Beiträge von PBR
-
-
Noch ein kleines Update bzw. eine Spielerei:
Ein (synthetisches) stereo Bild der Probe. Für "cross eye" müssen die Bilder vertauscht werden (auf "swap" klicken).
Edit: besser bearbeitetes Bild.
-
Liebe alle,
auf der Suche nach weiteren Pyknidien der kürzlich berichteten Bacidina chloroticula stieß ich auf zahlreiche Perithecien in der selben Moosprobe.
Bei genauerer Betrachtung stellte sich diese Flechte als Agonimia vouauxii heraus. Weitere Informationen hierzu auf ITALIC.
Martin hatte hier und hier A. vouauxii schon einmal gezeigt aber bislang gibts hier im Forum
soweit ich überblicke noch keine Mikroskopieedit
: doch mit Mikroskopie. DarumTrotzdem würde ich euch meinen Fund gerne zeigen.Weitere Makrofotos hier: makro1, makro2
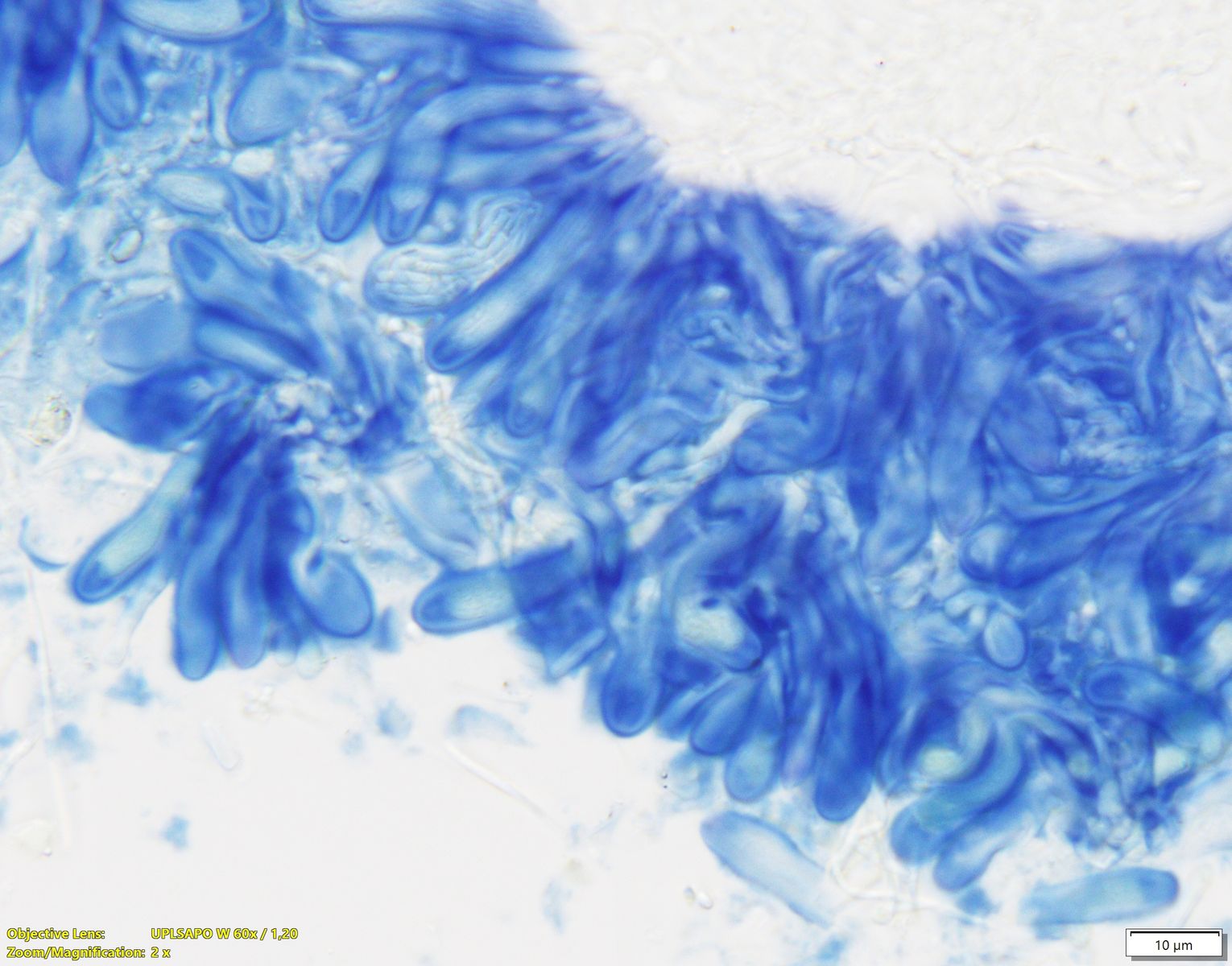
(1A/B) Kleine konische Perithecien meist mit weißer Spitze. Etwa 140 - 160 µm groß. Auf absterbendem Moos und Pflanzenresten.
