Pluteus petasatus - Seidiger Dachpilz

Es gibt 11 Antworten in diesem Thema, welches 6.230 mal aufgerufen wurde. Der letzte Beitrag () ist von Tricholomopsis.

  • Hallo Zusammen,


    heute habe ich endlich mal wiede einen Pilz gefunden - natürlich hatte ich keinen Foto dabei. Daher nur Bilder des mitgenommenen Fundes.


    Hier die Angaben:

    Hut: um 10 cm; seidig, im der Mitte mit feinen bräunlichen Schüppchen, Hutrand: wellig, etwas überstehend

    Stiel: 7 x 1 cm, rillig, teils bräunlich faserig

    Lamellen: frei, eng, untermischt, mit rosa Ton; Schneiden: glatt

    Fleisch: weiß, dicklich

    Geruch: angenehm würzig

    Fundort: Parkanlage, gesellig auf gemähter Wiese - kein Holz sichtbar

    SPP: rosa

    Sporen: breit oval, glatt; 6.5 × 4.4 µm ; Q = 1.5; (6.1) 6.2 - 6.8 (6.9) × (3.9) 4.0 - 4.7 (4.9) µm; Q = (1.3) 1.4 - 1.6 (1.7) ; N = 25

    Basidien: schlank, Zylindrisch, 4 sporig; M = 27.9 × 7.4 µm ; (24.2) 25.8 - 29.8 (30.3) × (7.1) 7.12 - 7.7 (7.8) µm; N = 9

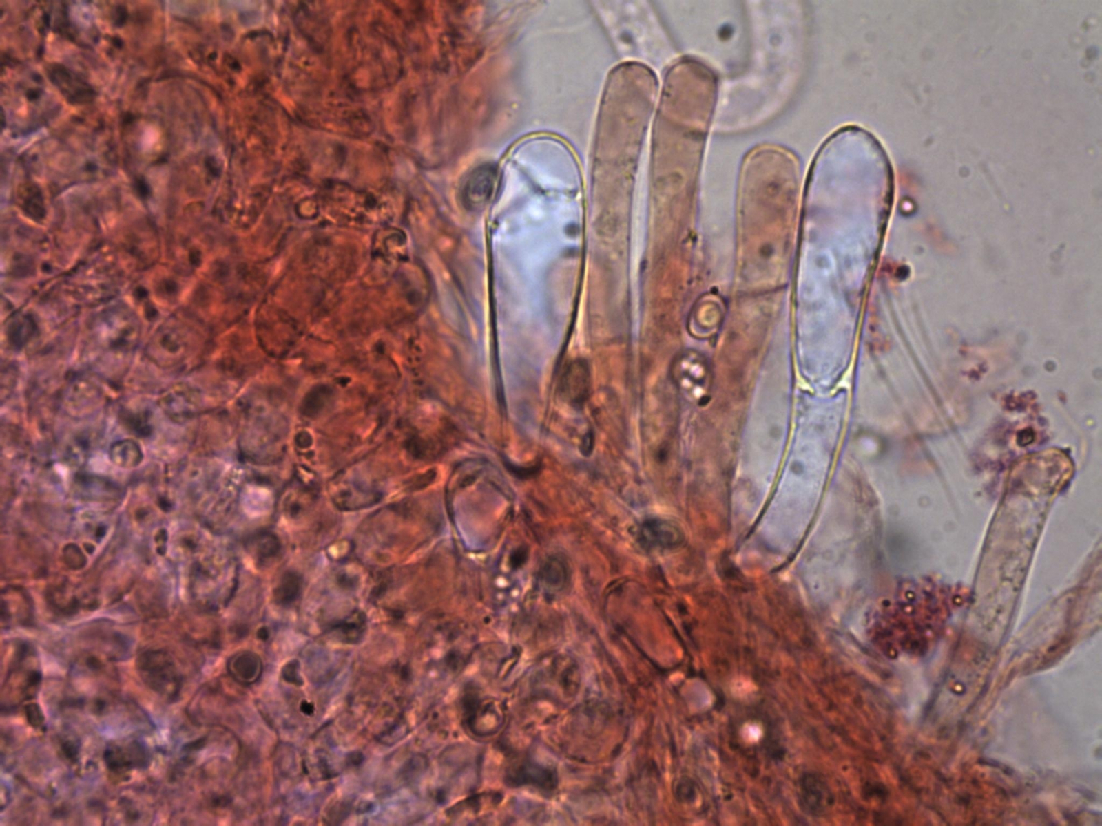
    Zystiden: hakenförmig; M = 73.8 × 17.2 µm ; (30.3) 64.1 - 88.3 (92.6) × (7.5) 14.7 - 19.9 (20.2) µm; N = 14

    weitere Zystiden: keulig, und einige einige lange zylindrische


    Mikromerkmale:


