Hallo in die Runde,
die 7 Jungrindfladen vom vergangenen Herbst "blühen" pilzmäßig immer noch. Um Frischmaterial zu holen bin ich da nochmals die knapp 1 1/2 Std. hoch gestiefelt. Es hat sich gelohnt! Neben Cheilymenia stercorea gibt es eine weitere Art, bei der es sich um
Cheilymenia coprinaria handeln dürfte, wären da nicht einzelne bis zu 1150 µm
lange Marginalhaare. Oder kann man die als "Ausreißer" vernachlässigen?
Im Schlüssel von Doveri ist eine Haarlänge von maximal 900 µm angegeben. In der
Beschreibung beträgt dann aber die Länge der Marginal-Haare nur maximal 735 µm.
Angeführt wird, dass diese apikal sowohl spitz als auch abgerundet sein
können, was zu meiner Beobachtung passt, genauso wie eine Septierung von 0 -
vielfach septiert.

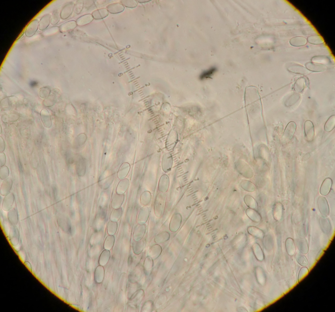
Apothezien bis 4 mm


pilzforum.eu/attachment/227168/
Marginalhaare bis 1150 x 38 µm, sowohl apikal abgerundet als
auch spitz, dickwandig bis 4 µm, meist mehrfach septiert, aber auch vollkommen
ohne Septen, wurzelnd (multifurcat). Flankenhaare kürzer.

Bei 100facher Vergrößerung fotografiert. Messskala 1 : 1


Asci ca. 190 - 230 x 14,5 - 16 µm, uniseriat, J -
Paraphysen apikal bis 8 µm verbreitert, mit orangebraunem
Inhalt (nach IKI-Zugabe graubräunlich)
Sporen: hyalin, glatt, 15,5 - 17 x 8 - 9 µm

Verglichen habe ich auch mit dem Cheilymenia coprinaria-Forum-Beitrag von Juli 2016.
Laut Schlüssel existiert auch eine Ch. magnipila mit bis zu 1300 µm langen Haaren aber etwas kleineren Sporen (13 - 16 x 7 - 8 µm). Diese wurde lt. Forschungsbericht 15 auch schon im Nationalpark Berchtesgaden von E. Ludwig gefunden und ausführlich von HOHMEYER, LUDWIG & SCHMID-HECKEL (1988) beschrieben.
Leider habe ich weder die Beschreibung noch die Moravec-Monographie.
Es wäre sehr schön, wenn mir da jemand weiterhelfen könnte.
Hoffentlich habe ich nicht zu viele Bilder eingestellt.
Herzliche Grüße,
Roni