Hallo zusammen,
am letzten Samstag war ich bei frostigen Temperaturen im Münsterland unterwegs. Von Rhade aus ging es einmal zum Kranenmeer, einem Heideweiher und wieder zurück zum Bahnhof. Die Pilzvielfalt war insgesamt natürlich übersichtlich, aber ein bißchen was findet man dann ja doch immer. Darunter auch drei Rindenpilze:
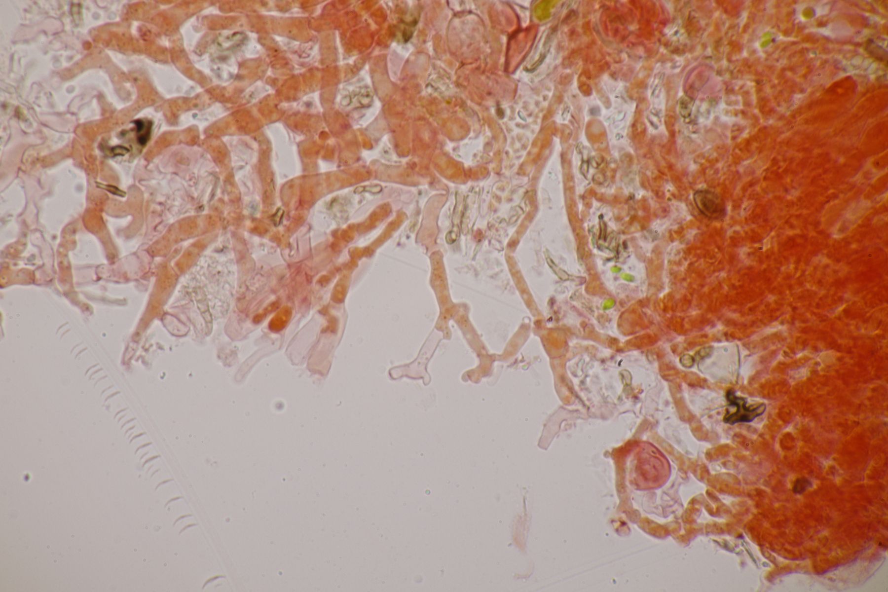
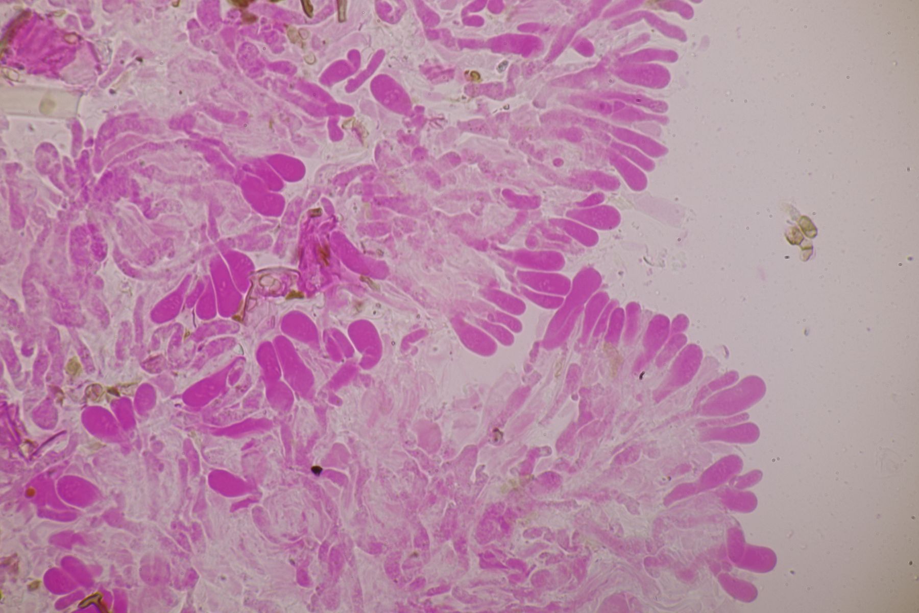
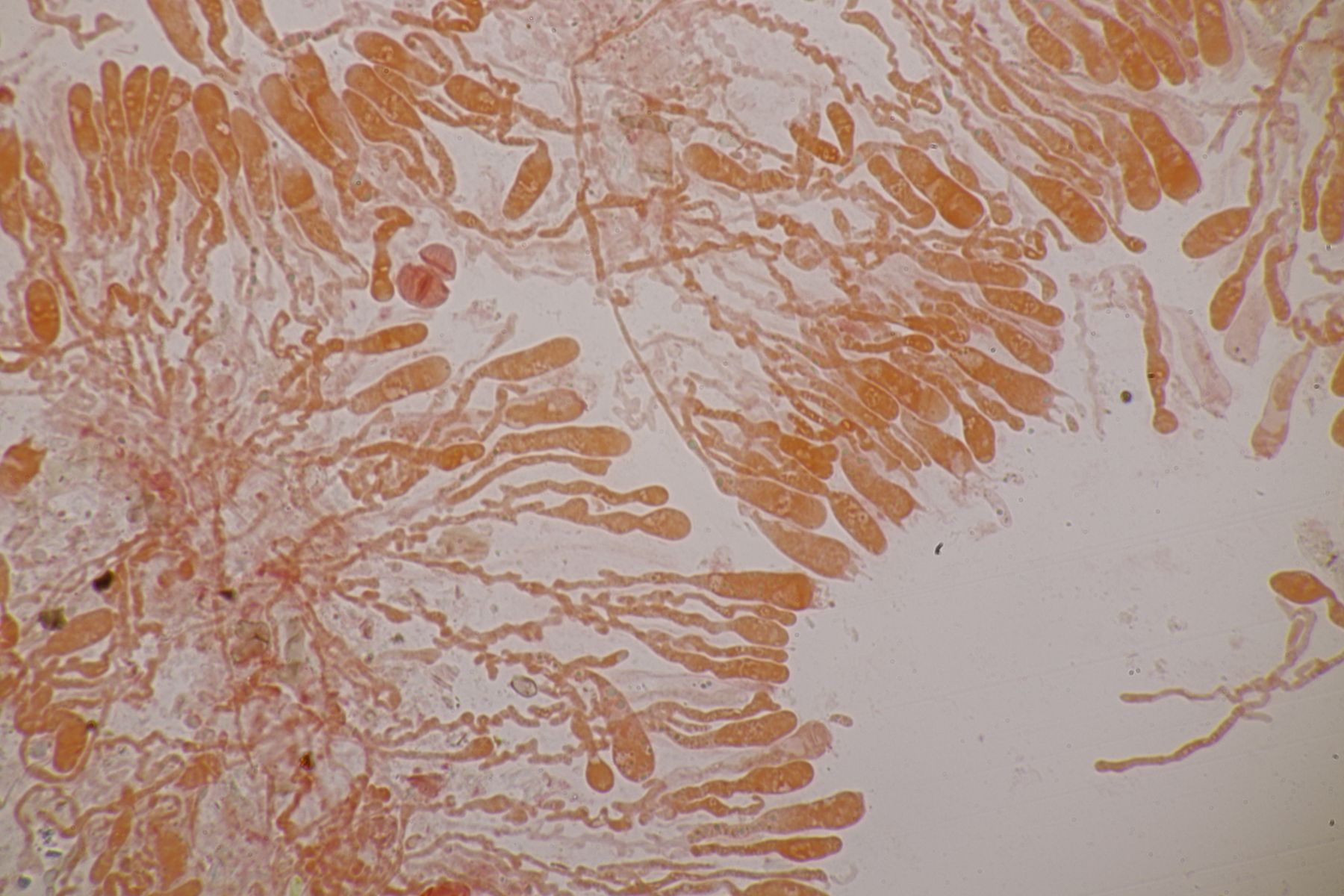
