Hallo zusammen,
gestern war ich eine Runde in der Ohligser Heide in Solingen unterwegs. Abgesehen von einer Zeugin Jehovas, die mit mir über Gott sprechen wollte, gab es dort zum Glück auch jede Menge interessante Pilze.
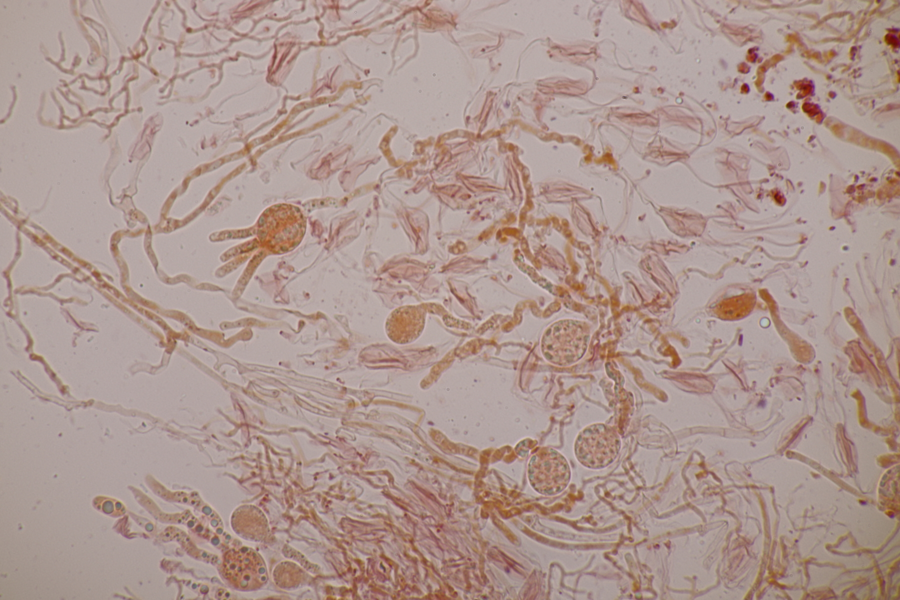
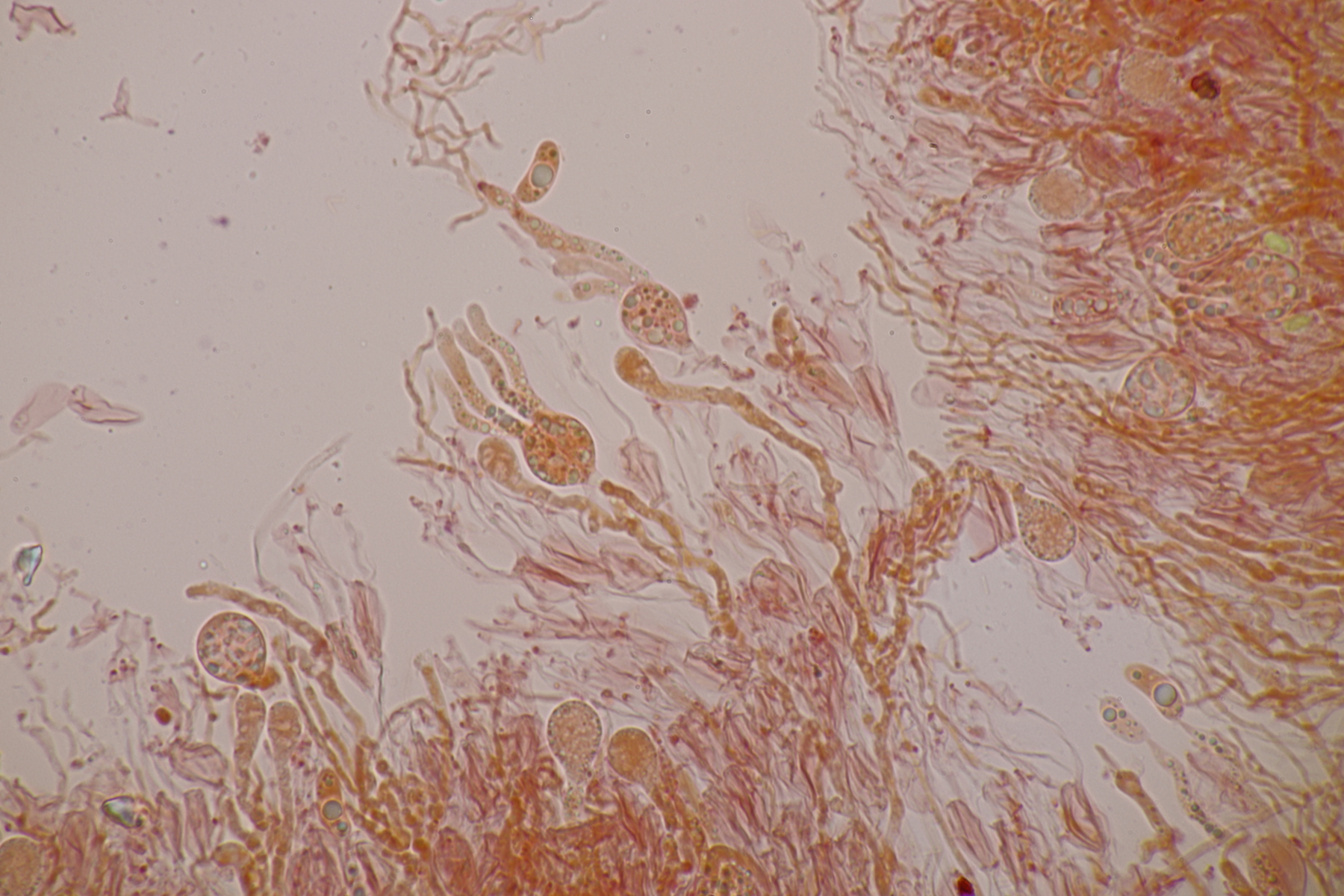
1. Myxarium nucleatum agg. Ich habe 71 Sporen gemessen und komme dann auf 12.1+-0.8 x 5.1+-0.3, Q=2.4+-0.2, 10.3-14.1 x 4.5-6.1, Q=2.0-3.1, was laut Spirin zu Myxarium hyalinum führt. Hat jemand Funderfahrung mit dieser Gruppe und kann da mehr zu sagen?
2. Am gleichen Ast wie oben saß auch noch Exidia nigrescens
3. An Pinus sylvestris gab es dann Therrya fuckelii. Mal schauen, ob die Fruchtkörper hier zu Hause noch schöner nachreifen
4. Exidia pithya
5. Anthrodia xantha
6. Das würde ich Diatrype bullata nennen. Mich irritiert nur das Substrat. Ich hätte hier eher zu Roteiche statt Weide tendiert. Die Knospen auf dem 2. Bild gehören zum Holz
7. Diplodia sapinea im weiteren Sinne.
8. Nemania serpens
9. Anthostomella rubicola ex Rubus fruticosus agg.
Björn

 
		 
		
		
	 
									
		