    Sporen: breit oval, glatt; 6.5 × 4.4 µm ; Q = 1.5; (6.1) 6.2 - 6.8 (6.9) × (3.9) 4.0 - 4.7 (4.9) µm; Q = (1.3) 1.4 - 1.6 (1.7) ; N = 25


    Zystiden


    keulige Zystiden?




    Basidien


    HDS




    Ist das Pluteus petasatus oder was käme sonst in Frage?


    Gruß Nosozia

    Frei nach dem Stenkelfeld Motto: Pilze braten - Symptome raten!

  • Hallo Harald,


    nein Rettich habe ich nicht gerochen - aber das ist ja so eine Sache mit Gerüchen.


    Gruß Nosozia

    Frei nach dem Stenkelfeld Motto: Pilze braten - Symptome raten!

    • Offizieller Beitrag

    Hallo.


    Wenn die keuligen Zellen so im Bereich der Lamellenschneide unterwegs waren, dann sollten das Cheilozystiden sein. Die sind bei der cervinus - Gruppe ja mehr oder weniger keulig, die mit den Haken sind die Pleurozystiden. Man könnte noch nach Schnallen in der Huthaut und an der Basidienbasis suchen (sonst bleibt es ja nur bei "cervinus s.l."), und die Pleuros könnte man sich auch noch genauer angucken, wie die haken da gestaltet sind. Christoph hat >hier< auch noch was zu Pluteus hongoi geschrieben, eine weitere, weiße Art aus der cervinus - Gruppe.
    Weißliche Rhebraune habe ich auch schon gesehen (>ZB. hier<), da könnte ich jetzt aber auch nicht mehr sagen, ob man den nciht auch als hongoi bestimmen könnte.



    LG, Pablo.

  • Servus Pablo,


    zunächst: Pluteus hongoi ist nicht weiß, sondern braunhütig, kann aber auch mal hell daher kommen. Ohne Mikroskopie geht da (fast) gar nichts. Manche Kollektionen kann man im Moment nur genetisch von Pluteus cervinus s.str. abgrenzen.


    Der ganze Formenkreis um Pluteus cervinus wurde in Bezug auf die Nordhalbkugel ausführlich überarbeitet und revidiert (Justo et al. 2014). Pluteus hongoi ist offenbar häufig, wurde aber bisher bei uns übersehen. Er hat wie Pluteus cervinus keine Schnallen und ist durch die Hakenzystiden, deren Dornen teils bifurkat sind, am besten zu erkennen. Dann noch durch die fehlenden Längsfasern am Stiel. Albinos gibt es von ihm wie von Pluteus cervinus s.str. Bei dem Albino, das ich hier vorgezeigt habe, bin ich mir aber sicher, dass es Pluteus cervinus var. alba ist (und kein hongoi-Albino), da die Mikroskopie perfekt passt.


    Der Pluteus-cervinus-Formenkreis ist sehr kompliziert. Mittlerweile sind es über 30 Arten - davon bei uns ca. 12 (plus x). Der hier abgebildete gehört in diese Gruppe. Die Pleurozystiden sind mit den Haken versehen, die Cheilozystiden keulig.


    Bei dem abgebildeten müsste man erstmal wissen, ob Schnallen auftreten (in der HDS, wie häufig? An den Basidienbasen? An den Zystidenbasen? In der Lamellentrama?).

    Auch ist die genaue Form der Pleurozystiden wichtig (wieviele Haken im Schnitt, wie deutlich sind die abgegrenzt, verzweigen sich die Haken auch usw.)


    Nehmen wir mal an, es gebe keine Schnallen in der HDS...

    Dann würden passen (inkl. blassen Formen):


    Pluteus petesatus, Pluteus leucoborealis, Pluteus rangifer, Pluteus cervinus und Pluteus hongoi. Pluteus leucoborealis und Pl. rangifer sind offenbar auf Betulaceae beschränkt (ersterer an Alnus und Betula, letzterer nur an Betula).