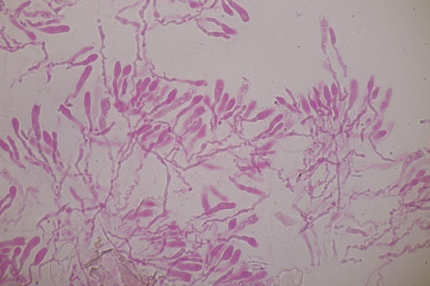
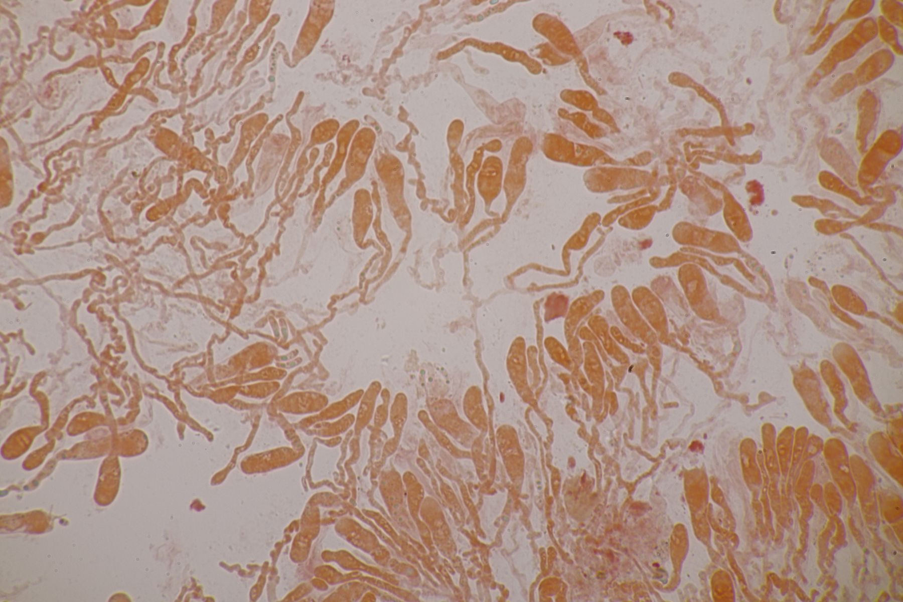
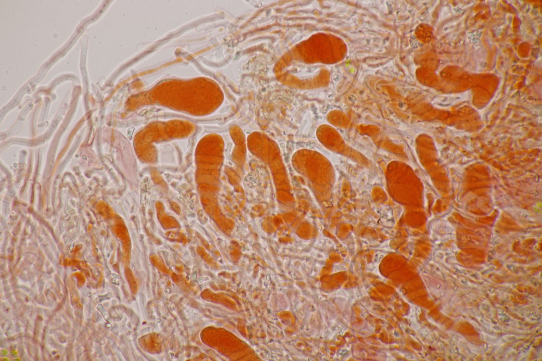
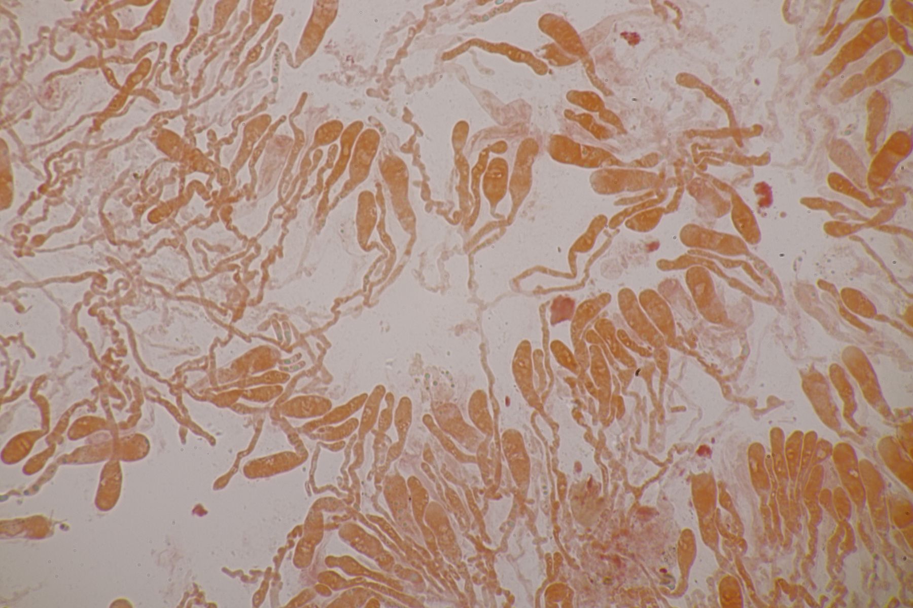
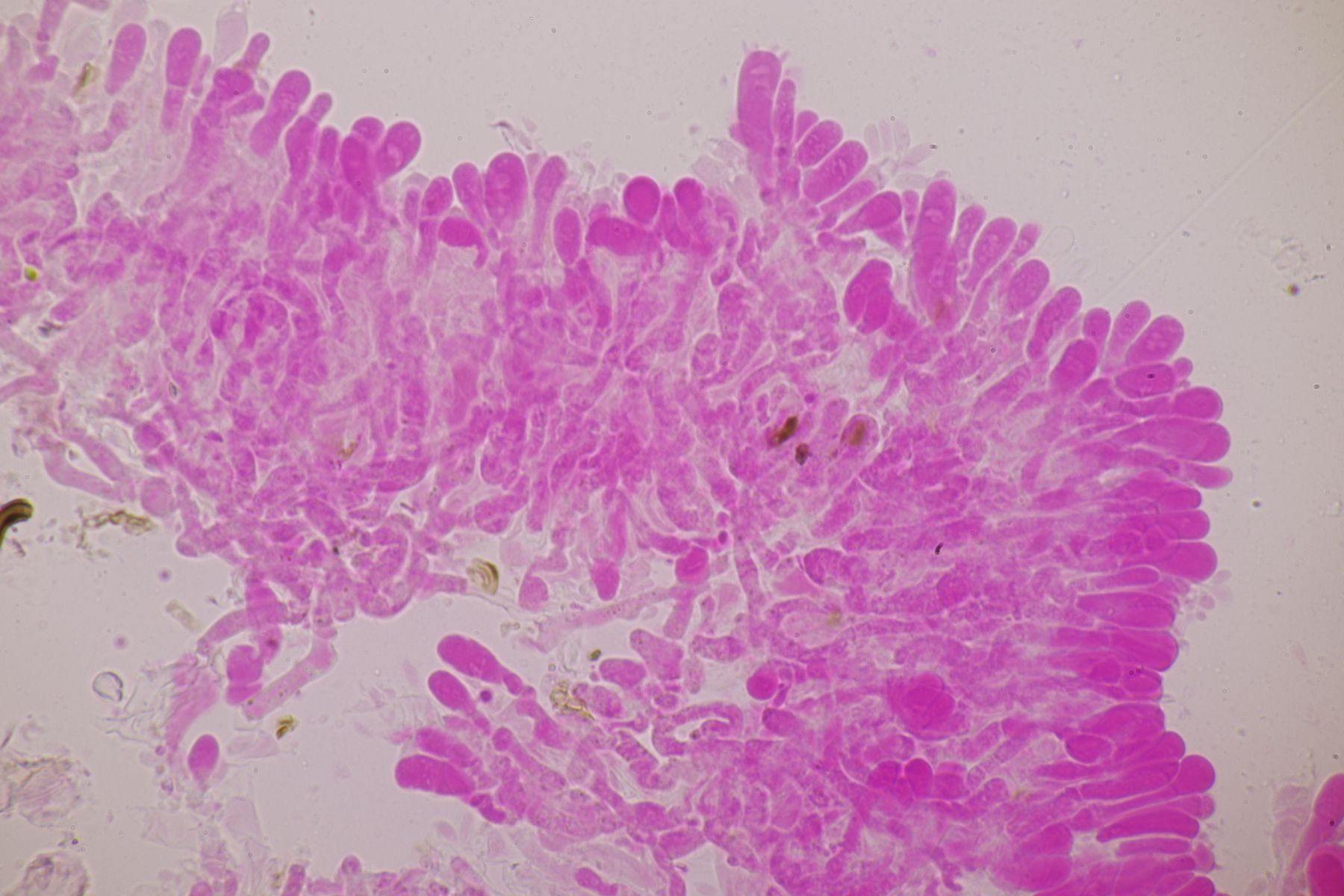
