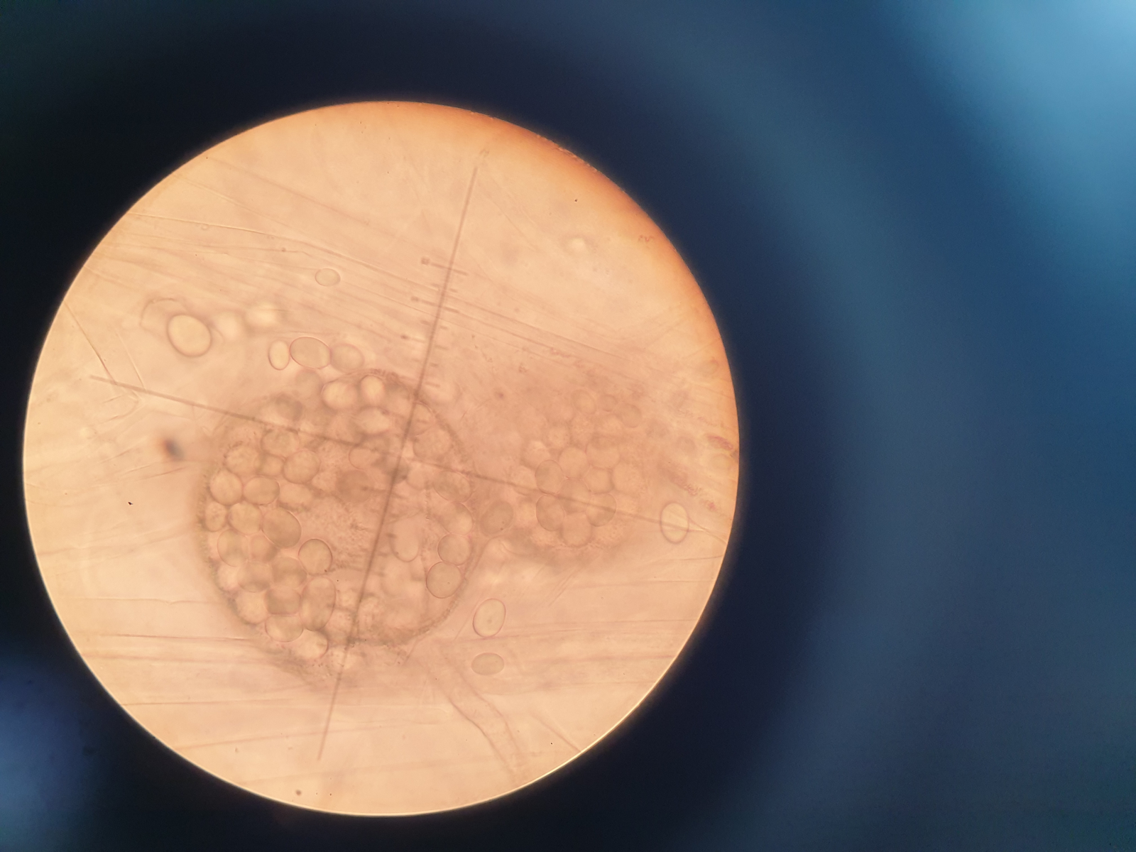
Irgendwie wage ich mich mal an das Schimmelzeugs - das war Watte auf Mäusedung von meiner Terrasse. Im kleinen Ellis & Ellis komme ich zu Actinomucor elegans. Kann das sein ? Sporen etwa 12 µm lang.
Diese Seite verwendet Cookies. Durch die Nutzung unserer Seite erklärst du dich damit einverstanden, dass wir Cookies setzen.Weitere InformationenSchließen