Hallo Dungpilzfreunde,
vor ein paar Tagen habe ich nochmals bei den Rinder-Fladen vorbei geschaut. Unglaublich! Die sind da jetzt schon vor ca. 3/4 Jahr (vermutlich beim Alm-Abtrieb im Okt.) fallen gelassen worden und fruktifizieren immer noch. Im Schatten von Huflattich-Blättern usw. hielt sich genug Feuchtigkeit. Neu gibt es mehrere blass ockergelbliche, sitzende Apothezien von bis zu 2,3 mm Durchmesser, die aber keine Haare haben.
pilzforum.eu/attachment/229546/
Seitliche Ansicht (unten)
Fruchtkörper hier zusammen mit Cheilymenia coprinaria (unten).
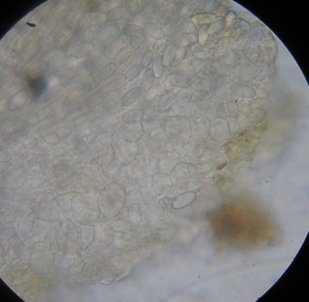
Der etwas gezahnt erscheinende Rand (oben) besteht aus kettenförmigen hyalinen Randzellen (unten).
Asci: 8sporig, 100 - 140 x 9 - 11 µm, operculat, Jod negativ.
Paraphysen: ohne erkennbaren farblichen Inhalt (allenfalls in der Masse blass gelblich?), apikal auf bis zu 5,5 µm leicht keulig verdickt, septiert.
Asci und Paraphysen in IKI (unten)
Sporen: elliptisch, hyalin, glatt und 10 - 14 x 5 - 6 µm groß. Mit Gelhülle.
Sporen in Baumwollblau
Apo-Rand und Excipulum
400fach (unten)
Ich sitze total auf dem Schlauch und finde noch nicht mal die Gattung
.
Weil sich auf den Fladen an manchen Stellen oft daneben schon kleine Moose zeigen, dachte ich sogar schon an Bryoscyphus oder Octospora. Aber da passen doch die Sporen nicht. Außerdem sind direkt daneben reichlich andere Coprophile ganz frisch da, z.B. (immer noch) Pseudombrophila equina, Cheilymenia coprinaria und Ch. stercorea, Podospora pyriformis usw.
Auch wenn ich keine so guten Fotos hin kriege, kann vielleicht jemand Licht ins Dunkel bringen?
Ratlose Grüße,
Roni