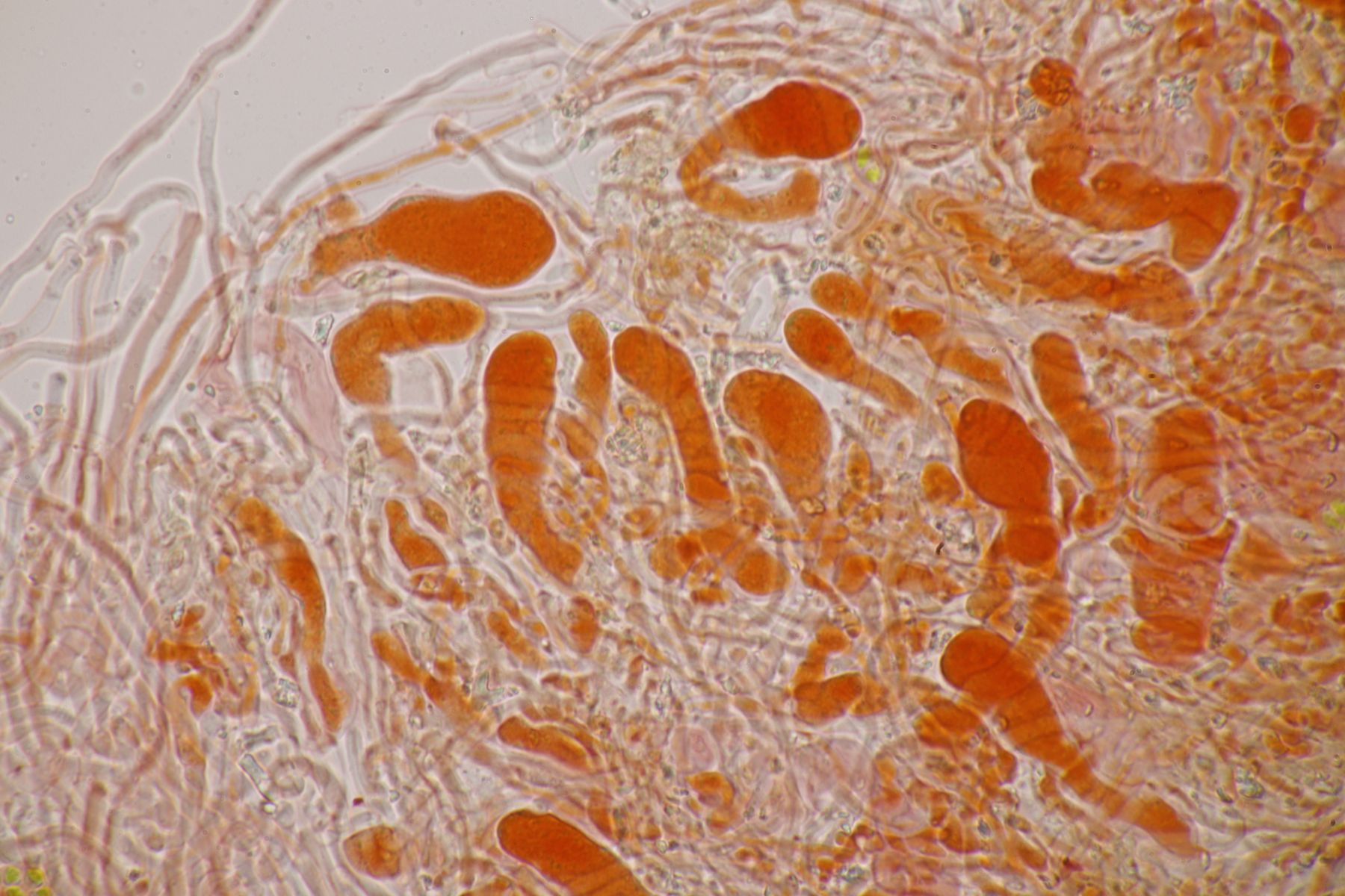
1. Hier bin ich komplett ratlos. Ein Fund auf Pinus sylvestris. Schnallen sind vorhanden, Sporen messen 6,6±0,5 µm × 1,9±0,1 µm, Q=3,5±0,2, 6,1-8,1 µm × 1,7-2,1 µm, Q=3-4,1, sind weder amyloid noch dextrinoid. Zystiden sind scheinbar nicht vorhanden. Auffällig sind die sehr knorzeligen Hyphen. Wenn ich mit diesen Parametern bei Bernicchia oder Larsson schlüssele, komme ich aber irgendwie in keine Gattung.
