Mir fehlt zu den Tintlingsen immer irgendwie der Zugang wie ich da systematisch ran gehe ![]()
Beiträge von Hagen Graebner
-
-
Hab gestern Hunsrück-Hirsch und Hunsrück - Hase gesammelt. Und konnte heute nicht am Beweidungs-Esel vorbei

-
Liegt schon im Papier :-(. Meine feuchten Kammern sind alle voll mit Dung :-). Aber ich finde da bestimmt noch mal .
-
Der Dolden-Milchstern hatte sonderbare schwarze Flecken, was eindeutiges konnte ich aber nicht entdecken. Irgendwas imperferfektes?
Gruß
Hagen
-
Danke. Normal hab ich die "runder" aber das ist wahrscheinlich das naheliegendste.
-
Hab eines mal zerbrochen- sieht nicht so aus, scheint aus pflanzlichem Material zu bestehen, Nix drin, was an Tierreste erinnert.
-
Hallo zusammen,
die beiden Substrateinheiten hab ich heute im Ingelheimer Wald auf dem Kandrich (im Hunsrück) eingesammelt. Was könnte das sein?
Das Tierspurenbuch hilft mir nicht wirklich - Meerschweinchen kommt von der Form an mächsten, aber das kann ja mitten im Wald nicht sein, Ratten würde ich dort aucg nicht erwarten.
Gruß
-
Danke Euch !
-
Ich hatte mir Eibe mitgenommen und feucht gelegt - daran kam jetzt das hier, nur kann mir der große Ellis & Ellis nicht so recht weiterhelfen. Brandenburger hilft auch nicht.
Beste Grüße
-
1. Zur Zeit finde ich in meinen Dosen häufig kleine blaugraue Springschwänze, die munter an den Pilzchen rumknabbern. Habt Ihr das auch? Kann man was dagegen tun?
Ich finde die total niedlich
Erinnern mich immer an Loriots Steinlaus. -
Immer mittwochs, 20:00 findet in diesem Forum ein Zoom-Meeting statt, Hagen.
Nachdem Alis das vor einiger Zeit angestoßen hatte, hat Elisabeth (Aretah) aktuell einen neuen "Zoom-Raum" geschaffen, wenn man das mal so sagen darf.
Den Zugangslink findest Du in der Signatur von Aretah, z.B. in diesem Thread #12. Einfach mal nach oben scrollen.
Nächster Termin wäre also der 28.04.
Danke Dir. 20.00 Uhr, nicht 20.30 deshalb bin ich zu spät-
-
Das wird dann sicher die nächste Anschaffung.
Tipp von mir hast du ja

-
I did it! Ich hab mir das Stemi 305 und das Pantera KU bei Christian Linkenheld bestellt (nach ausführlicher und geduldiger Beratung durch ihn) . gestern angekommen! Hab es gestern Abend aufgebaut und bin begeistert! Was mir jetzt noch fehlt ist der leistungsfähige Laptop um die Kamera anzusteuern. Mein PC-Laden hatte schlicht nicht gemerkt, dass ich ihnen einen Auftrag gegeben hatte :-). Spätesten Mittwoch soll es soweit sein - dann mach ich hoffentlich auch gescheite Bilder.
-
Wo er Recht hat, hat er Recht!
Dungpilz Vortrag!!!Jaaa!!!
-
Da gibt es hier im Forum ja das regelmäßige Mittwochstreffen,
Da entging mir was? Wann läuft das?
So intensiv, dass ich mitsamt den Pilzen des Zimmers verwiesen wurde!
Ich glaube, wir sollten die Duldsamkeit unsrer Partner*Innen nie unterschätzen, sie lassen uns Kacke ins Haus bringen und ausbrüten. So richtig Mainstream ist das nicht.

