In meinem Hauswald lassen sich Täublinge, Röhrlinge und vieles mehr zunehmend finden.
Die Täublinge haben mich noch etwas beschäftigt:
01 Russula vesca - der Speisetäubling unter Buche (der ist ja nun hier ausführlich besprochen worden).
02 Russula velutipes - Der flockige Rosentäubling
Unter Buchen - Stiel mit typischer Beflockung - Mild - SPP IIa - SV an Stiel rot und so bleibend - Guajak negativ
Sporen: 7,3-7,7 µm (av. 7,5 µm, SD 0,14 µm) x 6-6,7 µm (av. 6,2 µm, SD 0,24 µm); Q = 1,1-1,3 (av. 1,2, SD 0,06) (n = 5)
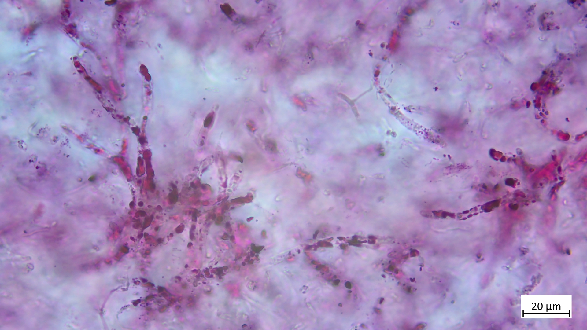
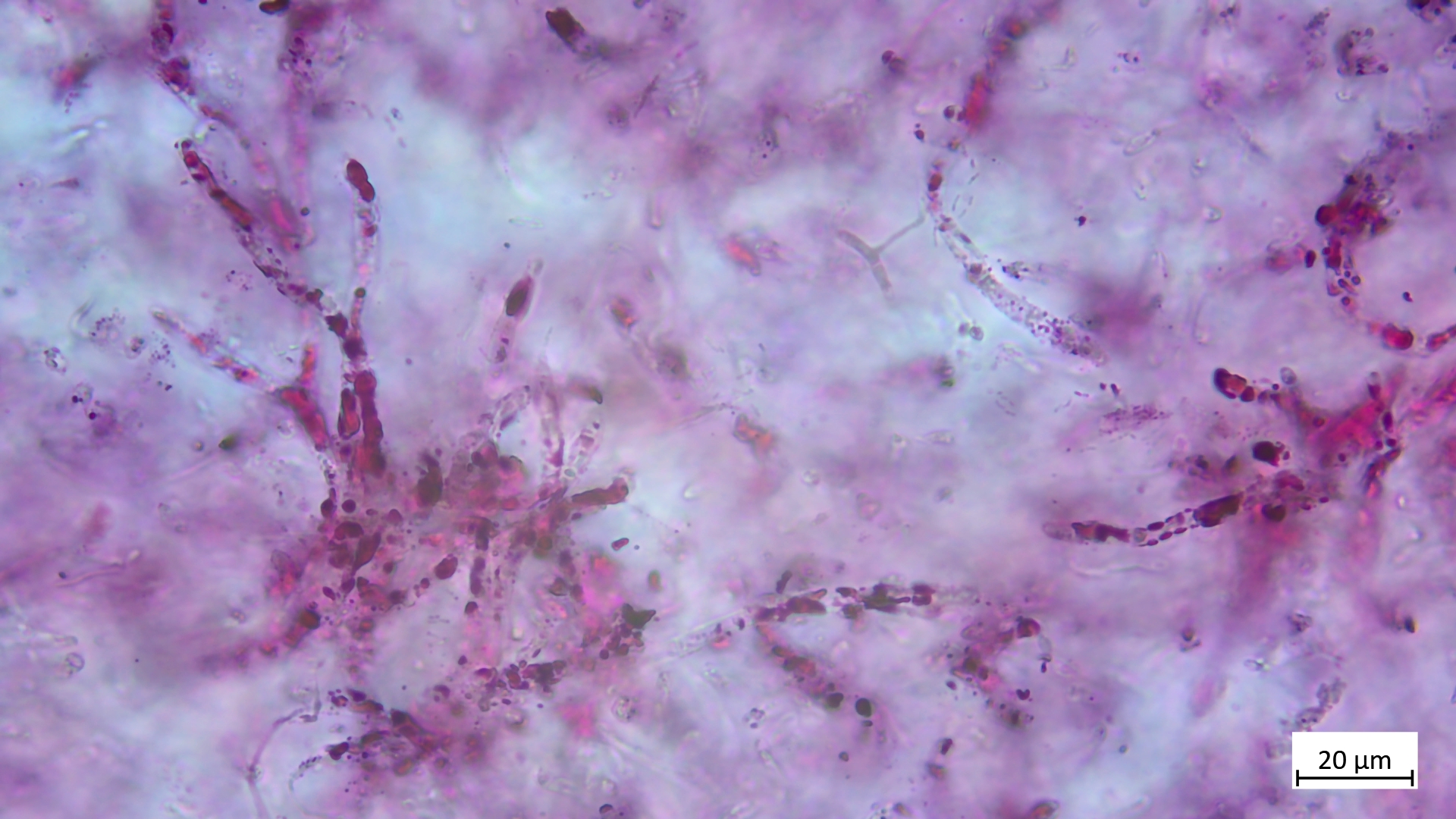
Inkrustierte Primordialhyphen in Karbolfuchsin:
Weiter unter Buche sehr wahrscheinlich 03 Russula cyanoxantha - der Frauentäubling.
Am Fuße zweier Buchen ...
... eine weitestgehend grüne Form mit lilalichen Reflexen, bei der mich irgendetwas abgehalten hat hineinzubeißen:
Ich habe den Schnegel gefragt wie der Täubling schmeckt. Er meinte "mild - logo" ... ich hoffe man kann ihm trauen!
SPP Ib, Guajak nur langsam grün, FeSO4 sehr langsam und dann blass schmutzig olivgrün.
Sporen: 7,9-9 µm (av. 8,5 µm, SD 0,36 µm) x 6,5-7,3 µm (av. 6,8 µm, SD 0,32 µm); Q = 1,2-1,3 (av. 1,2, SD 0,04) (n = 9)
HDS in Kongorot:
Zwischendurch mal eine schöne Gruppe 04 Perlpilze:
Gefreut habe ich mich (wenn auch nicht mehr recht taufrisch) über 05 Pluteus leonides - den löwengelben Dachpilz