(2) Halb Schnitt, halb gequetscht (das habe ich schon mal besser hin bekommen) - oh schreck - kein Pyknidium sondern ein kleines Perithecium mit großen Sporen.
(3) Große, mauerförmige Sporen - zu zweit im Ascus.
(4) Detail eines Peritheciums mit weißer Spitze
-
Hallo zusammen,
anbei möchte ich euch einen kleinen - unbeabsichtigten - Fund zeigen. Er stammt vom absterbenden Moosen aus einer aufgelassenen Kiesgrube mit interessanter Flechtenvegetation.
Makrofotos auf dem Feld habe ich leider nicht, ich habe die Flechte erst bei der Nachbereitung meiner Proben gefunden. Über Gattungsschlüssel bin ich irgendwie nicht zum Zeil gekommen. Das ganze ist offensichtlich ein Teamsport und ich habe über Social Media (Bluesky) den Hinweis bekommen ggf. mal bei Bacidina nachzusehen. Hier passt die generelle Beschreibung ganz gut. Über die Gattungsschlüssel im Wirth und Italic bin ich da nicht hin gekommen.
Beim Schlüsseln komme ich zu Bacidina chloroticula wobei die Beschreibung (ITALIC) gut passt. Nur die Pyknidien sollen unpigmentiert sein. Wohin das Pigment (Bild 8) gehör ist mir nicht so recht klar.
Als Bonus gibt es noch ein Mikrobild zum rein Zoomen: Mikro1, Mikro2
Auch noch ein hochauflösendes Makro: Makro
Als Bonus gab es neben der Bacidina noch eine Flechte die man schon auf Bild 2 erahnen kann. Dazu aber später.
Viele Grüße und einen schönen Jahresabschluss für euch.
Peter(1) Übersicht der Fundstelle mit einigen Cladonien, Moosen und lückiger Vegetation.
(2) Auf (nicht weiter identifiziertem) Moos wachsen kleinste Flechten. In der Bildmitte eine mit granulärem grünen Thallus und weißen durchscheinenden Apothecien.
(3) Die Ap. haben einen unscheinbaren weißen Rand und sind <200 µm im Durchmesser.
(4) Im Schnitt zeigt sich ein durchgehend unpigmentiertes Apothecium.
(5) Detail Rand, Hypothecium und Hymenium
(6A/B) Asci mit K/I+ Hülle. Apikaler Apparat irgendwo im Bereich Bacidia- bis Biatora Typ oder zwsichendrin (bin mir hier nicht wirklich sicher)
Hymenium ist IKI rot, hemiamyloid (nicht gezeigt).
(7) Nadelförmige Sporen, zu 8 im Ascus. Etwa 28-30x1,5 µm.
(8) Ob das Pyknidum hier dazu gehört ist unsicher. Größe passt (etwas über 30x 1 µm). Allerdings ist hier eine leichte Pigmentierung zu erkennen.
-
Das Buch ist wirklich schön. Mittlerweile gibt es davon auch eine deutsche Ausgabe.
FlechtenFlechten sind das Ergebnis symbiotischer Beziehungen zwischen Pilzen und fotosynthetisierenden Partnern in Form von Algen oder Cyanobakterien. Die mehr als 20…www.conte-verlag.deIch habe an der englischen Ausgabe nur eines auszusetzen: Die Verarbeitungsqualität ist dem recht niedrigen Preis zu schulden nicht so toll. Das Buch liegt bei mir im Sonnenschein und die Farben des Einbands haben sich in ein paar Monaten deutlich verschoben und Teile lösen sich auf auch wenn ich noch nicht so viel darin gelesen habe. Andere Bücher an gleicher Stelle halten deutlich besser und sind nicht verblasst - Vergleich ist also da.
-
Falls Du irgendwann ein "Upgrade" möchtest. Der Trinokulartubus vom BH2 (Bezeichnung ist das "BH2-TR30") (die Serie der zeitgleich erschienenen größeren Mikroskope) sollte kompatibel mit dem CH2 System sein. Der ist ggf. etwas verbreiteter und taucht als Einzelteil über Ebay o.Ä. bestimmt mal auf.
