Deconica und Octospora?

Es gibt 11 Antworten in diesem Thema, welches 3.628 mal aufgerufen wurde. Der letzte Beitrag () ist von Schupfnudel.

  • Hi.


    Die hier fand ich heute bei den Erbsenstreulingen auf sandig-kiesigem Boden bei Pappeln und Birken auf einem Moospolster ohne Dung.

    Ich denke es ist eine Deconica, bin mir aber nicht ganz sicher.


    Sie sind ziemlich winzig (Hut unter 1cm) und leider auch schon etwas angetrocknet so dass die vermutlich keinen Sporenabwurf mehr hergeben.




    Könnte das hinkommen?


    Und diese winzigen roten Pünktchen standen im Moos bei Eiche/Pappel/Birke. Da bin ich jetzt bei Octospora gelandet aber damit habe ich mich noch gar nicht beschäftigt, vermutlich gibt's da noch andere Gattungen?





    Danke!


    LG.

    Posts sind nicht als Essensfreigabe zu verstehen. :-]
    93 Chibs - APR-Gebühr 2024 = 83 Chibs

  • Hallo,


    Deconica auf jeden Fall, D. montana wäre mein heißer Tipp.


    beste Grüße,

    Andreas

  • Hi und Danke euch beiden.

    Servus,

    such mal die Becherchen bei Pulvinula


    Grüße

    Felli

    Ich hatte bisher noch keinen Asco unter dem Mikro und auch nicht viel Literatur also Verzeihung für die Ahnungslosigkeit. Ich habe jetzt hiermit verglichen - Pulvinula constellatio


    400x


    Asci


    Die Paraphysen sind an ihrem Ende auch so verbogen wie in dem Link. Reicht das um die Gattung/Art zu bestätigen? Ich habe leider noch kein Baumwollblau falls das gebraucht würde.



    Kann ich dafür diesen Schlüssel nehmen? Problem ist, dass ich vermutlich keinen Sporenabwurf bekomme und bei Punkt 6 über die Sporengröße geschlüsselt wird. Das Mikrometer ist die Tage gekommen, aber das müsste ich im Programm auch erst noch einrichten.


    LG.

    Posts sind nicht als Essensfreigabe zu verstehen. :-]
    93 Chibs - APR-Gebühr 2024 = 83 Chibs

  • Hi.

    Danke!


    Hallo,


    der Schlüssel aus der ÖZP ist bestens geeignet.

    So, ich habe jetzt mühsam meine ersten Sporen vermessen. Die Sporen die ich gemessen habe (waren nicht so viele, weil mit dem Bresser Programm und der Kamera mit dem Mini-Sensor ziemlich nervig) sind alle unter 9µm lang, allerdings weiß ich nicht ob die ausgereift waren, weil von den Lamellen und nicht vom Sporenabwurf gemessen.






    Laut dem Schlüssel wäre ich dann bei Punkt 8. Allerdings werden dann nachfolgend diverse Merkmale gefragt, die ich nicht mehr nachvollziehen kann, weil die Mini-Pilze weggetrocknet sind. Daher bleibt's hier wohl leider bei Deconica spec.


    LG.

    Posts sind nicht als Essensfreigabe zu verstehen. :-]
    93 Chibs - APR-Gebühr 2024 = 83 Chibs

  • Hallo Schupfi,


    also bissel weiter kommen wir schon noch .....


    Gehen wir mal den Schlüssel durch:

    1* -> 4 weil Stiel normal

    4 -> 5 weil auf Boden und nicht auf Dung

    5* -> 8 weil Sporen im Mittel < 9 µm

    8* -> 13 weil Sporen dickwandig und graubraun im Mikroskop (Braunsporer sind im Mikroskop gelbbraun, etwa die Farbe von Melzers Reagenz, während Dunkelsporer im Mikroskop graubraun, violettbraun oder noch dunkler sind)


    Ab hier wird es etwas unsicher, und wir müssen beide Schlüsselwege gehen:


    13 -> 14 wenn fast alle Sporen deutlich rhombisch (so wie die oberste Spore auf deinem Sporenbild)

    13* -> 17 wenn max. die Hälfte der Sporen rhombisch sind


    Dass Du rhombische Sporen hast kann man erstens gut an deinem Präparat sehen bei den Sporen die "auf dem Bauch" liegen während die seitlich liegenden Sporen elliptisch bis leicht mandelförmig sind (links unten z.B.). Und zweitens sieht man das an diesen unterschiedlichen Breitenwerten die Du gemessen hast, je nachdem ob die Sporen auf der Seite lag (schmal, ca. 4,16-4,78 µm) oder auf dem Bauch (breit, ca. 5,13-5,32 µm).