Sporen: 6,4-7,8 µm (av. 7 µm, SD 0,29 µm) x 5,3-6,4 µm (av. 5,8 µm, SD 0,28 µm); Q = 1,1-1,3(av. 1,2, SD 0,05)(n = 25)
Cheilozystiden:
und in Kongorot ...
HDS in Kongorot
Zwischendurch immer wieder Röhrlinge:
06 Boletus reticulatus - der Sommersteinpilz
Hier (Hut 20cm) kam ich aber auch zu spät ...
die armen Tiere müssen ja völlig verhungert sein
07 Leccinum pseudoscabrum - der Hainbuchenrauhfuss
Dann noch ein Bergsteigerpilz ...
Der stand da wirklich! Leider habe ich ihn nicht ganz mit Stielbasis herausbekommen.
Vielleicht 08 Xerocomellus pruinatus??? mit den dunklen Hutfarben, dem goldgelben Fleisch und ohne blauen im Schnitt. Vielleicht aber trotzdem auch chrysenteron.
09 eindeutig X. chrysenteron
Dann wies mir dieses Licht...
... den Weg zu einem Baumstamm ...
... hier gabs 10 Crepidotus applanatus
Sporen: 6,2-6,7 µm (av. 6,5 µm, SD 0,16 µm) x 6,4-6,8 µm (av. 6,6 µm, SD 0,13 µm); Q = 0,9-1 (av. 1, SD 0,03) (n = 7)
Dann gabs noch etwas löwengelbes ... 11 Ceriophorus leptocephalus - der löwengelbe Porling
Dann noch was sehr sehr Winziges (12) in einem Bachlauf ...
an über den Bach ragenden Würzelchen (Hasel? Buche?). Mehrere Funde, aber noch nicht identifiziert. Hüte nur 3mm groß, daher auch schwer zu fotografieren. Da fehlt mir noch die Idee, muss ich noch mikroskopieren:
LG Sebastian
