Hallo zusammen,
zum gelben muss man nichts mehr hinzuzufügen, aber der lilane Pilz ist ein einfacher Lila Lacktrichterling (Laccaria amethystina). Ich weiß nicht, was der purpurfarbene Lacktrichterling sein soll.
Grüße
Oliver
Hallo zusammen,
zum gelben muss man nichts mehr hinzuzufügen, aber der lilane Pilz ist ein einfacher Lila Lacktrichterling (Laccaria amethystina). Ich weiß nicht, was der purpurfarbene Lacktrichterling sein soll.
Grüße
Oliver
Hi Steve,
I am no expert and I won't be able to help you probably, but don't Pluteus species always have a pinkish sporeprint? I never heard of Pluteus with brownish spore prints. Are the gills completely free?
Kind Regards
Oliver
Hallo Urs-Peter,
ich meine, eine Ringzone erkennen zu können und wäre bei den entfernt stehenden Lamellen und Buche als Substrat bei dem Buchen-Schleimrübling - nur eben als eher vertrocknete Ausführung.
Grüße
Oliver
Kleines Update:
Beim Moos handelt es sich um Barbula unguiculata und somit handelt es sich beim Moosbecherling um die vermutete Octospora gyalectoides.
Grüße
Oliver
Hallo zusammen,
bereift bedeutet, dass es an der Stelle Zystiden gibt. Am Stiel wären das Caulozystiden. Bei manchen Pilzarten sind die so zahlreich ausgebildet, dass der Stiel (oder eben Hut etc.) wie bereift aussieht. Also mit einem weißen Schimmer überzogen. Jedoch ist das nicht immer mit bloßem Auge zu erkennen und ganz bestimmt nicht bei jeder Pilzart und braucht deshalb eine mikroskopische Abklärung.
Grüße
Oliver
Kleiner Nachtrag:
Den Schlüssel scheint es ja frei im Netz zu geben:
https://www.mycopedia.ch/literatur/various/key_psathyrella.pdf
Ich kann nicht sagen, ob er gut oder schlecht ist, aber er arbeitet natürlich auch mit mikroskopischen Merkmalen
Hallo zusammen,
die Vermutung, dass es keine Psathyrella sein muss, hatte und habe ich auch, aber da ich um Dunkelsporer fast gänzlich ein Bogen mache (außer um die Inocybaceae, was wohl verrückt ist, aber wenn es nur bei einer so schwierigen Gattung bleibt...) möchte ich das mit Sicherheit nicht sagen und hätte auch keinen besseren Vorschlag.
Mycena polygramma ist schon ein sehr massiver Helmling. Neben den Helmlingen um Mycena rosea einer der größten und wihl "massivsten" Arten. Der wächst meisten an Holz und ist an den Rillen im Stiel gut zu erkennen. Oft sieht man die aber nur im oberen Teil des Stiels. Soweit ich weiß gibt es eine Art, mit der man die verwechseln könnte, aber ich hab' gerade nicht im Kopf, welche es ist. In "Mycena s.l." aus der Fungi of Northern Europe werden die aber verglichen.
In unserem Arbeitskreis beschäftigt sich jemand mit Psathyrellen und er scheint eigentlich oft einen Namen herausfinden zu können. Jedoch scheint die Gattung auch nicht einfach und braucht unbedingt ein Mikroskop. Ohne Mikroskop wirst du wohl nirgendwo hinkommen. Ich kenne auch keine Monographie über die Mürblinge, aber ich glaube der Gröger hat sie behandelt und in der Funga Nordica sollten die auch drinne sein.
Deinen Funs hätte ich persönlich wohl als erstes als eine Cortinarie abgetan und dann verglichen mit dem Hintergedanken, dass ich falsch sein könnte. Wenn es eine Cortinarie sein sollte, dann wohl als Gürtelfuß oder Hautkopf...
Grüße
Oliver
PS: Ich kann die Pilzmikroskopie nur empfehlen. Bald ist ja auch Weihnachten und im Mikroskopie Forum wird gerade ein ziemlich neues Zeiss Mikroskop angeboten. Gebraucht natürlich
Hallo
also ich sehe zwei verschiedene Pilze. Der erste Pilz ist definitiv eine Mycena und das könnte gut M. polygramma sein auf Grund des gerillten Stieles, aber der Fruchtkörper ist andererseits auch ziemlich alt, sodass ich mich mit den Fotos nicht auf die Art festlegen wollen würde.
