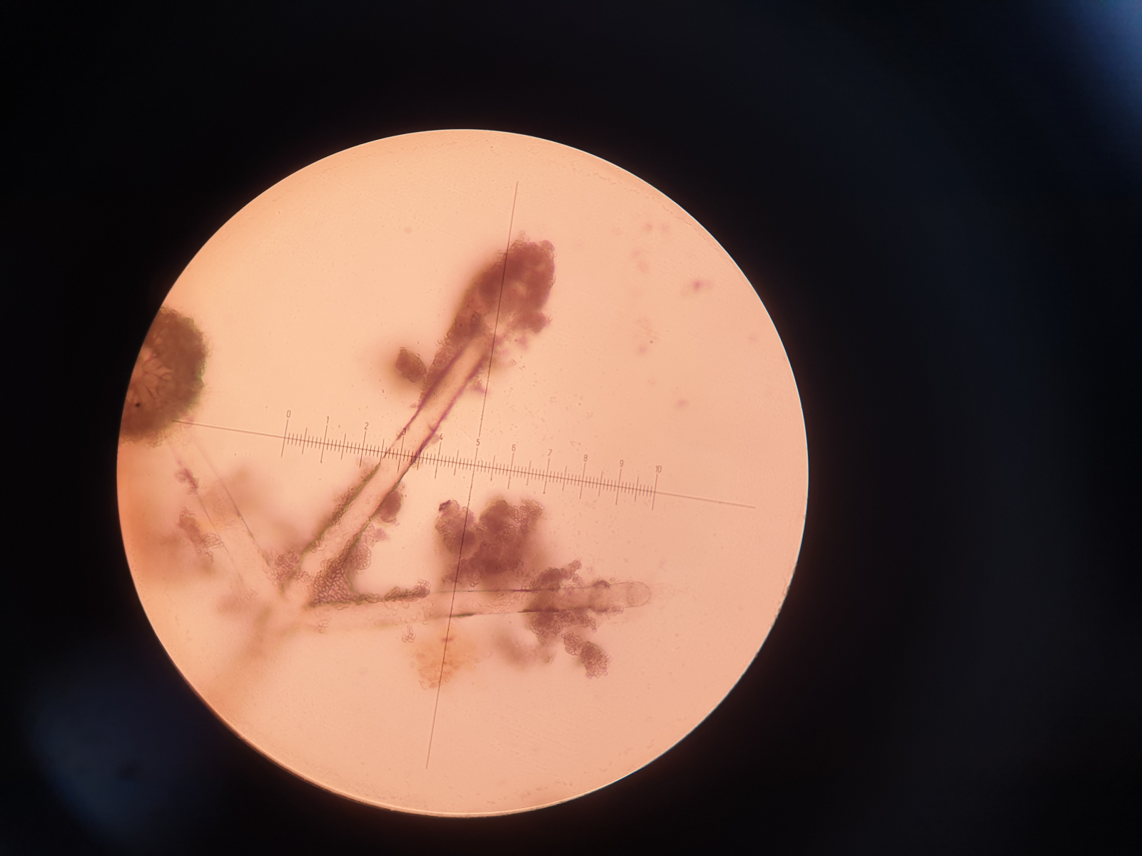
Ich hatte crystallinus auf Reh, Kaninchen und Schaf, kleinii auf Schaf, Rind und Esel, und oedipus hattest Du Nobi auf Pferd, was ich Dir geschickt hatte.
Beiträge von Hagen Graebner
-
-
lar werde ich Euch hier auf dem Laufenden halten! Zur Häufigkeit: Bei Pilze-Deutschland ist Pilobolus crystallinus komischerweise mit knapp über 200 Funden eindeutig der häufigste Pilobolus überhaupt. Alle anderen liegen dann eher im unteren zweistelligen Bereich.
bei mir ist es auch fast immer der crystallinus.
-
Du hast Recht, das erste Bild gehörte zu einer anderen Serie, den Ascozonus hatte ich neulich hier schon mal gezeigt. Sorry. Und ja, ich werde mir demnächst eine gescheitere Ausrüstung zulegen. Immer nur mit dem Mobiltelfon durch Okular macht keinen Sinn.
-
Ihr hattet mich ja losgeschickt, etwas älteren Bullshit zu sammeln. Der gammelt jetzt in 4 Schachteln vor sich hin. In einer kommen komische weiße Dinger mit 32-sporigen Asci, Sporen etwa 13x8 µm. War erst ratlos, dann aber
der Meinung, Coprotus könnte passen. Ich komme auf Coprotus albidus. Liege ich da richtig?
-
-
Maße sind überbewertet
Das war in 400 fach - sind noch genug da - ich messe morgen mal . 
-
Grad noch mal geschaut, 1866 von meinem Nachbarn beschrieben vom Rabenkopf, allerdings nicht von "meinem" sondern von dem in Oestrich - in Sichtweite

