Anomoloma myceliosum diesmal sicher morgen wird mikroskopiert
Anomoloma myceliosum
- Cognacmeister
- Erledigt
Es gibt 10 Antworten in diesem Thema, welches 812 mal aufgerufen wurde. Der letzte Beitrag () ist von Cognacmeister.
-
-
Hier sind die Sporenmessungen dazu zwei Bilder davon sind die sporen in melzer lg.
-
Sporen in Wasser
Sporen in melzers amyloid
Hyphen mit schnallen an den septen
-
Hallo,
ich kann keine Amyloidität erkennen auf den Bildern. Bist Du sicher dass das nicht einfach die Lichtbrechung ist, die einen Schimmer erzeugt?
beste Grüße,
Andreas -
Hallo,
ich kann keine Amyloidität erkennen auf den Bildern. Bist Du sicher dass das nicht einfach die Lichtbrechung ist, die einen Schimmer erzeugt?
beste Grüße,
AndreasI mach an sporenabwurf sonst wird das nix lg.
-
Hallo,
ich kann keine Amyloidität erkennen auf den Bildern. Bist Du sicher dass das nicht einfach die Lichtbrechung ist, die einen Schimmer erzeugt?
beste Grüße,
Andreas -
Halllo,
die Sporen sind eher nicht amyloid. Vergleiche mal Ceriporiopsis mucida.
LG
Frank
-
Alles anzeigen
Halllo,
die Sporen sind eher nicht amyloid. Vergleiche mal Ceriporiopsis mucida.
LG
Frank
LG danke
-
Cowabunga
-
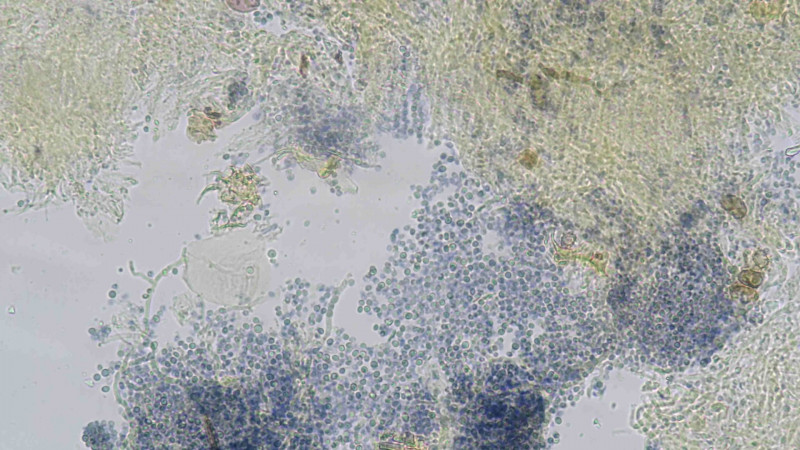
Servus "Cognacmeister",
jetzt sieht man die Amyloidität sehr gut. Bei Einzelsporen im Mikroskop ist das oft schwerer zu burteilen, auf Fotos dann nochmal schwerer. Hier sieht man aber schön anhand der vielen Sporen, die übereinander liegen, dass sie sich deutlich blau verfärben. Bestimmung also bestätigt: Anomolomy myceliosum.
Toller Fund!
Liebe Grüße,
Christoph
-
Alles anzeigen
Servus "Cognacmeister",
jetzt sieht man die Amyloidität sehr gut. Bei Einzelsporen im Mikroskop ist das oft schwerer zu burteilen, auf Fotos dann nochmal schwerer. Hier sieht man aber schön anhand der vielen Sporen, die übereinander liegen, dass sie sich deutlich blau verfärben. Bestimmung also bestätigt: Anomolomy myceliosum.
Toller Fund!
Liebe Grüße,
Christoph
Danke. Was ich nicht verstehe warum manche Sporen die Färbung nicht annehmen andere mittelmäßig und so wie hier jetz sehr stark komisch lg.
