Hallo zusammen
Plicariella scabrosa (Cooke) Spooner, Czech Mycology 52 (4): 262 (2001)
Syn:
=Peziza scabrosa Cooke: 170 (1877) [MB#174443]
=Phaeopezia scabrosa (Cooke) Sacc., Sylloge Fungorum 8: 472 (1889) [MB#153027]
=Scabropezia scabrosa (Cooke) Dissing & Pfister, Nordic Journal of Botany 1 (1): 103 (1981) [MB#124509]
[Quelle: Mycobank]
Am 24.09.17 konnte ich wieder einen nicht so häufigen Becherling finden, der auf dem Namen Plicariella scabrosa (Syn: Scabropezia scabrosa) hört.
Vor 3 Jahren konnte ich ihn zuletzt finden und damals wurde er von Björn Wergen (Siehe hier) bestimmt und endlich ist der Pilz wieder aufgetaucht ![]()
Damit gibt es jetzt insgesamt 3 verschiedene Fundorte in Witten, wo Plicariella scabrosa aufgetaucht ist.
Hier sind die Bilder:
1.
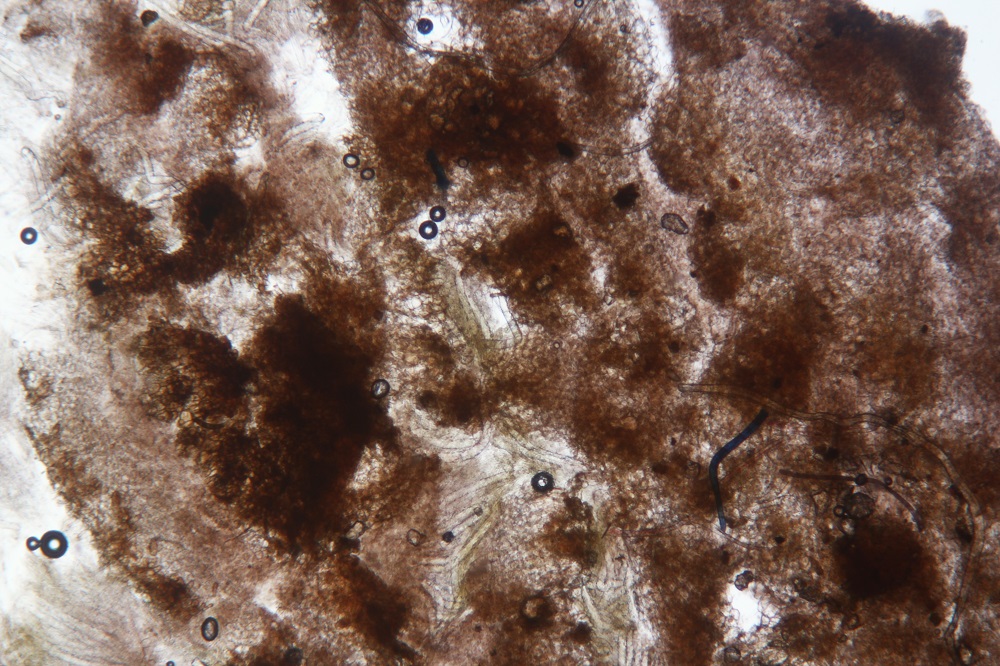
Sporen in den verschiedensten "Formen"
7.
VG : Thorben
