Hallo zusammen
Ich war diese Woche mal wieder in "meinem" Naturschutzgebiet unterwegs, wo ich zum Glück inzwischen eine offizielle Bewilligung für die Pilzkartierung habe.
Normalerweise gleicht der Wald im Sommer einer Wüste, aber dieses Jahr ist alles anders. Der viele Regen hat auch sein Gutes.
Die Funde verteilen sich auf zwei Habitate:
a) Kiefernwald mit eingestreuten Fichten, Birken und Flaumeichen
b) Bruchwälder mit Kiefern, Flaumeichen, Birken und Erlen
Echte Raritäten gab es nicht, aber immerhin:
1. Helvella crispa
Die ist eigentlich etwas früh dran, aber da will ich mal nicht so sein.
[trennlinie][/trennlinie]
2. Hydnellum peckii
Ein wunderschönes Exemplar, welches ich natürlich stehen liess. Daneben gab es noch einen kleinen, weniger spektakulären Fruchtkörper.
Da kurz reingebissen und schnell ausgespuckt, so scharf war der.
[trennlinie][/trennlinie]
3. Lactarius pubescens citriolens
Der kam hier in grossen Massen. Ich folgte der Spur eines vermutlichen Speisepilz-Sammels, der die offenbar fleissig geerntet hat.
Überall lagen zerschnetzelte Reste herum. Naja, guten Appetit.
[trennlinie][/trennlinie]
4. Mycena haematopus
Die waren zu alt um noch Saft zu zeigen. Aber mikroskopisch kommt eigentlich nicht viel anderes in Frage.
Sporen in Melzer
Cheilozystiden
[trennlinie][/trennlinie]
5. Paxillus adelphus
Den habe ich letztes Jahr schon ganz in der Nähe gefunden. Typisch ist wohl diese felderig aufbrechende Hutoberfläche, und die recht grossen Fruchtkörper mit kurzem, dünnem Stiel.
Habitat b (vor allem Erlen in der Nähe).
Sporen in Wasser
Cheilozystiden
[trennlinie][/trennlinie]
6. Phaeoclavulina abietina
Sporen deutlich warzig und ziemlich klein, 6-7 µm lang
[trennlinie][/trennlinie]
7. Polyporus varius
Noch recht jung. Beim anderen Fruchtkörper ist der Stiel bis zur Hälfte schwarz.
[trennlinie][/trennlinie]
8. Pseudosperma rimosum
Rechts daneben das dürften junge Teuerlinge sein, denen habe ich mich aber nicht gewidmet.
Sporen recht gross und lang
Cheilozystiden zylindrisch bis keulig
[trennlinie][/trennlinie]
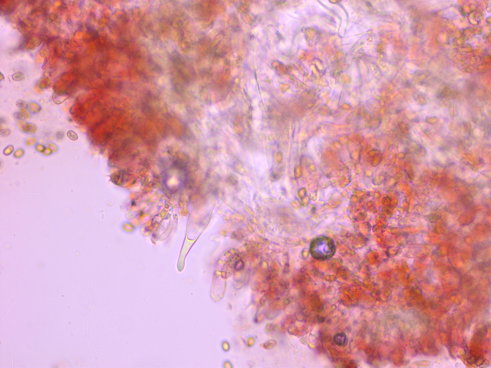
9. Russula sanguinea
Der stand da massenhaft rum.
Hier meinte ich zuerst aufgrund der Hutfarbe es sei etwas anderes, habs mir inzwischen aber anders überlegt.
Falls ich mich irre bitte intervenieren. Weitere Angaben:
- Spp IIIa
- Geschmack scharf
- Geruch etwas fruchtig
- Makrochemische Reaktionen nicht auffällig
- Bei Kiefern
Sporen
Dermatozystiden
[trennlinie][/trennlinie]
10. Singerocybe phaeophthalma
Auch ein Massen-Pilz, der anhand der HDS-Struktur rasch enttarnt war.
Den üblen Geruch gab es nur bei einem einzigen Exemplar, deshalb war ich mir im Wald noch unsicher.
HDS
[trennlinie][/trennlinie]
11. Tricholoma inocybeoides
Danke noch an Pablo für die Bestätigung ![]()
[trennlinie][/trennlinie]
Dann noch zwei, wo mir vielleicht jemand hier helfen kann:
12. Bestimmling 1 Singerocybe cf. viscida: Singerocybe phaeophthalma
Ein kleiner Hellsporer, zu dem mir nichts einfallen will.
Standort: Terrestrisch im Bruchwald bei Erlen und Kiefern. Geruch etwas süsslich.
Sporenabdruck ist mir nicht geglückt, im Lamellenpräparat konnte ich aber einige Sporen finden.
Basidien mit auffallend langen Sterigmen. Kleine, keulige Marginalzellen sind auch vorhanden (oder sind es doch Basidiolen?)
Die Basidien sind gemischt 1-, 2- und 4-sporig.
HDS eine Kutis, mit Schnallen.
[trennlinie][/trennlinie]
13. Bestimmling 2 Marasmius wynneae:
Diese kleinen, rüblingsartigen Pilzchen wüchsen terrestrisch bei Fichten. Kiefern waren auch in der Nähe.
Im Moment bin ich mir nicht einmal bei der Gattung sicher.
Sporen in Kongorot, inamyloid
Markante Cheilozystiden fehlen, aber es gab diese Marginalzellen, ich denke nicht dass das Basidiolen sind.
HDS - nach erneuter Kontrolle hymeniform
Kopfige Kaulozystiden
Gruss Raphael