Die Nummer zwei könnte gut eine Psathyrella sein, nur habe ich von Braunsporern recht wenig Ahnung. Vielleicht kann Climbingfreak hier weiterhelfen.
Grüße
Oliver
Hallo zusammen,
ja gut Stefan, das würde natürlich Sinn machen und etwas gewundert habe ich mich auch.
Zur Systematik von Schlauchpilzen kann ich dir leider rein gar nichts sagen, Urs-Peter. Ich kenne mich wenn überhaupt etwas mit den Basidiomyceten aus. Du solltest aber jedoch wissen, dass zu Zeit vieles geändert wird, da man durch Genanalysen mehr und mehr korrigiert. Ganz spannend ist hier, finde ich, die Ordnung Russulales. Früher hat man soweit ich weiß nur die Familie Russulaceae mit den Gattungen Russula und Lactarius (bezogen jetzt auf Europa) dazu gezählt, aber heutzutage weiß man, dass viel mehr zu den Russulales gehört. Man findet da fast jede Fruchtform.
Grüße
Oliver
Hallo Urs-Peter,
den würde ich mal mit dem Violetten Knorpelschichtpilz vergleichen.
Grüße
Oliver
Hallo Urs-Peter,
das ist Ascocoryne sarcoides und davon die Nebenfruchtform. Wie ich vor kurzem gelernt habe, bildet nur A. sarcoides Nebenfruchtformen aus und wenn man dann eine Ascocoryne Nebenfruchtform findet, ist die Bestimmung eindeutig.
Grüße
Oliver
Hallo Urs-Peter,
wenn du den nochmal in die Hand bekommst, kannst du mal gucken, wie das Fleisch gefärbt ist, wenn du Hut und Stiel durchschneidest und du könntest dir angucken, wie man das Hymenium (Fruchtschicht) mit dem Findernagel wegdrücken kann.
Grüße
Oliver
Hallo Oehrling,
ja, das ist spannend zu hören. Ich hätte nichts gegen, wenn der Satansröhrling bei uns häufiger (oder überhaupt) vorkommen würde.
Aber auch wenn man die Seltenheit der Pilze nicht beachtet, sollte meine Argumentation dennoch gelten. Wenn jemand einen Satansröhrling isst, ist es nicht so dramatisch, wie wenn jemand einen Gifthäubling isst. Aber das hast du ja auch nicht verneint.
Grüße
Oliver
Hallo Thorben,
ja, ich habe die Seite zum bestimmen verwendet. Auf der Website ist ebenfalls ein Verzeichnis der Moose zu finden und Tortula sp. (evtl. ist das auch eine Pottia?) wird mit O. gyalectoides assoziiert.