Eine gute Zusammenfassung über die benötigten Komponenten gibt es auf der Seite von Alan Wood.
Olympus microscopes and photomicrographic equipment
Peter
-
Hi Thorben,
Nicht anders handhabe ich es bei den Flechten. Es ging mir darum ob was spezielles zu beachten ist. Die Ascos scheinen mir so viel mehr fragiler als die Flechten zu sein - Ab in die Tüte, vielleicht wird ja irgendwann etwas draus.
Vielen Dank für Deinen Input!
P
-
-
Hallo Thorben,
danke für den Wegweiser. Ich komme hier jetzt auch mit Cryptogamia helvetica 23 zu P. hepatica - ich kann gerade nicht mehr nachvollziehen wo ich da gestern falsch abgebogen bin. Die Schlüssel für nicht lichenisierte Ascos sind mir dann doch noch nicht so eingängig.
Hallo Tori: Danke für den Schlüssel. Mit meinen Merkmalen komme ich da auch zu P. hepatica. Nur ist mein Länge/Breite Quotient eher bei 2 als bei >2,1.
Mikroskopisch waren mir gestern schon die Kerne in den Sporen aufgefallen. Hier noch einmal ein Bild mit etwas angepasstem Kontrast:
Viele Grüße
Peter
-
Liebe Pilzfreunde,
mir ist schon wieder ein nicht lichenisierter Ascomycet unter das Mikroskop gewandert.
Gefunden auf einem Gemisch aus Erde, verottendem Gras und Kot von einem Kleinsäuger (nehme ich an, kleine Stiftchen).
Kleine bis ca. 2mm große teils gruppiert stehende Apothecien mit deutlichem aber sehr schmalem Rand.
Das Hymenium ist sehr locker und kann wieder mit der Präpariernadel abgehoben oder "durchgeblättert" werden. Sowas kenne ich von Flechten überhaupt nicht.
Asci ca. 180-230 x 22-23 µm mit jeweils 8 Sporen. IKI braunrötlich. Kein Apikalaparat anfärbbar (auch nach K).
Sporen elliptisch, (23,8) 24,5-26,4 (26,6) x (12,1) 12,7-14 (14,2) µm, Ratio: (1,8) 1,8-2,1 (2,1)
Paraphysen etwas kopfig aufgetrieben, bis weit nach oben septiert. 2,8-4,5 µm im Durchmesser. Im oberen Teil braun pigmentiert.
Deutliches aber schmales Excipulum aus polygnalen pigmentierten Zellen.
Ich komme beim Schlüsseln nach Ascomycetenprojekt zur Gattung Dermea wobei die ja überwiegend auf Holz sein soll. Nach PDS1+Cryptogamia helvetica komme ich nicht so recht weiter.
Dungpilz oder nicht? Wie könnte ich hier weiter machen? Über Vorschläge, Feedback oder Hinweise wäre ich dankbar.
Peter
PS: nach Hinweisen von Thorben und Tori komme ich zu Pseudombrophila hepatica (vielen Dank!)
(1)
(2) Becherchen. Die schwarzen Knubbel und Stränge sind Cyanobakterien
(3) noch ein Becherchen.
(4) AP Querschnitt in Wasser
(5) Excipulum
(6) weitere Details vom Excipulom.
(7) Sporen und Paraphysen
(8) in IKI
(8) Ascusspitze
(9) Fädige Cyanobakterien aus den schwarzen Strängen und Knubbeln.
Edit: Typos und Bestimmungs-Update.
-
-
Hallo Karl,
danke für den Tipp. Das sieht sehr passend aus. Ich werde noch einmal nachsehen ob ich eine Assoziation mit dem Moos finden kann, evtl ein bisschen zu den Rhizoiden vorgraben.
Und dann muss ich noch rausfinden wie ich zu der Bestimmung komme.
Viele Grüße
Peter
-
Liebe Pilzfreunde,
ich wildere im Bereich der nicht-lichenisierten Ascomyceten und möchte euch um Rat fragen.
Der Fund stammt aus einem Kalksteinbruch (ca. 100m üNN, Niedersachsen) an periodisch überschwemmter Stellte. Zwischen (aber soweit ich sehen konnte nicht auf) Kleinmoosen wachsen flach aufsitzende bzw. in das Substrat eingesenkte gelbe Scheiben mit einem Durchmesser von bis zu 1mm.
