Hallo zusammen,
bei der Tour ins Depot am 27.3.2021 habe ich auch eine Portion Dammwildlosung eingepackt und in Kultur genommen. So langsam zeigen sich dort auch die ersten kleinen Pilze.
1. Pilobolus roridus. Sporen messen (5.9-7.7) µm x (3.5-4.6) µm, Q=1.5-1.7
2. Ascobolus albidus
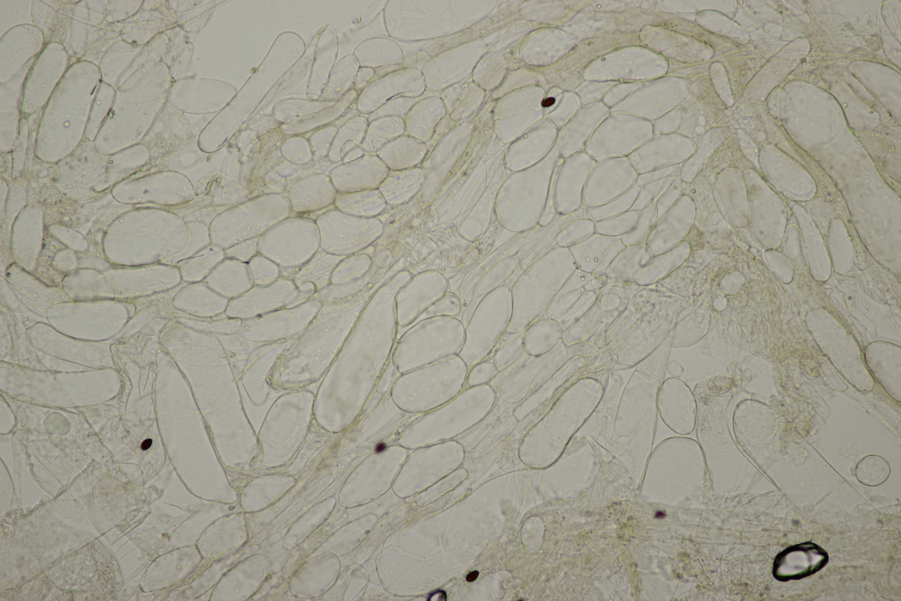
3. Eine Sordaria mit Sporen von (16.0-18.9) µm x (8.6-10.6) µm, Q=1.6-2.0, (17.0+-0.7) µm x (9.6+-0.5) µm, Q=1.8+-0.1, die ich dann gerne S. fimicola taufen würde.
Björn