    Der Geruch von Pl. petasatus hat immer(!) eine deutliche, süße Komponente bzw. ist aufdringlich süß - muss man mal gerochen haben. Die Sporen sollten variabler in der Länge sein: 5,5–8,0(–9,5) × 3,5–5,5(–6,0) μm, aber es wäre nicht ausgeschlossen. Die HDS zeigt bei Pl. petesatus keine Schnallen. Zudem sind bei dieser Art die Cheilocystiden nur zerstreut, sie bilden keine sterile Palisade an der Schneide. Die intermediären Zystiden zwischen der Schneide und der Fläche müssten vorherrschend fusiform und ohne Haken sein.

    Nahestehend sind Pluteus leucoborealis und Pl. rangifer, die aber breitere Sporen (bis 6,5 µm Breite) und dicht stehende Cheilozystiden besitzen.


    Pluteus cervinus und Pluteus hongoi hätten variable, intermediäre Zystiden - mal mit Haken, mal ohne, mal fusiform, mal mehr abgerundet...


    Treten in der HDS Schnallen auf, so sind mehr Arten zu prüfen. Ich nehme jetzt mal nur die typischerweise hellen Arten:


    Pluteus pellitus: Sporen 5,0–7,5(–8,0) × 3,5–5,0(–5,5) µm, also einen Tick kleiner als bei Pl. petesatus. Cheilocystiden wieder einen dichten Streifen an der Schneide bildend, intermediäre Zystiden schwanken von Kollektion zu Kollektion (mal alle wie Pleurozystiden mit Haken und nur dünnwandiger und kleiner, mal auch fusiform-dickwandig ohne Haken, mal bunt gemischt... und klar: Schnallen im ganzen Fruchtkörper auffindbar.


    Pluteus salicinus: Sporend eutlich größer, kann man ausschließen - zudem zeigt der Grüntöne und passt makroskopisch nicht.


    Weitere Arten sind gewöhnlich braunhütig:

    Pluteus alniphilus, Pl. brunneodiscus, Pl. kovalenkoi


    An Nadelholz findet man die ebenso braunhütigen Pl. pouzarianus (sieht aber m.E, makroskopisch anders aus und riecht süßlich, nicht nach Radi), Pl. primus (hat deutlich größere Sporen). Pluteus atromarginatus fällt eh weg (schwarze Schneiden, dunkler Hut). Pluteus pouzarianus ist in sich wohl noch ein kleines Aggregat (sehr variabel).


    Jedenfalls muss man die braunen mit einbeziehen, da sie auch zu hell bis ganz weiß ausfallen können. Rein makroskopisch passt m.E. Pluteus petesatus ganz gut - aber der Geruch: das Süße müsste dir auffallen - denk z.B. an Kunsthonig / Knolligeruch... Kann auch fast widerlich sein, weil zu intensiv, kann aber auch nach Radi (Rettich) ausfallen, dann aber plus Süße...

    Prüf auf alle Fälle mal nach, ob du Schnallen in der HDS findest und schau, wie häufig die Cheilozystiden sind. Deren Zerstreutheit ist ein gutes Merkmal üfr Pl. petesatus.


    Südliche Arten habe ich jetzt nicht mit verglichen (z. B. Pluteus sandalioticus Contu & Arras - auch creme bis hell, Schnallen überall) oder Pluteus atropungens (Pleurozystiden meist ohne Haken, zudem Haken recht klein, fällt daher weg); es gibt auch noch einen Pluteus nothopellitus, dem der süße Geruch von Pl. pellitus fehlt.


    Ach, da fällt mir noch ein: Pluteus pellitus hat eine gelifizierte Lamellenschneide, Pluteus nothopellitus nicht.


    Als Literatur kann ich dringendst empfehlen:

    ALFREDO JUSTO, EKATERINA MALYSHEVA, TATIANA BULYONKOVA, ELSE C. VELLINGA, GERRY COBIAN, NHU NGUYEN, ANDREW M. MINNIS & DAVID S. HIBBETT (2014): Molecular phylogeny and phylogeography of Holarctic species of Pluteus section Pluteus (Agaricales: Pluteaceae), with description of twelve new species. Phytotaxa 180(1): 1–85.

    dx.doi.org/10.11646/phytotaxa.180.1.1


    Pluteus ist sehr spannend - aber die Gattung ist größer, als man denkt. Alle hier genannten Arten gehören zum Pluteus-cervinus-Formenkreis (Pluteus sect. Pluteus).


