Komische rote Scheibchen
- Hagen Graebner
- Erledigt
Es gibt 15 Antworten in diesem Thema, welches 6.629 mal aufgerufen wurde. Der letzte Beitrag () ist von Peter. We.
-
-
Substrat?
-
Die Dinger schein reif zu werden, es erscheinen Asci mit farblosen Sporen, mehr oder weniger rund, ca. 12-15 µm Durchmesser.
-
Hi,
du schuldest Nobi immer noch eine Atnwort bezüglich des Substrates.

l.g.
Stefan
-
Nachtrag - die letzten Bilder waren in Melzer, deshalb die etwas bräunliche Farbe, Asci und Sporen nicht mit Jod anfärbbar.
-
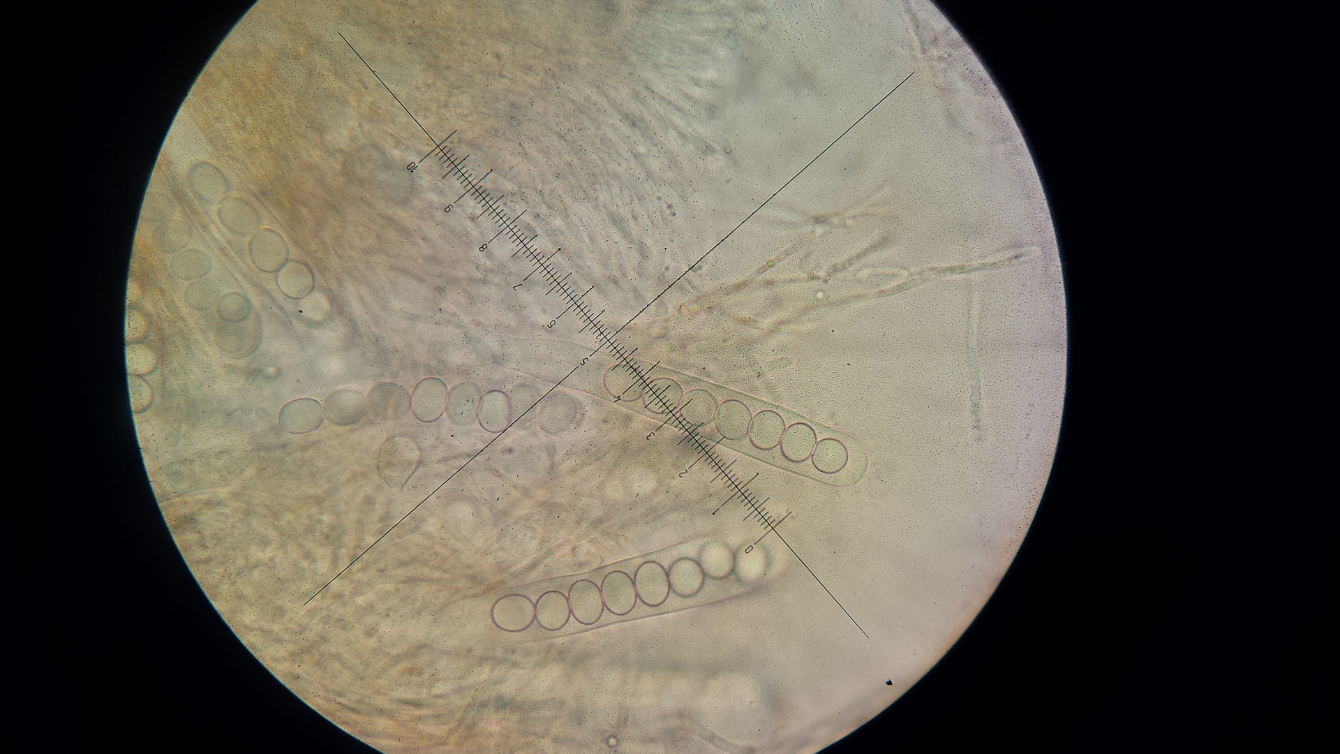
Also ich oute mich bezüglich das Substrates - es ist Giraffe, quasi am Originalstandort gesammelt. Der Pilz narrt mich hartnäckig. die Sporen sind übrigens etwas kleiner als von mir ursprünglich angegeben, nur ca. 8-10 µm und fast rund, glatt, 8 in einem Ascus wie es sich gehört :-). irgendwo im Schlüssel von Watling und von Doveri biege ich falsch ab.
-
Hallo Hagen,
sehr interessanter Fund! Bist du sicher, dass die Apothecien schon reif sind? Hast du freie Sporen sehen können? Sieht dein Fund makroskopisch immer noch so aus wie auf den ersten Bildern? Und hast du mal die Sporen in BWB angeschaut? Sind die völlig glatt?
Liebe Grüße,
Florian
-
Also ich versuch mal Florians Fragen zu beantworten: Ob die FK wirklich reif sind? ich weiß es nicht. Frei Sporen hab ich ein paar wenige gesehen, die könnten auch beim Präparieren rausgekommen sein. Asci die live Sporen abschießen im Präparat hab ich nicht gesehen. Im wesentlichen sehen die FK makroskopisch immer noch so aus, eventuell sind "reife" etwas dunkler orange und etwas aufgewölbter. In BWB kommt kein Ornament oder ähnliches raus, die Sporen sind dann immer noch glatt.
-
Sorry, Hagen, aber so richtig viel kann ich auf Deinen Bildern nicht erkennen.

