Hallo zusammen,
am letzten Samstag bin ich zu einer längeren Runde an die Ruhr am Städtedreieck Duisburg/Oberhausen/Mülheim aufgebrochen. Unterwegs konnte ich auch den einen oder anderen Pilz einsammeln, insbesondere die Phytoparasiten waren gut vertreten.
1. Uromyces ficariae ex Ficaria verna








2. Albugo candida s.l. ex Cardamine hirsuta


3. Peronspora ficariae ex Ficaria verna

4. Ich vermute hier eine Veronica, aber sich bin ich mir nicht. Entsprechend bleibt der falsche Mehltau darauf auch vorerst ohne Namen. EDIT: Dank Jule hat der Pilz einen Namen. Es ist Peronospora grisea ex Veronica serpyllifolia.






5. Peronospora arvensis ex Veronica hederifolia agg.





6. Peronospora tomentosa ex Cerastium glomeratum








7. Schimmelpilze auf Kuhfladen. Sporen habe ich noch nicht ausgemessen, aber der Fund kommt nachher auch noch mal separat ins Kopro-Forum









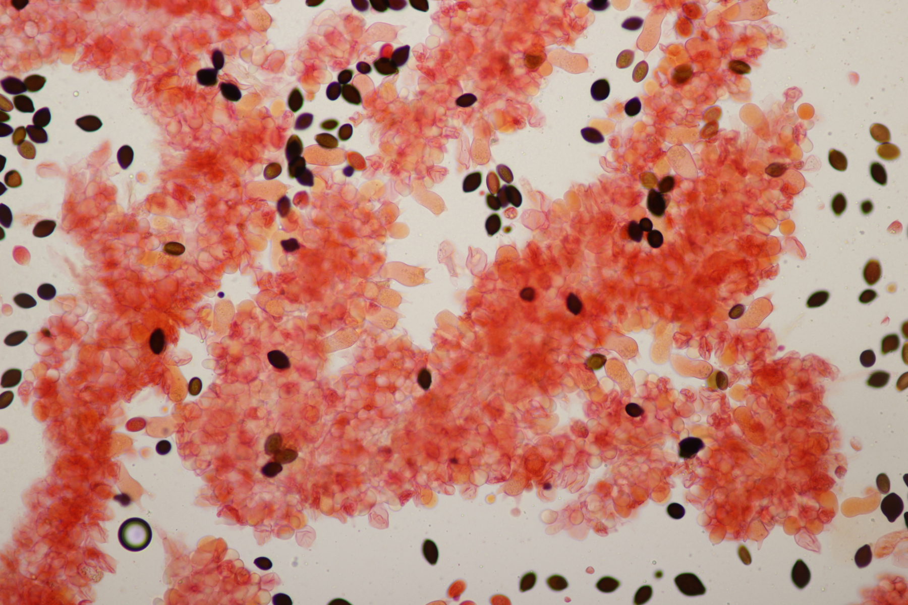
8. Uromyces sp. ex Ficaria verna



9. Septoria stellariae ex Stellaria media


10. Uromyces sp. ex Ficaria verna. Sowohl bei diesem als auch bei dem vorhergenden orangenen Uromyces würde ich vorsichtig zu U. poae tendieren.





11. Manchmal helfen Pilze auch bei der Pflanzenbestimmung. Hier wußte ich erst nicht so recht, welche Pflanze es sein kann. Aber es gibt eine Entyloma daran, also einfach mal mit den verschiedenen Entylomas auf Jules Homepage verglichen und dann paßte nur noch Myosotis. Das hat Jule mittlerweile auch bestätigt. Also Entyloma fergussonii ex Myosotis sp.






12. Puccinia lapsanae ex Lapsana communis

13. Uromyces hyacinthi ex Hyacinthoides sp.










14. Hyaloperonospora niessliana ex Alliaria petiolata




15. Peronospora aparines ex Galium aparine


16. Entyloma eryngii ex Eryngium campestre



17. Coleosporium senecionis ex Senecio inaequidens




Björn