    Wenn wir also annehmen, dass fast alle Sporen rhombisch wären, dann würde es mit Punkt 14 weitergehen:

    14 -> 15 weil Huthaut nicht flockig oder faserig. Ob sie wirklich abziehbar ist kann man nicht sehen, sie wirkt aber so. Zumindest ist sie nicht flockig bis faserig und diese Alternative würde auch zu nichts vernünftigem führen.

    15 -> Deconica phyllogena, weil kein üppiges Velum zu erkennen ist, auch nicht bei den jüngeren Exemplaren


    Würden wir aber annehmen, dass nur ein Teil der Sporen rhomisch ist, dann würde es mit Punkt 17 weitergehen:

    17* -> 18 weil der Keimporus deutlich zu erkennen ist (die helle Stelle am Sporenende gegenüber dem Apikulus, praktisch ein Loch in der Sporenwand)

    18 -> Deconica xeroderma, weil die von Dir gemessenen Sporen eher 7 x 5 x 4,5 µm entsprechen als 7,5-9 µm Länge


    Wenn wir also alle Merkmal richtig ermittelt und auch richtig interpretiert haben, und auch der Schlüssel passt, dann müssen wir uns jetzt nur noch zwischen D. phyllogena und D. xeroderma entscheiden ....

    Wenn man sich also die Beschreibungen dieser beiden Arten durchliest, dann kann man folgende Minuspunkte für die jeweilige Art rauslesen:

    D. phyllogena: kommt vor allem auf Buchenholz und -laub vor, Velum vorhanden ("ähnelt crobula" -> eine Art mit Velum)

    D. xeroderma: kommt wohl nur hochmontan-alpin vor, Velum vorhanden


    Mein Favorit makroskopisch wäre ja Deconica montana gewesen. Dafür sprechen Standort (Pioniermoose), fehlendes Velum, eher rundlicher Hut ohne Buckel.


    Was hast Du nun aber wirklich?


    Deconica phyllogena fällt meines Erachtens weg, weil Standort und Velumverhältnisse so gar nicht passen.


    Bleibt also über, dass Du entweder Deconica xeroderma an einem untypisch tief gelegenen Standort gefunden hast, oder dass Du Deconica montana gefunden und die Sporen zu klein gemessen hast, denn die sollten dann 7-9 x 5-6 x 4,5-5,5 µm sein. Letzteres läge eventuell an einer fehlerhaften Kalibrierung.

    Deine Maßangaben 6,5-7,7 x 5,1-5,3 x 4,2-4,8 µm läge aber sogar noch ganz knapp in einem Bereich, wo man mit etwas gutem Willen und dem Gedanken an nicht ganz ausgereifte Sporen noch sagen könnte "passt grad so" für D. montana. Für D. xeroderma wären sie in den Höchstmaßen zu groß, für D. montana in den Kleinstmaßen zu klein. Meist misst man vor allem als Ungeübter aber eher zu klein (wegen unreifen Sporen) als zu groß.


    Bleibt für mich mein Fazit: Ich denke es ist Deconica montana.


    Hätte man die Pilze noch könnte man sich noch die Cheilozystiden anschauen, die sind auch ein wenig unterschiedlich zwischen diesen Arten.


    beste Grüße,

    Andreas

  • Hi Andreas.


    Herzlichen Dank für die ausführliche Antwort. Als Mikroskopie-Einsteiger ist es nicht so einfach zu beurteilen was relevant und wie zu beurteilen ist.


    8* -> 13 weil Sporen dickwandig und graubraun im Mikroskop (Braunsporer sind im Mikroskop gelbbraun, etwa die Farbe von Melzers Reagenz, während Dunkelsporer im Mikroskop graubraun, violettbraun oder noch dunkler sind)

    Das ist ein Super-Tipp mit den Farben! Da muss ich mal drauf achten. Ich war mir nicht sicher ob des Unterschieds zwischen "dünn- oder schwach dickwandig" und "dickwandig" aber dann gelten die demnach als dickwandig.

    13 -> 14 wenn fast alle Sporen deutlich rhombisch (so wie die oberste Spore auf deinem Sporenbild)

    13* -> 17 wenn max. die Hälfte der Sporen rhombisch sind

    Fast alle waren nicht rhombisch also hätte ich hier auch auf 17 geschlüsselt (da wäre D. phyllogena auch rausgeflogen) und wäre wegen dem gut sichtbaren Keimporus auf 18 weitergezogen.