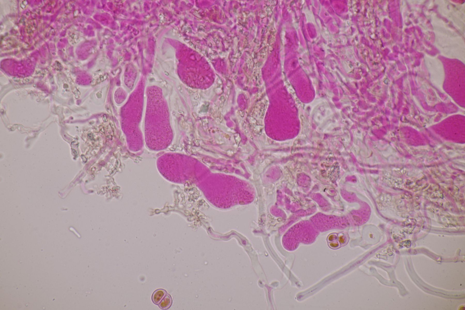
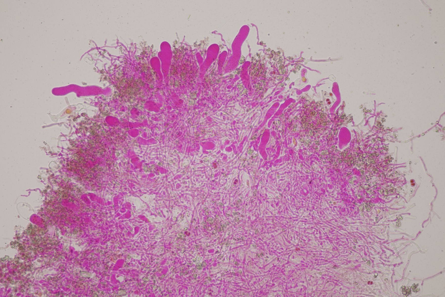
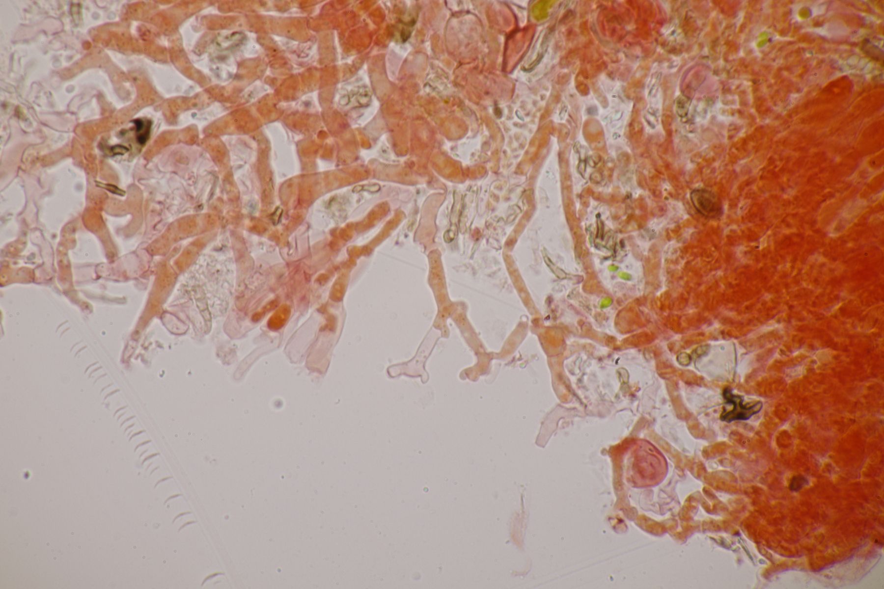