-
Danke ! Der Fund ist im Mykis und geht dann gesammelt mit an Frank Dämmrich

-
-
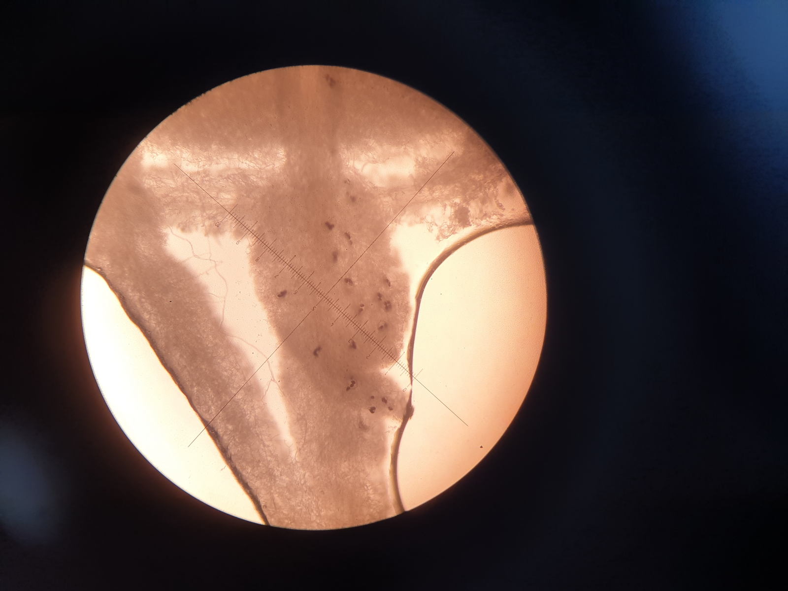
Ich hatte noch Reh vom Dezember aus unserem Wald im Erzgebirge - heute eine Art, die ich noch nicht kannte - Sporormiella pulchella - Sporen waren mit gerademal 17 µm Länge am unteren Ende von dem was Achmed &Chain schreiben, aber der Schlüssel ist eindeutig.
-
Gerade eben auf Rinderdung, der seit Ende Januar im Döschen liegt :-).
-
-
Sorry - Nachtrag: sporen sind etwa 23 x 10 µm groß.
-
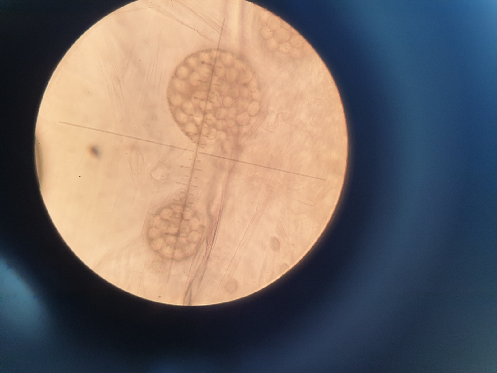
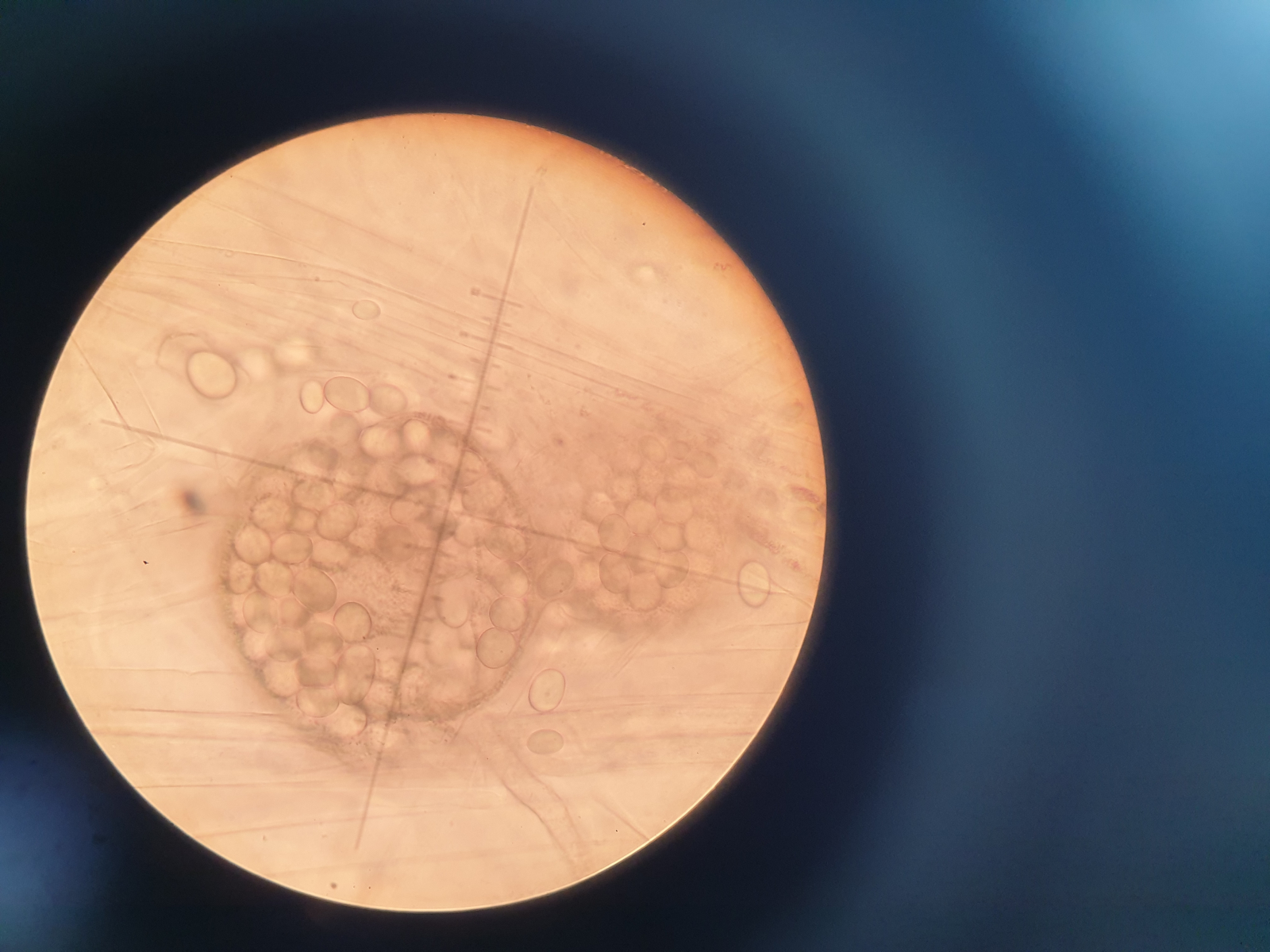
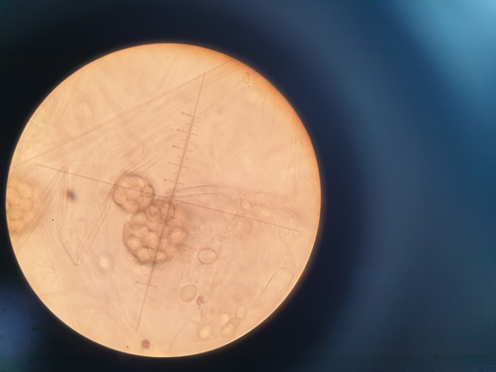
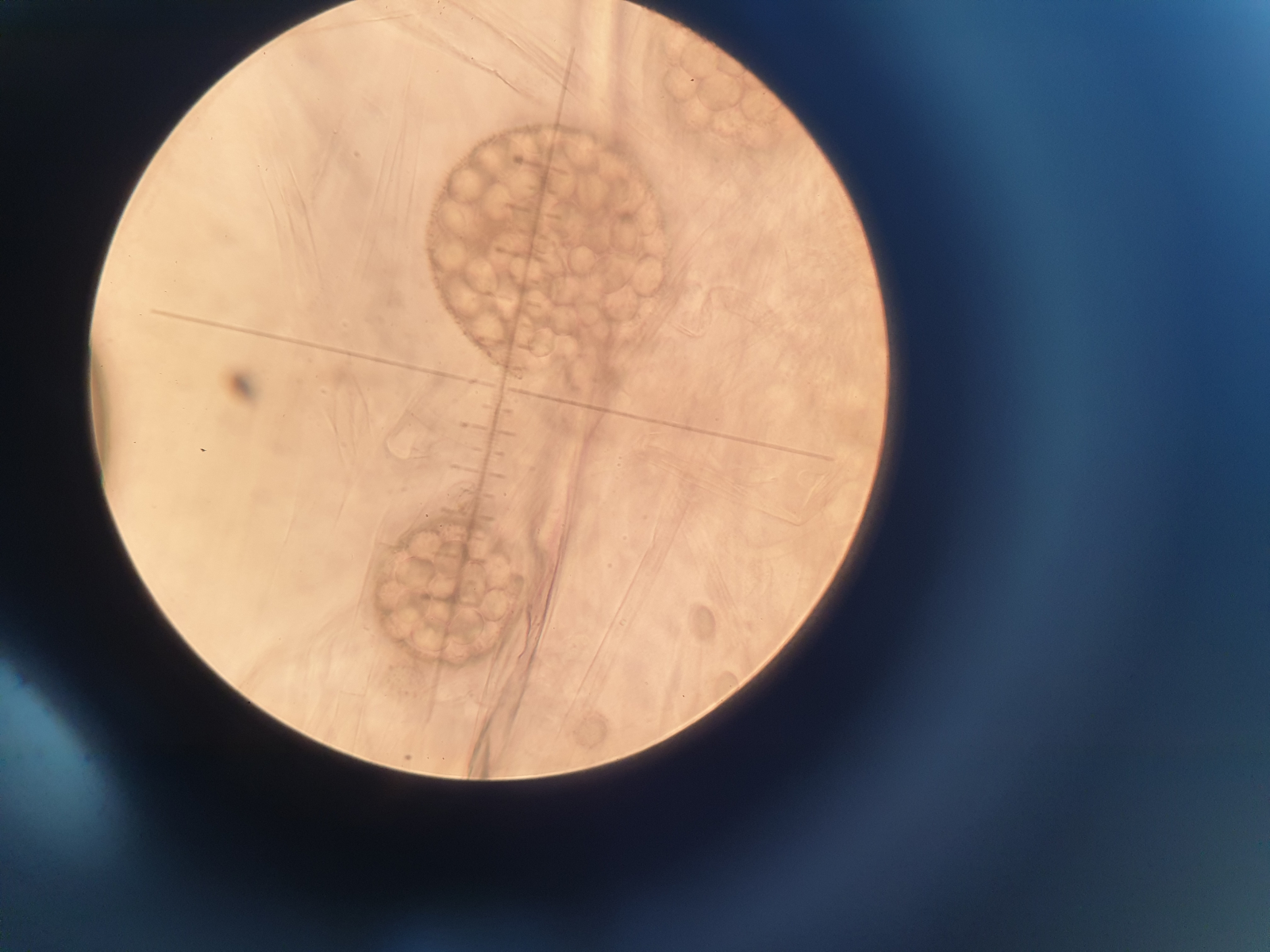