Die Fruchtkörper waren jeweils sehr weich, ich konnte sie einfach mit der Präpariernadel auseinanderschieben.
Sporen elipsoid, (26,4) 27,1-30,7 (30,8) µm x (7,3) 7,4-8,4 (8,9) µm; Ratio: (3,3) 3,3-3,8 (3,9) n=20. Überwiegend mit 2 großen und 2 mittleren sowie weiteren feinen Öltröpfchen.
Asci hemiamyloid um die 120-140 x 20 µm.
Beim Schlüsseln habe ich einmal den Schlüssel des Ascomycetenprojekt verwendet, dabei bin ich nicht weiter gekommen. Zum anderen mit PDS1 und Cryptogamia helvetica 23, in letzterem bin ich zu Cupulina monticola gekommen, das passt aber nicht (Sporen mit feinen Öltröpfchen). Cupulina schien mir jetzt aber auch nicht so weit weg, es gibt aber nur 2 beschriebene Arten von denen beide nicht auf den Fund passen.
Habt ihr Vorschläge wie ich hier weiter machen könnte?
vielen Dank
Peter
Bilder
(1) Kleine gelbe FK zwischen Moosen in feinem kalkigem Substrat
(2) Detail FK
(3) Ap. Querschnitt in Wasser
(4) Paraphysen kopfig
(5) P. in der unteren Hälfte mit Septen
(6) Sporen
(7) Ascus Detail
(8) IKI rote Asci.
-
Hallo Martin,
tolle Bilder - insbesondere über die Mirko freue ich mich. Dazu bin ich noch nicht gekommen. Ich habe die Art auch schon auf zwei Exkursionen gen Westen gesehen; hier in Hannover aber noch nicht.
Vielen Dank fürs Zeigen. Die Differentialdiagnose muss ich mir noch anschauen, hatte ich nicht auf dem Schirm.
Peter
-
Ich habe ein Ringlicht am Stereomikroskop (für Flechten). Der Nachteil ist die schattenfreie Ausleuchtung, der Vorteil ist auch die schattenfreie Ausleuchtung.
- Weniger "Relief" für Fotos
- Eigentlich alle Features klar dargestellt, überall.
Anbei zwei ähnlich gelagerte Fälle von Kleinkram auf Steinchen (die obere ist mit zwei Schwanenhälsen die untere mit Ringlicht). Die Information über das Relief wird durch fehlenden Schattenwurf eingeschränkt. Mir sind die Schwanenhälse aber mehr im Weg und darum verwende ich ein Ringlicht. Ist insbesondere fürs arbeiten (Handschnitte etc.) (für mich!!) besser.
Gruß
Peter
(1) Verrucaria muralis, mit 2x Schwanenhals (Schott KL300 LED an Olympus SZ61TR)
Furchen sind durch Schattenwurf ein wenig besser kontrastiert. Perithecienknubbel wirken ein bisschen plastischer, bzw. man kann sich die Wirkung einstellen wenn man an den Schwanenhälsen spielt.
(2) Petractis clausa mit Ringlicht (Schott 58 mm Spaltringlicht mit Lichtleiter KL2500 LED, auch an Olympus SZ61TR)
-
Hallo Martin.
Danke fürs Zeigen! Da bin ich auch schon so oft vorbei gekommen das ich es fast nicht mehr wahrnehme.
Es gibt sie also doch...
Gruß
Peter
-
Hallo Martin,
danke, dass Du uns mal wieder auf eine Exkursion "mitnimmst".
Von den komplexen Strukturen die insb. Cyanobakterien ausbilden können bin ich auch immer wieder überrascht. Und die Flechtenfunde sind natürlich toll. Ich glaube ich muss hier noch ein paar mal rein schauen bis ich das alles aufgenommen habe.
Gruß
Peter
-
Und natürlich nicht hemiamyloides Lager sondern Hymenium. Bin müde...
-
Hallo Martin,
für S. nivea liegen noch keine Meldungen für Deutschland vor. S. pruinosa ist auf kalk wohl häufig (Früher S. regularis, so auch in LGBI3, jetzt aber aufgegliedert und die überwiegende Zahl der Funde sind S. pruinosa soweit ich das verstehe).
Wer verbringt schon seinen Urlaub im Steinbruch und dreht dort alle Steinchen um?
Du?
Marion und Rainer bekommen auf jeden Fall meine Liste wenn ich sie fertig bearbeitet habe. Da sind noch ein paar schöne Sachen dabei - und ein paar Fragezeichen die ich bei Zeiten hier zeigen möchte.