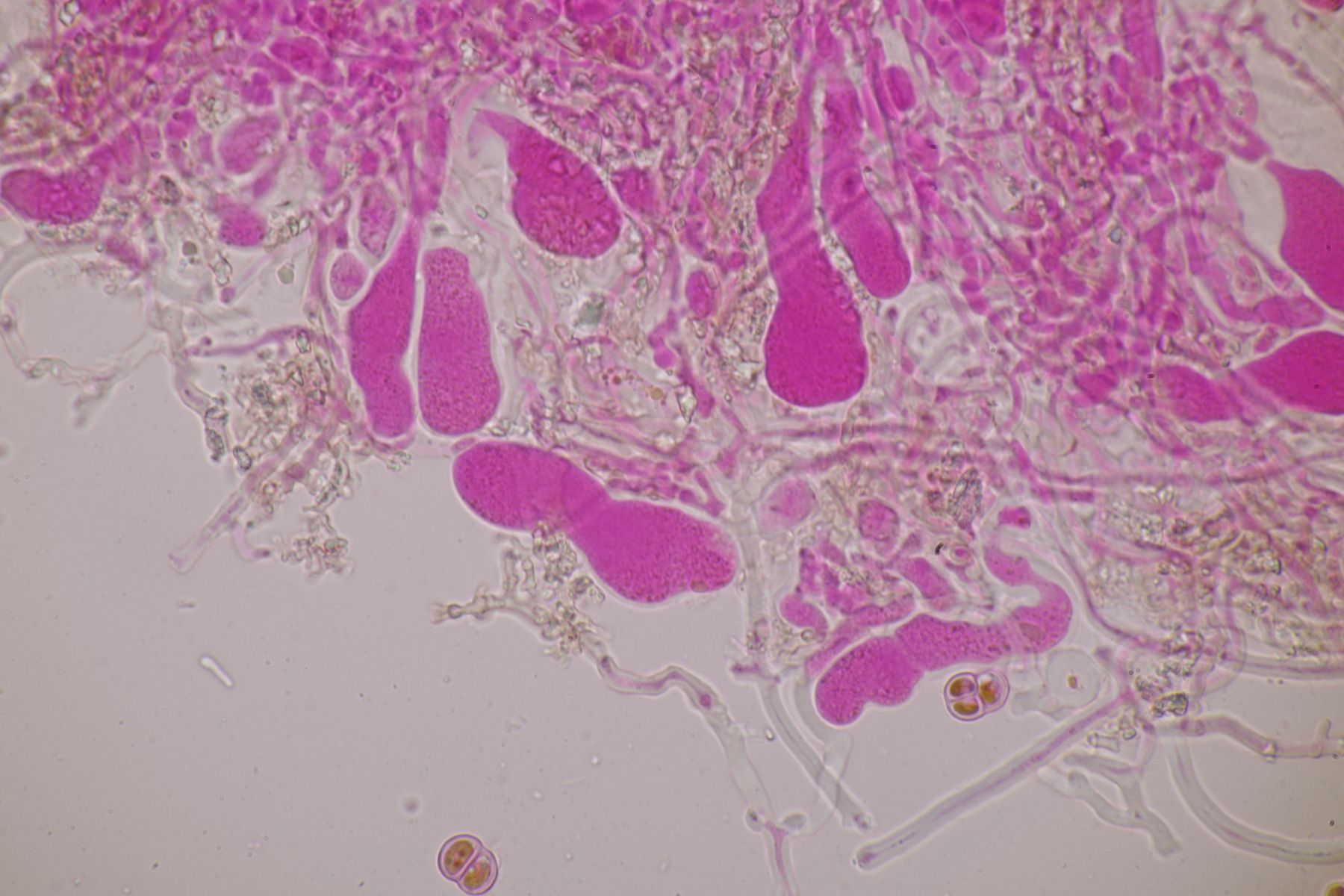
2. Ein Rindenpilz, der auch schon makroskopisch gut ansprechbar ist: Corticium roseum auf Salix sp.
