Hallo Leute,
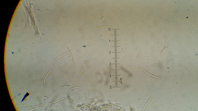
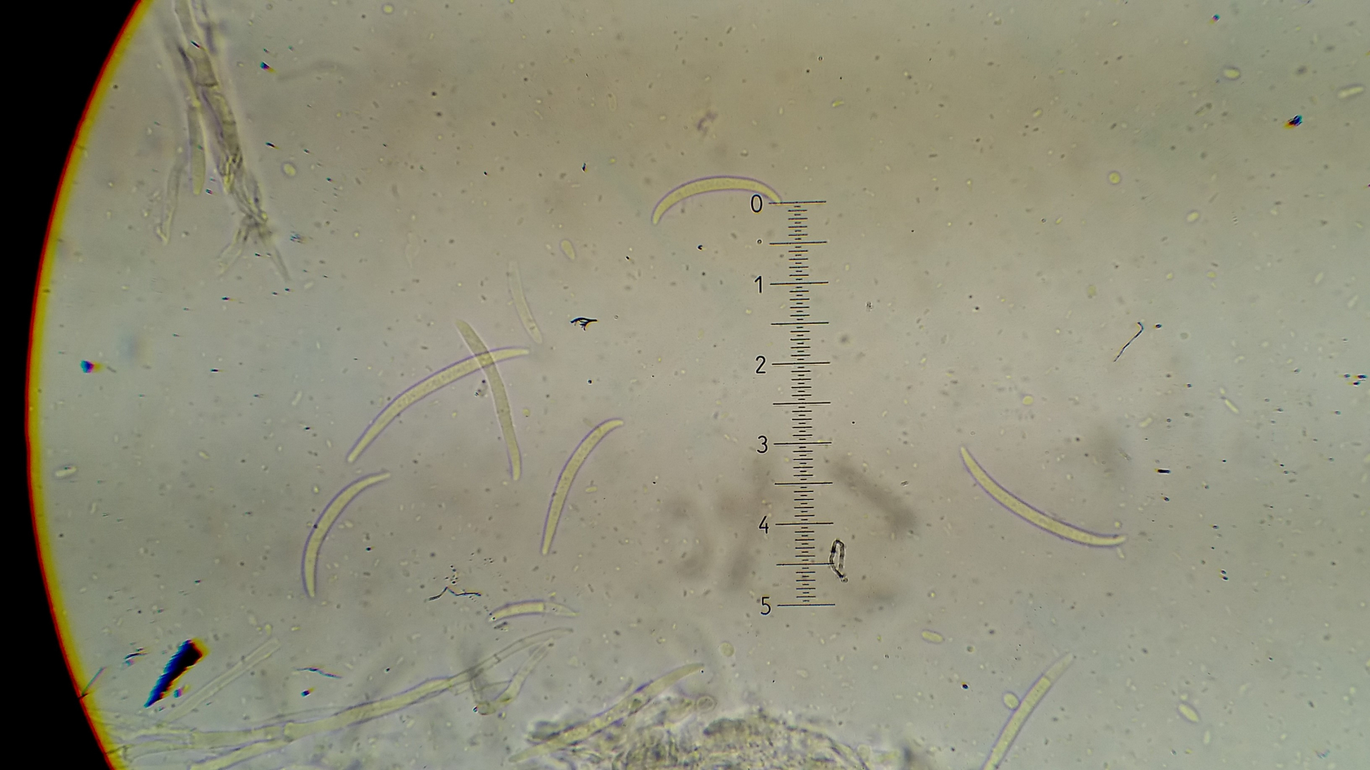
Heute bei der MAB Exkursion würden mir diese 3 Anamorphe in die Hand gedrückt, falls ihr ein Tipp habt wäre schön, leider habe ich für so was gar keine Anhaltspunkt wie oder wo ich anfangen soll.
Nummer 1
Nummer 2
Nummer 3
Danke schon mal, falls notwendig kann ich weitere Angaben noch machen, fürs erste muss ich mich um andere Funde kümmern.