Gruß
Peter
-
Hallo zusammen,
ich möchte euch hier ein vergleich zweiter kleiner Funde vorstellen. In diesem Sommer durfte ich im Familienurlaub in Nordhessen wieder einige Zeit in einem kleinen, lange aufgelassenen, Kalksteinbruch verbringen. Dabei habe ich einige Aufsammlungen von eigentlich ganz unscheinbaren - aber doch durch Flechten bewachsenen - Steinchen auf Moos in dem lückenhaften Magerrasen auf den terassenförmigen Ebenen des Steinbruchs gemacht.
Zum einen findet sich (erwartbar) reichlich Sarcogyne pruinosa. Auf dem recht weichen Kalkstein bildet sich manchmal zwischen den Apothecien einen recht flauen Belag aus. Soweit beschrieben.
IKI (Lugol) blau (euamyloid). Mit Sporen die gut zu dem beschriebenen passen.
Daneben findet sich aber auch eine etwas kleinere Flechte mit schwarzen Apothecien und deutlichem epilithischen, leicht rissig areoliertem Lager. Ich bin nach dem recht aktuellen Schlüssel für Sarcogyne auf Kalkstein in Europa von Kerry Knudsen gegangen (hier in Herzogia veröffentlicht) und komme zu Sarcogyne nivea. Mit Wirth (2013) komme ich auch dahin, dort wird die Art als "Verschollen" aufgelistet.
Differenziert von S. pruinosa nebem dem Lager (das S. pruinosa/regularis auch mal haben können soll) durch andere Sporenform und vor allem eine IKI hemiamyloides Hymenium (korrekutr hier, natürlich nicht Lager), IKI blau (bei niedriger konzentration) zu rot.
Bei so habe ich natürlich gestaunt und erstmal drüber geschlafen, am zweiten Tag aber das gleiche Ergebnis. Kerry Knudsen hat auf die dann geschriebenen Email schnell reagiert: "should be OK". Er meinte die Flechte sei nicht so sehr selten sondern eher unbekannt "I actually would not consider nivea rare but an unknown.". Vielleicht hat ja jemand von euch sowas schon einmal gefunden.
Viele Grüße
Peter
(1) Kalksteinbruch mit lückenhafter Vegetation.
(2) Sarcogyne pruinosa (weitere Bilder hier)
Sarcogyne nivea:
(3) Kleine Flechte mit schwarzen Ap auf graugrüner Kruste (weiter Bilder hier).
(4) Querschnitt in Wasser
(5) Quetschpräparat, Lugol diffundiert von rechts ein. Zuerst hellbau dann braunrotes Hymenium.
(6) Sporen etwa (2,9)3,1-4,9 x 1,8-2,5 µm. in der Beschreibung steht ca. 80/ascus, hier deutlich mehr. Die Daten sind da aber wohl nicht gut.
-
Bild 18 Manches der Steinchen ist bewohnt. Hier mit Sarcogyne regularis.
Interessanterweise finden sich auf beiden Seiten des dünnen Steinchplättchens ähnlich viele Apothecien!
Hallo Martin,
beim nachsehen was es so zum Thema Sarcogyne sp. hier im Forum gibt bin ich über Deinen Beitrag gestolpert.
S. pruinosa/regularis scheint das offensichtlich gerne zu machen. Ich habe auch ein kleinen Stein der auf allen Seiten bewachsen ist.
Vielleicht muss das Steinchen hierfür mobil sein und immer mal wieder umgedreht werden?
-
Hallo zusammen.
nach kurzem suchen finde ich Rebentischia eine sehr gute idee. Die Sporen sehen sehr passend aus - insbesondere das gelatinöse Anhängsel!
Vielen Dank für die Idee.
Ich wede nochmal nach einem Perithecium von dem Ding suchen, aber alle die ich bis jetzt noch gefunden habe sind doch Porina aenea. Da hat sich dann doch wohl ein einsamer nicht lichenisierter dazwischen gemogelt und mir das Leben schwer gemacht.
(7) Perithecium auf Rinde
(8) isolierte und gequetschtes inneres.
(9) Sporen
-
Hallo zusammen
mich beschäftigt gerade ein Fund von einem (nicht mehr ganz jungen) Hasel Ast.