Grüße
Oliver
Hallo zusammen,
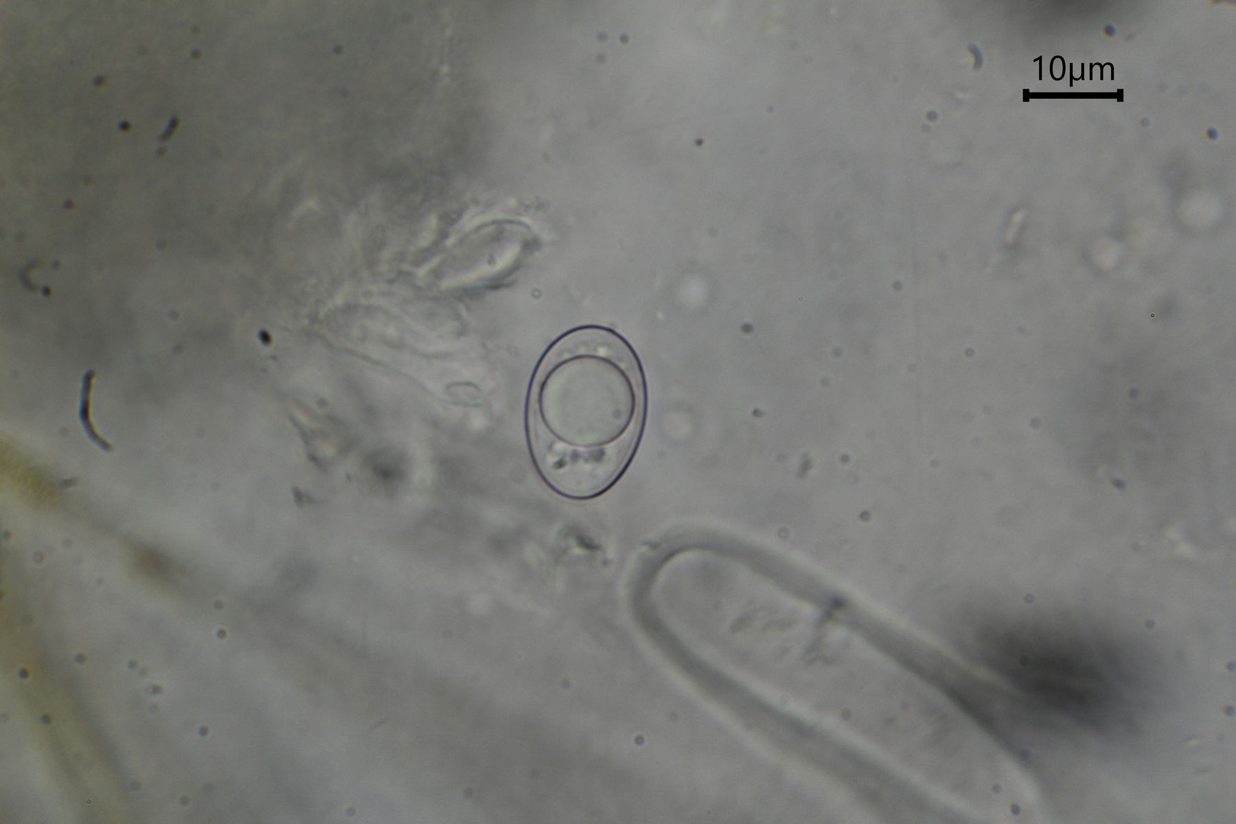
ich habe vor einigen Tagen Moosbecherlinge im Vorgarten gefunden. Heute habe ich mir die Zeit genommen, diese zu fotografieren und zu mikroskopieren. Ich denke mal, dass es sich bei dem Moos um Tortula muralis handeln könnte und der Becherling somit O. gyalectoides. Ich hoffe, ihr könnt meine Bestimmung bestätigen oder verbessern. Sporen ohne Ornament, Ascibasen ohne Haken, Fruchtkörperrand leicht eingerollt. Bilder in Wasser. Bilder in Lugols Reagenz werden nachgereicht.
Sporen: 14-15 x 19-20 (überwiegend in den Ascis gemessen, ein Becherling liegt zum Ausporen aus
1. Fruchtkörper mit Moos
2.
4.
5.
6.
Schöne Grüße
Oliver
Hallo zusammen,
ich kann mich Nobi nur anschließen. Einerseits finde ich es verwunderlich, dass du Stefan noch keine gefunden hast, ich habe den Eindruck, dass die überall sind. Klar kann man Stockschwämmchen von Gifthäublingen auseinanderhalten, aber die potentielle Gefährlichkeit setzt sich ja nicht nur daraus zusammen, wie einfach man eine Art abgrenzen kann, sondern auch daraus, wie fatal eine Verwechslung sein kann. Da die Verwechslung bei diesem Beispiel lebensgefährlich sein kann und beide Pilze sehr ähnlich aussehen können und nur ein sicheres Merkmal zur Unterscheidung besitzen, finde ich Warnungen dahingehend legitim und wichtig.
Ich denk mal, dass Anfänger auch den Satansröhrling mit Hexenröhrlingen verwechseln könnten, aber hier würde ich das Risiko geringer einschätzen, weil Vergiftungen mit dem Satansröhrling in der Regel nicht tödlich oder organschädigend verlaufen und er zudem selten ist. Mit diesem Blickpunkt, finde ich schon, dass Röhrlinge eher für Anfänger und Stockschwämmchen eher für Fortgeschrittene zu empfehlen sind. Bzw. will ich an dieser Stelle rein gar nichts empfehlen, außer eventuell den Blick durch's Mikroskop, der meiner Meinung nach spannender ist, als der Genuß von Pilzen...