-
Danke Dir. Passt perfekt. Scheint auch mit der von dir genannten Substratvorliebe gut zu passen. Nur an einer von drei Proben auf der gleichen Weide, die auch in relativ engem Umkreis eingesackt wurden.
-
-
Ich steh mal wieder auf dem Ascus. Die kleinen Dinger kommen grad auf einer Probe nicht mehr so frischen Belted-Galloway-Jungbullen-Dung: Irgendwie lande ich bei Thelebolus, sind aber ganz weiß. (64 Sporen, Spore etwa 10-11 x 5-6 µm) Dottore hat leider nicht alle Arten mit Beschreibungen drin. Bin ich irgendwo komplett falsch abgebogen?
-
Sorry, war schon spät

Also ich habe > 32 Sporen gezählt (64?) die Sporen waren etwa 11-12 µm lang.
-
-
Dein Wort in Gottes Gehörgang

-
Macht Ihr die Online? Oder halt erst nach der Pestilenz?
-
So ein Tintlingskurs von grundauf wär auch mal was - ich komm an die Dinger irgendwie nicht so recht ran und ignorier die immer in meinen Rocher-Schachteln ...
-
Keine Angst - ich wollte den nicht kartieren :-). War nur neugierig. Danke für den Schubs in die richtige Richtung.
-
-
vergleich mal mit Cladosporium sp. Sieht zumindest verdammt danach aus...
Cladosporium cucumerinum – Plant Parasites of Europe (bladmineerders.nl)
Gar nicht abwegig.
-
Die einzige sinnstiftende Idee, die ich dazu habe, lautet: Den Kürbis nicht mehr essen

Das ist ein Zierkürbis. Den hätte man wegen der Cucurbitacine eh nicht essen dürfen. Und ich habs mal probiert, nur mal den Finger abgeleckt, als ich Samen aus einen Zierkürbis geholt hab. Den isst ein einigermaßen normaler Mensch nicht. Oder um es anders zu sagen -Kürbisse sind eigentlich Täublinge.
-
Hallo zusammen,
auf einem "vergessenen" Zierkürbis in meinem Garten wuchs diese Anamorphe. Hat irgendwer eine sinnstiftende Idee?
Danke & Gruß
Hagen
-
Da muss ich wohl auch mal bei mir auf die Fläche, auf der im Sommer die Belted Galloway weiden. Jetzt sind sie weg :-). ich geh da lieber nicht drauf, wenn da 17 Jungbullen drauf sind

-
Der Erlöser der CDU ist da: Armin Laschet | Noch Nicht Schicht - YouTube
Ihr fragt Euch, was das hier soll? Spult vor bis zum Zitat des Tages


-
Nein, gibt keine Mikrobilder, wurde nur gefragt

-
Apropos Häufigkeit.
Ob die Art wirklich selten ist?
Ich glaube, das ist bei fast allen Dungpilzen so. Es schauen zu wenig Leute hin.

-
Danke Euch . Es war übrigens Rehkacke, die schon etwas länger da gelegen hatte.