    Bleibt also über, dass Du entweder Deconica xeroderma an einem untypisch tief gelegenen Standort gefunden hast, oder dass Du Deconica montana gefunden und die Sporen zu klein gemessen hast, denn die sollten dann 7-9 x 5-6 x 4,5-5,5 µm sein. Letzteres läge eventuell an einer fehlerhaften Kalibrierung.

    Deine Maßangaben 6,5-7,7 x 5,1-5,3 x 4,2-4,8 µm läge aber sogar noch ganz knapp in einem Bereich, wo man mit etwas gutem Willen und dem Gedanken an nicht ganz ausgereifte Sporen noch sagen könnte "passt grad so" für D. montana.

    Blöde Frage hier vermutlich.

    Bei den Maßangaben meiner Messung steht "6,5-7,7" für die Minimal und Maximalwerte der Länge.

    "4,2-4,8" für die Minimal- und Maximalwerte der Breite.

    Welche Werte nehme ich für den mittleren Teil, also die "5,1-5,3"?


    Im Pareys stehen bei den Sporenmaßen immer nur die Maße: Länge x Breite.

    Auch in Erb&Matheis ist da nur ein x dazwischen aber mit "Ausreißern" in Klammern.

    Auf meine Werte oben hätte ich demnach nach der Erb&Matheis Schreibweise inklusive Mittelwert die Angaben geschrieben (mal davon abgesehen, dass zu wenige Sporen gemessen wurden):

    (6,5) 6,7-7-7,1 (7,7) x (4,2) 4,5-4,8-5,1 (5,3)


    Die Mittelwerte habe ich jetzt aus allen Messungen inklusive der Ausreißer in Klammern berechnet oder werden die Extremwerte da nicht einbezogen?

    Aber die sind auch anders als die Werte in der Mitte oben.

    Also kurz gefragt - woher kommen die mittleren Werte hier, bzw. welche wähle ich da aus:

    6,5-7,7 x 5,1-5,3 x 4,2-4,8 µm



    Zwecks einer eventuellen fehlerhaften Kalibrierung hatte ich nebenan zwei Bilder eingestellt, wie ich da vorgegangen bin - hier mal als Beispiel für die 4x und 100x

    Gemessen habe ich nur Sporen wo ich den Keimporus sehen konnte und auch das Ende der Spore in der Schärfe-Ebene lag.


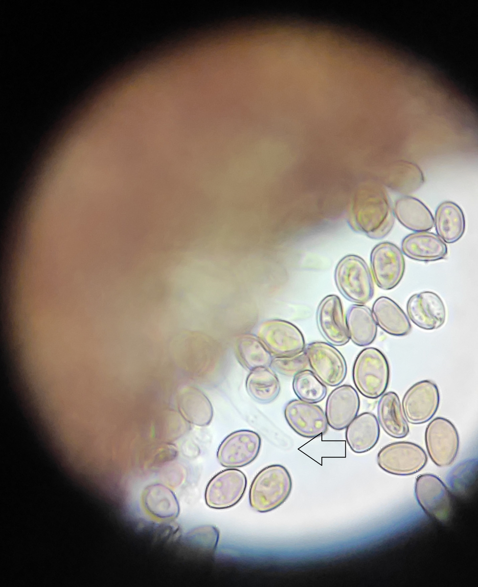
    An Hand des Bildes oben hätte ich wohl die 3 hier markierten Sporen gemessen, weil sie frei liegen und scharf sind:



    Die rhombische oben habe ich nicht genommen, weil sie auf einer anderen Spore aufliegt oder ist das unproblematisch solange sie komplett in der Schärfeebene liegt?


    Ein winziges Stückchen Pilz habe ich noch im Kühlschrank, ich gucke mal ob ich da noch Cheilos finden kann.


    LG,

    Schupfi

    Posts sind nicht als Essensfreigabe zu verstehen. :-]
    93 Chibs - APR-Gebühr 2024 = 83 Chibs

  • Hallo Schupfi,


    in den wenigen Ausnahmefällen, dass bei Sporen die Breite in Draufsicht ("Bauchlage", Apikulus mittig) und in seitlicher Ansicht ("Seitenlage", Apikulus seitlich) deutlich voneinander Abweichen, gibt man ausnahmsweise drei Wertebereiche an: Länge x Breite Frontansicht x Breite Seitenansicht. Das kommt vor bei Psilocybe, Panaeolus und Coprinus s.l. - ansonsten eigentlich kaum (mir fällt jedenfalls nix anderes ein).


