Rotbachtal 13.09.2020

Es gibt 1 Antwort in diesem Thema, welches 4.161 mal aufgerufen wurde. Der letzte Beitrag () ist von Tomentella.

  • Hallo zusammen,


    am Sonntag war ich auf einer Tour im Rotbachtal an der Stadtgrenze Oberhausen/Bottrop unterwegs. So langsam nimmt auch dort das Pilzwachstum trotz ausbleibendem Regen fahrt auf.


    1. Moesziomyces bullatus ex Echinochloa crus-galli


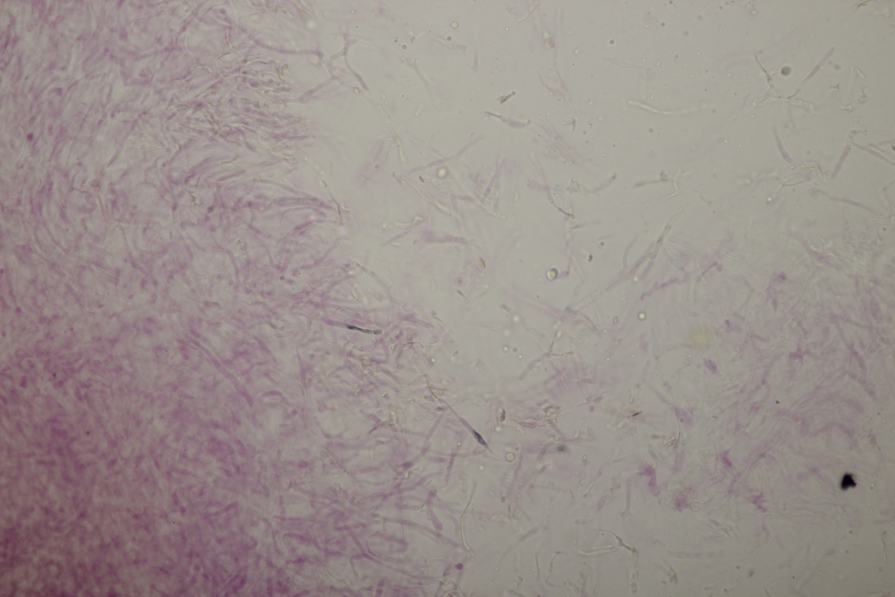
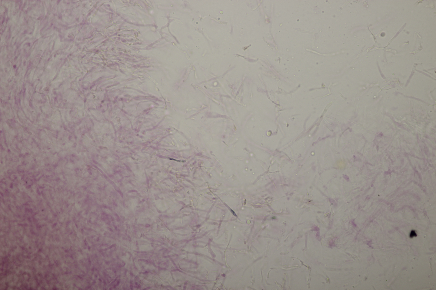
    2. Vor Ort dachte ich: Oh ein blauer Pilz, das muß ein Amaurodon sein. Das hat sich dann aber mikroskopisch nicht bestätigt. Die wenigen Sporen, die ich finden konnte, waren in KOH braun. Leider gab es insgesamt nur sehr wenige Sporen, so daß ich mich da bei der Beurteilung schwer tue. Es scheint aber Zystiden zu geben. Diese sind aber zumindest in KOH nicht inkrustiert. Bei der Beurteilung der Form tue ich mich schwer. Einige sind eher zylindrisch, andere leicht kopfig. Also schwanke ich zwischen T. galzinii und T. viridula mit leichter Tendenz zu letzterer. Was meinst Tomentella?


    3. Amanita rubescens

    Ring

    Sporen

    Sporen in Melzer

    Lamelle

    Hutflocken


    4. Boletus edulis


    5. Amanita muscaria


    6. Wenn ich groß bin, will ich ein Steinpilz werden, dachte sich dieser Chalciporus piperatus und wuchs neben dem Zeigerpilz seines großen Bruders.


    7. Russula sp. Vor Ort hab ich den Geruch irgendwo bei Blattwanze-fruchtig eingeordnet. Begleitbäume Fagus und Quercus. Mit Guajak in 3 Sekunden dunkelblau. Mit Eisensulfat grün! Also ein Heringstäubling. Sporenpulver IIIa-b. Die Huthaut der Hutmitte ließ sich leider nur sehr bescheiden mikroskopieren, ich konnte aber keine blasig verdickten Zellen entdecken, was gegen Russula faginea spricht. Dann lande ich bei R. graveolens agg.


    8. Noch ein Täubling, wieder mit Fagus und Quercus als Begleitern, auch Carpinus ist nicht auszuschließen. Mit Guajak nach 5 Sekunden blaugrün, mit Eisensulfat zügig orange, Sporenpulver IIa. Aus dem Bauch raus hätte ich R. vesca gesagt, aber die Huthaut ist am Rand nicht zurückgezogen und das Sporenpulver etwas zu dunkel. Ich würde aber auf jeden Fall zur Untergattung Heterophyllidia tendieren


    9. Oudemansiella mucida


    10. Passend zum Seuchenjahr: Puccinia coronata ex Arrhenatherum elatius


    Björn