Grüße
Oliver
Hallo Urs-Peter,
Galerina marginata ist kein seltener Pilz, aber er kommt doch öfters auf Nadelholz vor. Zwar kann er auch auf Laubholz vorkommen, aber wenn du ihn sehen willst, lohnt es in einen Mischwald zu gehen. Jedoch denke ich, dass der dieses Jahr wohl nicht mehr zu sehen sein wird.
Grüße
Oliver
Hallo zusammen,
ja, Stöchschwämmchen sind gute Speisepilze. Aber für den Anfang würde ich immer empfehlen, mehrmals einen PSV mit denen aufzusuchen. Wenn man mal den falschen mitnimmt, ist es bei denen - wie du sicherlich weißt - fatal.
Grüße
Oliver
Hallo Marwin,
ich kann deine Bilder leider nicht sehen. Aus dem Text entnehme ich aber, dass du nur einen Typ an Zystide gefundem hast? Wichtig wäre es zu wissen, ob Cheilo-, Pleuro und Caulozystiden vorhanden sind bzw. ob die Caulozystiden nur im oberen Drittel, im oberen Zweidrittel oder bis nach ganz unten reichen.
Ich habe von Risspilzen nicht viel Ahnung, aber Climbingfreak und besonders Ditte schon. Die werden dir sicherlich bei einer guten Dokumentation helfen können.
Grüße
Oliver
Hallo Ralf,
ich würde auf Schleimpilz tippen. Vielleicht können dir die Spezialisten hier wie lamproderma helfen, den näher einzugrenzen.
Grüße
Oliver
Hallo Frank,
ich würde den Pilz als auch Täubling ansprechen, nur wird der wohl schlecht einen gescheiten Sporenabdruck liefern und wird somit wohl nicht genauer bestimmt werden können.
Grüße
Oliver
Hallo Urs-Peter,
ja für den Anfang ist das sicherlich genug. Wenn man dann aber bald eine gute Übersicht über die wichtigsten Gattungen hat, fällt es einem später auch einfacher, die einzelnen Arten kennenzulernen. Eine systematische Erschließung der Pilze ist der beste Weg, diese kennenzulernen.
Grüße
Oliver
PS: Ich weiß nicht, ob du den Pilz stehen gelassen hast oder nicht, da aber das 'Pflücken' von Pilzen dem eigentlichen Lebewesen nicht schadet, ist es zu empfehlen, immer zwei oder drei Fruchtkörper eines Fundes mitzunehmen und den Zuhause etwas genauer zu untersuchen.
Hallo zusammen,
der Geruch des violetten Rötelritterlings ist so eine Sache. Ich hab bis jetzt noch nie einen deutlichen Geruch feststellen können und wenn man mal etwas leicht wahrnimmt, riecht er in meinen Augen definitiv nicht nach Multivitaminsaft. Ich werde zwar fleißig weiter riechen, aber eventuell können einige Menschen diesen Geruch wohl auch nicht wahrnehmen???
Grüße
Oliver
Hallo Urs-Peter,
ja das ist ein Helmling. Leider gibst du zu wenig Informationen, um dir weiter helfen zu können. Wichtig wäre gewesen, ob er nach etwas bestimmten riecht. Wenn er einen chemischen Geruch hatte, könnte es gut einer der Nitrathlemling sein. Auch der Kegelige Helmling (Mycena metata) würde in Frage kommen. Leider muss man Helmlinge oft mikroskopieren, um sicher zu sein, aber merk dir für die nächste Helmlingsbestimmung folgendes:
- welches Substrat? Holz, Streu, Wiese, Moos, Rinde, Farn...?
- Geruch? Nitrat (chemisch) oder andere?
- sind die Lamellenschneiden gefärbt? (Lupe)
- lässt sich die Huthaut abziehen, ist sie dehnbar?
- milcht der Fruchtkörper im Fuß oder im Hut? Welche Farbe hat die Milch? Weiß, rot, orange?
Grüße
Oliver