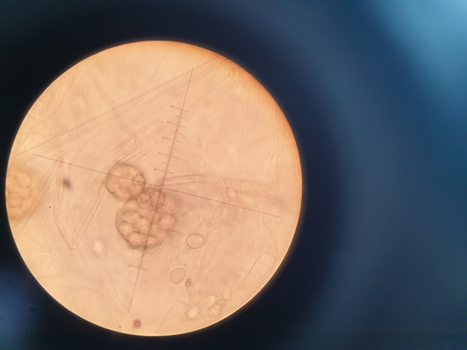
diese felligen kleinen Kameraden kamen auf Eseldung aus meinem Lieblings-NSG: Ich komm auf nix gescheites, mit dem dicken Fell trau ich mich nicht mal zu einer Gattung, erster Gedanke wäre Chaetomium - aber so perfekte Asci? Podospora? Arnium? Ich hab keine Ahnung:
-
-
Ich hänge mich mal rein: ich hab ja auch noch ein Mikroskop-Aufrüstungsprojekt laufen - Ich bin beim Mikroskop schon relativ fest beim Panthera KU Trinokular / C-Mount 0,65x / Mikroskopkamera MikroLive MultiFormat von mikroskopie.de. Ich hätte mir da die drei Standardobjective gekauft 4/10/40/100. Hat jemand mit diesen Mikroskopkameras Erfahrung?
Außerdem möchte ich mir auch eine Stereolupe holen, mit der ich dann auch Bilder machen kann - Herr Lindenheld hat die Stemi-Reihe im Programm (kenne ich als High-end-Gerät aus dem Labor). Ich frage mich jetzt, ob ich mir eher ein Gerät mit Ringleuchte oder mit flexibler Beleuchtung hole, beides ist im Angebot. Hat da jemand- Erfahrung bzw. eine Meinung? Die Kamera hätte ich dann jeweils vom Mikroskop zur Stereolupe jeweils versetzt, laut Herrn Lindenheld geht das. Auch da - gibt es Erfahrungen? Meinungen?
-
Mein Osterhase hatte Pilaira anomala - hab mich getraut, das Zeugs zu mikroskopieren, war eigentlich auf Mucor aus, aber das passte nicht. Der kleine Ellis&Ellis und Kackepilze von Neuseeland haben mich dann auch die richtige Spur gebracht.
