Fibrodontia gossypina?

Es gibt 7 Antworten in diesem Thema, welches 3.921 mal aufgerufen wurde. Der letzte Beitrag () ist von romana.

  • Hallo,

    heute fand ich im Wiener Prater diesen hübschen Rindenpilz, den ich für Fibrodontia gossypina halte. Ich habe einen sehr ähnlichen Pilz schon mal an Pablo gesendet und er hat ihn damals (September 2019) als Fibrodontia gossypina bestimmt. Was meint ihr, könnte das hinkommen?

    Die Sporen messen ungefähr 4 x 2,5, sind also sehr klein. Die KOH-Reaktion (3%) fiel allerdings nicht so deutlich ocker aus. Kann es sein, dass sie am Frischpilz schwächer ist?

    LG

    romana















    103-15 APR2017+17(3.Platz)+2(Wette)=107-1(OBR)-15 APR2018=91+13(3.Platz)+8(Wetten)=112-2+7(Wette)=117-15 APR2019=102+8(8.Platz)=110-15 APR2020=95+12(3.Platz)+27(Wetten)=134-15 APR2021=119+10(4.Platz)+12(Wetten)=141-15+16 APR2022=142-15(APR2023)=127+18=145-15(APR24)=130

    • Offizieller Beitrag

    Hallo, Romana!


    Die Reaktion mit KOH (besser mal mit 5% oder 10% probieren?) sollte auch bei Frischmaterial deutlich positiv (orange) ausfallen.

    Möglicherweise noch was anderes, zB Xylodon? Wobei das auf den letzten Bildern schon aussieht wie echte Skeletthyphen, es gibt aber durchaus auch einige dimitische Schizoporaceae, und die sind teils höllisch in der Bestimmung, weil oft reichlich nervig zu mikroskopieren.



    LG; Pablo.

  • Hallo Frank,

    kann es sein, dass man das auf dem vorletzten Bild erahnen kann? Ich werde jedenfalls nochmals nachsehen.

    Danke euch beiden!

    LG

    Romana

    103-15 APR2017+17(3.Platz)+2(Wette)=107-1(OBR)-15 APR2018=91+13(3.Platz)+8(Wetten)=112-2+7(Wette)=117-15 APR2019=102+8(8.Platz)=110-15 APR2020=95+12(3.Platz)+27(Wetten)=134-15 APR2021=119+10(4.Platz)+12(Wetten)=141-15+16 APR2022=142-15(APR2023)=127+18=145-15(APR24)=130

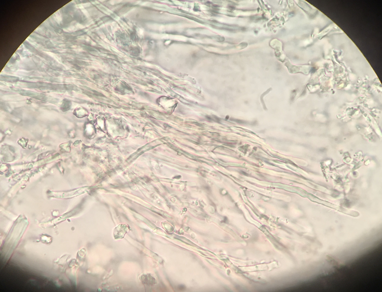
  • Hallo Frank,

    ich hab jetzt nochmal versucht, diese Strukturen zu fotografieren. Sieht man das jetzt besser?

    LG

    romana





  • Hallo Romana,


    man sieht zumindest die gebündelten, dickwandigen Hyphen in den Aculei gut, was auch für diese Art spricht. Ich glaube du kannst den Fund erstmal unter Fibrodontia gossypina (Faseriger Zähnchenrindenpilz, für die, die unbedingt einen deutschen Namen brauchen) ablegen.


    LG und einen schönen 1. Advent

    Frank

  • Hallo Frank,

    danke für deine Hilfe!

    Dir auch einen schönen ersten Advent und liebe Grüße!

    romana

    103-15 APR2017+17(3.Platz)+2(Wette)=107-1(OBR)-15 APR2018=91+13(3.Platz)+8(Wetten)=112-2+7(Wette)=117-15 APR2019=102+8(8.Platz)=110-15 APR2020=95+12(3.Platz)+27(Wetten)=134-15 APR2021=119+10(4.Platz)+12(Wetten)=141-15+16 APR2022=142-15(APR2023)=127+18=145-15(APR24)=130