Hallo liebes Forum!
Zusammen mit Goldröhrling konnten wir heute diese Galerina an lebendem Sambucus nigra finden. Ich lande beim Schlüsseln bei Galerina similis. Eventuell kann mir dass hier jemand bestätigen.
Makroskopie:
Hut: durchscheinend gerieft, kahl, Lamellen auffallend entferntstehend, Orange
Stiel: Orange, verbogen, mit unter der Stereolupe auf der gesamten Stieloberfläche sichtbaren Kaulozystiden
Geruch/ Geschmack: fehlend/nicht getestet
Mikroskopie:
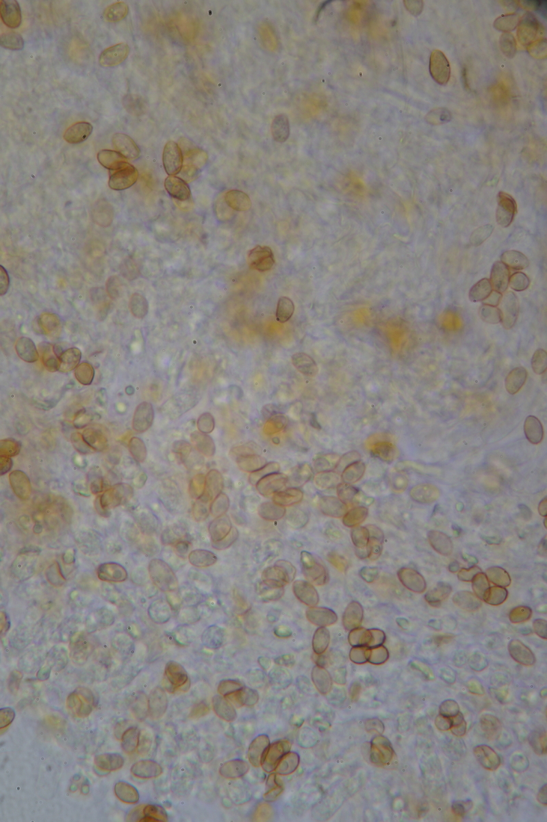
Sporen:
(8.3) 8.7 - 10 (10.2) × (5.5) 5.6 - 6.4 (6.6) µm
Q = (1.4) 1.5 - 1.6 (1.8) ; N = 13
Me = 9.4 × 6 µm ; Qe = 1.6
Ellipsoid-Ovoid bis subamygdaloid, dünnwandig, Glatt wirkend schwach rau, ohne Plage. Einige Sporen kollabierten in KOH, aber nicht viele. Blassocker in KOH.
Cheilozystiden: Tibiiform, schwach Kopfig.
Pleurozystiden: keine beobachtet.
Kaulozystiden wie Cheilozystiden
HDS mit inkrustiertem Pigment.
Sporen
Sporen in KOH
Cheilozystiden
HDS
Kaulozystiden
