Hallo zusammen,
hänge gerade mal wieder an einer Inocybe, die ich initial für sindonia hielt, weil sie mich an einen bestimmten Fund von neulich erinnerte. Wuchs in großen Mengen bei Tannen. Vereinzelt eingestreut fanden sich da immer wieder kleine, ganz junge Buchen (Wegrand).
Was auffällt ist eine Verfärbung des Spiels bei Berührung, welche ins rosaliche bis orange-rötliche reicht. Solche Färbungen zeigen sich auch am alternden Hutrand, weniger auf dem Hut. Eine Färbung auf dem Hut lässt sich durch Verletzung aber auch nicht provozieren (was ich nach allem was ich gelesen habe nun bei whitei aber erwarten würde).
Was für whitei und gegen sindonia spricht sind die zahlreichen dickbauchigen (Teil bis 23ym breiten) Cheilos. Die Pleurozystiden kommen dann wieder schlanker daher, wie es für sindonia passen könnte. KOH-Reaktion der Cheilos ist aber deutlich gelb (und nicht nur blassgelb).
Kaulos sind teils sehr lang bis 110ym und kristallbeschopft. Maximal bis zur Hälfte des Stiels, hauptsächlich oberes Drittel.
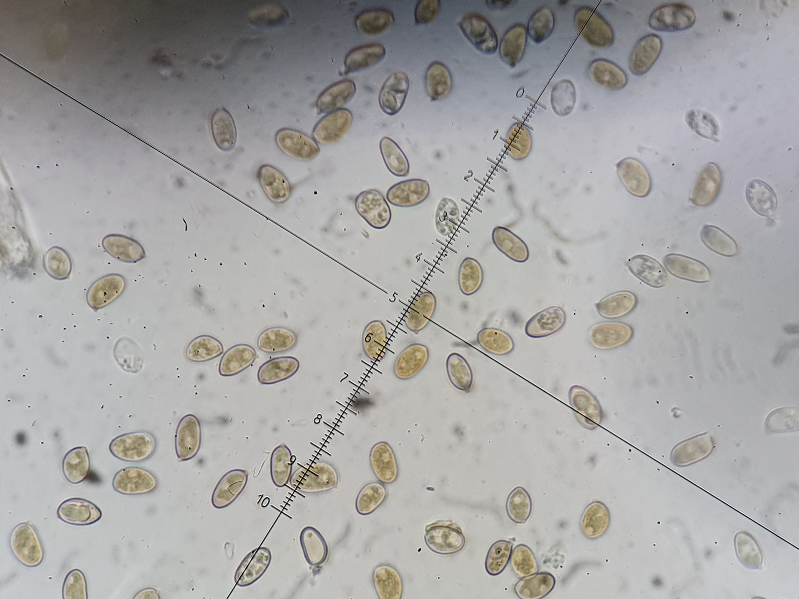
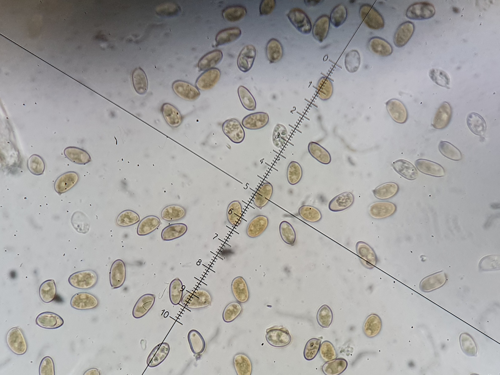
Sporen passen mit 9x5 und apikal gerundet auch eher zu whitei.
Was meint ihr dazu, kann das passen?
LG Sebastian
KOH 1000fach
Pleuros
Kaulos
Sporen