Neben Lecania naegelii wachsen kleine Perithecien. Zuerst dachte ich an Porina aenea (und auf der einen Seite scheint es das auch zu sein). Auf der anderen Seite finde ich - zu meiner Überraschung - im Schnitt pigmentierte Sporen mit einem auffällig unpigmentierten Ende. Beim Schlüsseln komme ich recht zügig zu Eopyrenula (und dann E. leucoplaca)- allerdings sind da die Vergleichsbilder wie so oft bei den "kleinen Hässlichen" dünn. Bei ALF gibt es etwas: https://www.afl-lichenologie.f…Eopyrenula_leucoplaca.htm das zeigt aber deutlich andere Sporen. Dort eher spindelförmig, bei mir doch recht rechteckig.
Habt ihr einen Vorschlag wo ich weiter machen könnte bzw. wo ich einen Denkfehler habe?
Pyknidien habe ich noch keine gefunden.
Ggf. doch ein nicht lichenisierter Asco?
Viele Grüße und Danke
Peter
(1) Übersicht über die Probe
(2) Neben L. naegelii einige schwarze Perithecien.
(3) Querschnitt durch Perithecium
(4) Auffällige sporen mit unpigmentiertem Ende (Anhängsel?)
(5) Weitere Sporenbilder
(6) Umgebende Algen, ziemliches gewirr, fraglich lichenisiert, fragl. mit orangenem Pigment (Trentepohlia?).
-
Hallo Bernd,
vielen Dank für Deine Antwort. Ich werde mir noch weiter gedanken machen. Zu allem was ich bedenken wollte komme ich heute abend nicht mehr. Es ist schon klar, dass man an einer sehr beschränkten Probe - wie ich sie hier habe - keine absolute Aussage machen kann. Ich möchte am Ende auf ein "die Mehrzahl der Argumente spricht für" hinaus. So die Verhältnisse der Größen passen eher nicht zu C. abietinum. Bei den Stecknadeln gibt es ja zum Glück eine recht überschaubare Anzahl an Arten die in Frage kommen kann. Für mich ist das eine Übung um in den relevanten Merkmalen besser zu werden.
Z.b. auf die Ascusstruktur hatte ich bislang noch nicht so recht geachtet. Danke für das Kommentar, da schaue ich noch einmal genauer hin.
Zum Bild: Die Bilder sind bei mir ganz überwiegend DIC (differenzieller Interferenzkontrast (auf Olympus)). Hier wäre auch noch ein Link von einem zusammengesetzen Panorama dieser Probe (also der von Bild 4).
Viele Grüße
Peter
PS: ich habe in den Anhang nochmal ein paar Bilder von den Quetschpräparaten gepackt. Vielleicht siehst Du darauf noch etwas das ich noch nicht deuten kann.
-
Hallo zusammen,
ich möchte nun auch einmal auf den Stecknadelzug aufspringen und euch einen Zufallsfund vorstellen.
Ich habe mir abplatzende Stücke von einem alten Zaunpfahl mitgenommen. Diese sind reichlich mit Lecanoropsis saligna, Lecanora symmicta und A. punctata bewachsen, an den Seiten und in eingesenkten Rissen der Holzstücke finden sich Stecknadelflechten (Chaenotheca brunneola) sowie nicht lichenisierte Ascomyceten an die ich mich im Moment noch nicht heran wage.
Beim Schlüsseln komme ich auf Calicium pinastri. Stehe jetzt aber vor einem ähnlichen Problem wie Bernd im Juli Calicium cf. pinastri
Die Ökologie mit Lignum als Substrat scheint ja nicht so recht zu passen (welches Holz kann ich nicht sagen, zumindest aber nicht Eiche).
Eine Alternative wäre ggf. Calicium glaucellum, eine Bereifung kann ich jedoch nicht feststellen. Allerdings habe ich nur wenige Exemplare in meiner Probe; hier würden die Sporen aber besser passen. In einem anderen Schlüssel bin ich zu C. abietinum gekommen, hier sind die Sporen jedoch zu klein (meine sind ca. 9-11 µm lang) und die Proportionen passen nicht. (ca. 3,9/1 Länge zu Durchmesser).
Was meint Ihr?
Viele Grüße und vielen Dank
Peter
(1) Habitat: abplatzende Holzstücke eines Zaunpfahls
(2) Übersicht, kleine schwarze Stecknadeln, bis max 0,5 mm Länge. Bei ankratzen des Lignums und um die Vertiefungen in denen die Stecknadeln stehen finden sich Algen
(3) Übersicht über einen angeschnittenen Fruchtkörper
(4) Angeschnittener Fruchtkörper mit Sproen
(5) Sporen