    Liebe Grüße,

    Christoph

  • Danke an alle, ist ja scheinbar komplizierter als gedacht.

    Cheilozystiden (wenn es denn die keuligen sind) waren nur vereinzelt. Schnallen hatte ich der HDS keine gesehen, werde ich aber daraufhin nochmal mikroskopieren.

    Genannte Literartur habe ich mir runtergeladen. Mal sehen, ob ich damit weiterkomme.


    Gruß Nosozia

    Frei nach dem Stenkelfeld Motto: Pilze braten - Symptome raten!

    • Offizieller Beitrag

    Hallo, Christoph!


    Oha, da sieht man mal, daß ich diese Artengruppe schon eine Weile nicht mehr verfolgt hatte.

    Wobei ich ehrlich gestehen muss: Schwierigkeiten hatte ich immer schon an Punkten, wo nach Verhältnis der Septen mit vs Septen ohne Schnallen getrennt werden muss.
    Um es mal (reine Phantasie jetzt) krass zu formulieren: Soll nach Schlüssel die eine Art an 30% aller Septen Schnallen haben, die andere an 60%, werden bei eigenen Funden immer (!) ziemlich exakt an 45% aller Septen Schnallen zu finden sein. :gzwinkern:

    Da gefallen mir Merkmale, wie eine unterschiedliche Anatomie von Zystiden schon besser. Also Haken bifurkat (bei ausgewachsenen Zystiden) vs. einfach: Damit könnte ich eher was anfangen.



    LG, Pablo.

  • Hallo Pablo,


    ja - klare Unterscheidungsmerkmale sind wünschenswert. Aber das wäre ja zu einfach <X


    Gruß Nosozia

    Frei nach dem Stenkelfeld Motto: Pilze braten - Symptome raten!

  • Servus Pablo,


    die Schnallen werden jedenfalls von Justo et al. (2014) nicht so extrem als Merkmal verwendet. Ihr Konzept von Pluteus cervinus lässt auch vereinzelte Schnallen an den Basidienbasen und z.B. in der Lamellentrama zu, da sie Pluteus brunneoradiatus mit Pl. cervinus synonymisieren. Und Pluteus pouzarianus wird z.B. von Pluteus primus vor allem durch die Sporenmaße unterschieden. Fragen nach den Prozentwerten der Schnallen kommen im Schlüssel gar nicht vor. Es geht aber primär darum, ob in der HDS Schnallen sind oder nicht. Es ist egal, ob an 10%, an 30% oder an mehr % der Zellen. Insofern betrifft das eher die früheren Schlüssel als den aktuellen.


    Die verwendeten Merkmale erscheinen mir eher harte Merkmale zu sein. Insofern müsste dir die Arbeit deutlich entgegen kommen. ;)


    Liebe Grüße,

    Christoph

    • Offizieller Beitrag

    Hallo, Christoph!


    In der Tat, das klingt nach einem wirklichen Fortschritt. Und ist sicher auch nicht nur für mich a bissel bequemer, sondern sicher auch für so einige andere Pilzbegeisterte, die ich in der Vergangenheit schon beim Schnallenzählen grummeln hörte. :gzwinkern:



    LG, Pablo.

  • Also ich habe mich nochmal ans Mikroskop gesetzt und mit den Daten der Literatur verglichen.

    Schnallen habe ich keine gefunden. Pleurozystiden meist mit 2-3 Haken. Dazwischen auch spitzzulaufende ohne Haken. Manche Haken nur schwach entwickelt.

    Cheilozystiden nur wenige.


    Der Geruch wurde jetzt (in Büchse gepackt) etwas aufdringlich unangenehm. Süsslich nicht wirklich.

    Da die Sporenmaße und auch der Fundort (auf gemähter Wiese ohne erkennbares Holz ) im Park perfekt zu P. petasatus passen - sollte das passen.


    Gruß Nosozia

  • Servus Nosozia,


    wunderbar, das passt ja wirklich gut. Man sieht schön die fusiformen, intermiedären Zystiden, die Cheilozystiden sind nicht dominant und es fehlen die Schnallen. Makroskopisch passt es auch.

    Und Gerüche sind immer so eine Sache - jeder riecht anders und jetzt ist es heiß/trocken - da kann ein Pilz auch mal seltsam riechen. Ich hatte ihn bisher jedenfalls nur in süß. Ist aber gut zu wissen.


    Liebe Grüße,

    Christoph