    Die obere rhombische hätte ich auf jeden Fall auch gemessen, weil sie im Umriss scharf ist und somit flach liegt. Ob da andere Sporen drunter oder drüber liegen ist egal, solange du sehen kannst wo Länge bzw. Breite zu messen ist und die Sporen rundherum scharf ist.


    Über die Art und Weise, wie man korrekt, noch korrekter und höchstkorrekt seine Sporenmessungen darstellt, gibt es Diskussionen wie Sand am Meer. Teils sehr erbittert ausgetragen. Nicht umsonst gehört bei einer Publikation in den Methoden-Abschntt rein, nach welchen Maßgaben die Sporenmessungen dargestellt sind. Häufig wird das (statistisch errechnete) 95%-Konfidenzintervall angegeben, zusätzlich noch geklammerte Ausreißer. Die Mittelwerte werden häufig separat angegeben und ebenso gemittelt wenn man viele Kollektionen vermessen hat. Wenn es nur eine Kollektion oder nur wenige sind die man dann zusammenfasst, dann schreibe ich den Mittelwert (oder den gemittelten Mittelwert) immer zwischen Min. und Max. des 95% Konf.-Intervalls und unterstreiche oder fettdrucke es.

    Also z.B. (7,2-)7,5-8,3-9 x 3,5-4,2-5(-5,5) µm (60/3/2) - wobei "(60/3/2)" bedeutet 60 Sporen aus 3 Fruchtkörpern aus 2 getrennten Aufsammlungen.


    beste Grüße,

    Andreas

  • Hallo Schupfi,

    Stelle Dir eine Linse vor, die auf der breiten Seite liegt. Damit ist es problemlos möglich, Länge und Breite zu messen (Frontalansicht). Das dritte Maß wäre dann praktisch die Dicke oder Seitenansicht. Bei Tintlingen gibt es häufiger Arten mit linsenförmigen Sporen vor und man findet z. B. beim Scheibchentintling dann Maße wie
    8,1-11,5 µm x 7,1-10,5 µm x 5,3 - 7,0 µm. Hier ist der Unterschied vom zweiten und dritten Maß natürlich gewaltig.

    Sind die Sporen nur etwas abgeflacht findet man Maße wie von Andreas für D. montana angegeben 7-9 x 5-6 x 4,5-5,5

    LG Karl

  • Hallo!


    Merci beaucoup für die Erläuterungen auch wenn mir schon etwas der Kopf schwirrt.


    Ok, da habe ich mir direkt wieder ein Untersuchungsobjekt ausgesucht, das man ausgerechnet in 3 Dimensionen messen muss...

    Dann haut die Messung, die ich eben an dem restlichen Pilz gemacht habe vermutlich auch nicht hin, weil ich Bauchlage und Seitenlage nicht unterschieden habe. Ich hatte nur die Länge gemessen, da das Programm sonst gerne abgestürzt ist...

    Das hier kam raus:

    L = (6,4)6,7-7,1-7,6(7,8) µm (24)


    Also so:


    Einen Apikulus sehe ich da nur bei den beiden gelb markierten, die wären dann in der Seitenlage? Im Mikroskop sehe ich die Apikuli aber besser...

    Bei denen, die ich gemessen habe, sehe ich glaube ich nur den Keimporus an der Spitze?


    Kann ich dann sagen, dass alle Sporen wo der Apikulis an der Seite sichtbar ist in Seitenlage liegen?

    Und die wo ich keinen Apikulus sehe, dann in Bauchlage?


    Das ist vermutlich zu einfach, oder? ^^

    Ich glaube ich hole mir lieber erstmal einen zweidimensionalsporigen Pilz...


    Als Messangabe, werde ich das dann denke ich zukünftig einfach so wie bei Erb&Matheis geschrieben machen.


    Cheilozystiden habe ich gesehen, aber nicht besonders gut, weil der Pilz voller Sporen ist. Die kriege ich nicht ordentlich scharfgestellt geschweige denn abgelichtet, das bringt vermutlich nicht viel:


    Ich muss aber auch zugeben, dass ich bei den Abbildungen der Cheilos von D. xeroderma und D. montana bei Nordeloos kaum einen Unterschied sehe. :(


    Uff.


    LG,

    Schupfi

    Posts sind nicht als Essensfreigabe zu verstehen. :-]
    93 Chibs - APR-Gebühr 2024 = 83 Chibs