Deine Beschreibung der Apothecien ist eigentlich keine, während die Mikros an Pseudombrophila bulbifera denken lassen.
Allerdings auch nicht so richtig, da die Sporen eher einen subglobosen Eindruck machen.
Gefunden in Afrika auf Giraffe?
Dann könnte es durchaus auch etwas Neues sein!
Liebe Grüße
Nobi
-
Da war ich zwischendrin auch mal. wonach müsste ich da noch mal genau schauen?
-
Danke!
Die Giraffe fand ich heute in meinem Briefkasten!

Natürlich nur einen Köttel!

Die von Dir gezeigte Art hat subglobose Sporen von 8,5-10 x 6,5-7,5 µm und uniseriate Asci von 80-90 x 12-14 µm.
Sie ist satt orange, was durch Pigmente in den Asci und im Excipulum hervorgerufen wird.
Ich möchte sie gern Coprotus luteus nennen.
Werde da aber nochmals bei den Huth-Brothers nachfragen, die die Art mehrfach in D gefunden haben.
Anbei noch ein paar Bilder. Leider hat sich inzwischen ein Hyphomycet breitgemacht!

Liebe Grüße
Nobi
-
Danke Dir, dann ging die aber lange ! Ich hatte Die mit der Post geschickt, die sollte nicht laufen nach Sachsen :-). Liest der Peter Welt hier mit? Der hatte auch so ein zweifelhaftes Westpaket

-
Ich frag mich natürlich, wo ich falsch abgebogen bin, es gab nämlich noch einen zweiten Coprotus.
-
Ich hatte Die mit der Post geschickt, die sollte nicht laufen nach Sachsen :-).
Nun, ich wohne ja etwas versteckt und nahezu mitten im Wald - vielleicht war das ein Problem für die Post?
Bei Peter war das "Westpaket" schon ein paar Tage vorher eingetroffen, wie ich erfuhr.
Liest der Peter Welt hier mit?
Gelegentlich.
Über den Coprotus hatte ich mich bereits mit ihm telefonisch ausgetauscht und da war er ebenfalls auf Coprotus luteus gekommen!
Die Sporen wirken mitunter kugelig, das liegt aber an ihrer speziellen Lage in den Asci.
Als Beifang hatte ich noch Sporormiella intermedia, Sporormiella minimoides und Lasiobolus intermedius, während Peter wohl sogar Lasiobolus microsporus entdecken konnte. Vielleicht entwickelt sich ja noch was.
Vielen Dank nochmals fürs Schicken, Nobi.
-
Oh Danke ! Auch für die anderen Arten. !
-
Ja ich lese jetzt wieder regelmäßig. Lach
