N'abend,
ich hab' einen nicht so arg häufigen Stäubling zu zeigen: Lycoperdon ericaeum Bonord. (1857), teils auch als Unterart in L. muscorum eingegliedert, bzw. jüngst auch in eine andere Gattung Leptocaulis ericaeus (Bonord.) R.L. Zhao & J.X. Li (2024) umkombiniert. Auf der Wiese, wo auch all das andere Zeug wächst. Komisch nur, dass es heißt, L. ericaeum solle auf saurem Boden wachsen, wohingegen weder die Pflanzenwelt, noch die anderen Pilze auf sauren Boden hinweisen. Eventuell eine Mikroanomalie, weil im Zuge der Trockenlegung, in der Wiese in den 80ern auch Rohre verbuddelt wurden und der Boden dann irgendwie wieder reingeschüttet wurde. Wobei aber die oberen Bodenschichten trotzdem alle kalkhaltig sind und Torf hat es hier noch nicht.
Wo die Rohre sind, sieht man hervorragend im aktuellen Luftbild vom Juli d.J. - jedenfalls auf dem Teil der Wiese, der erst später gemäht wurde. Und dort steht auch l. ericaeum.

Gefunden im September, die müssen ziemlich schnell gewachsen sein und kurz vorher hatte ich die Ballen weggeholt, da hat noch nichts weiß geleuchtet. Im Dateinamen ist das Datum enthalten. Wie man sieht gab es da mehrere Farbumschläge. Die stehen aktuell immer noch da - ein vollreifes Exemplar werde ich noch für die Kollektion entnehmen.










Bei der Bestimmung wird im Jeppsen ja gefragt, ob der regelmäßig mit einem kleinen Loch aufreißt oder unregelmäßig über große Bereiche. Solange das nicht klar war, hatte ich beide Wege im Schlüssel geprüft und wäre dann zu L. turneri (=Calvatia tatrensis) gekommen, was eine Gebirgsart zu sein scheint. Die Löcher sind zwar ziemlich groß, absolut gemessen, so wie bei L. pratense. Aber relativ zur Größe der Fruchtkörper kann man "eher klein" noch durchgehen lassen. Also L. ericaeum - gleich aussehende, aber kleinere Exemplare hatte ich an der Stelle auch 2023 fotografiert - gleich neben Entoloma chalybaeum.
Mikros
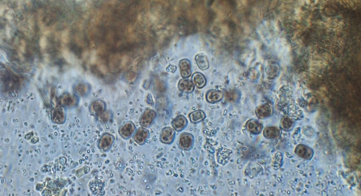
Sporen in BWB, deutlich warzig, meist mit kurzen Sterigmenresten. 4-4,5 µm.

Capillitium gelb bis gelbbraun, bis zu 9 µm breite Stränge, Septen vorhanden bzw. Bruchstellen an Septen, hier mal eine Septierung mit eingeschobenem stück Paracapillitium. Unseptierte Verzweigungen gibt es gelegentlich auch. Poren ungleichmäßig verteilt, stellenweise sehr häufig


und das oben gezeigte unreife Exemplar in KR,
teilweise noch Basidien mit Sporen (das Zeitfenster dafür ist bei Stäublingen ziemlich kurz und mehr oder weniger auf frische Belege beschränkt), hier mit kurzen Sterigmen aufsitzend

und Sporen mit verschieden langen Sterigmen

Soweit ich gesehen habe, wurde der im Forum erst einmal gezeigt, von Habicht-Peter RE: Heimlichkeiten: Nobi hatte Geburtstag
LG, Bernd