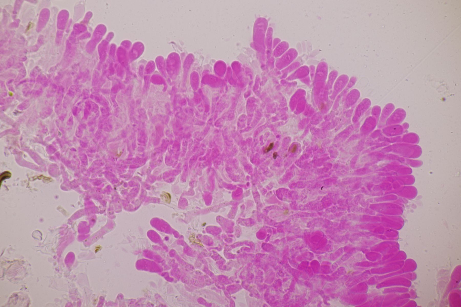
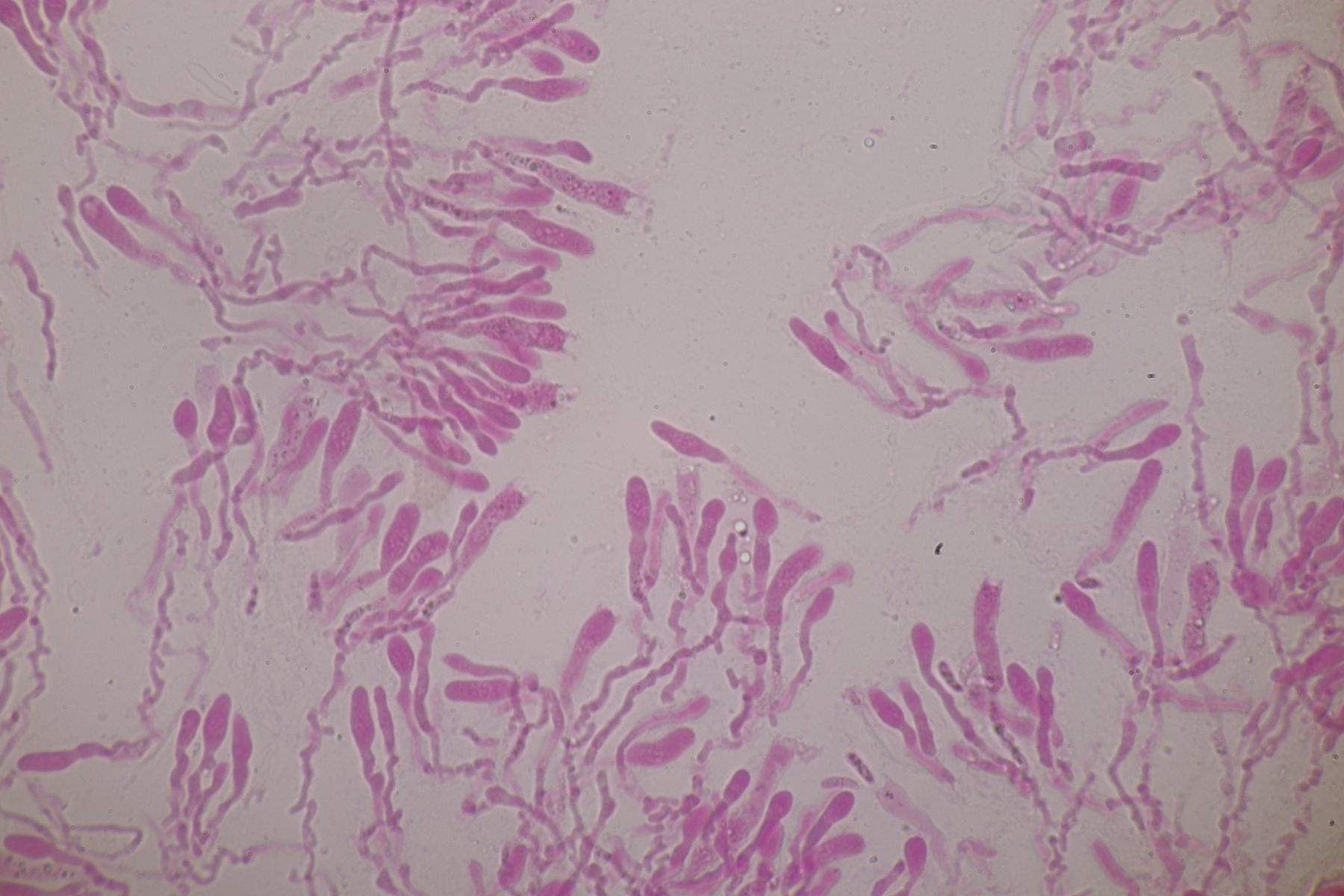
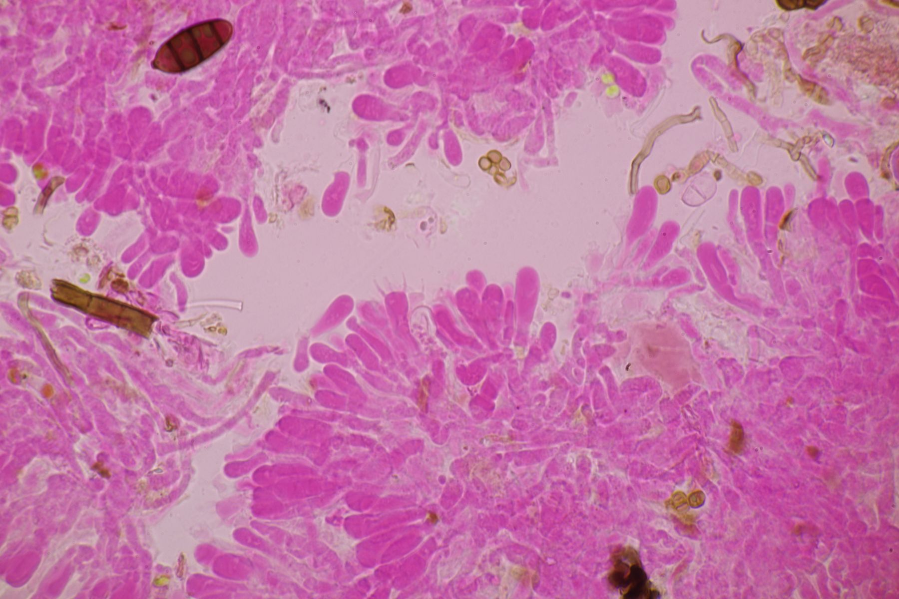
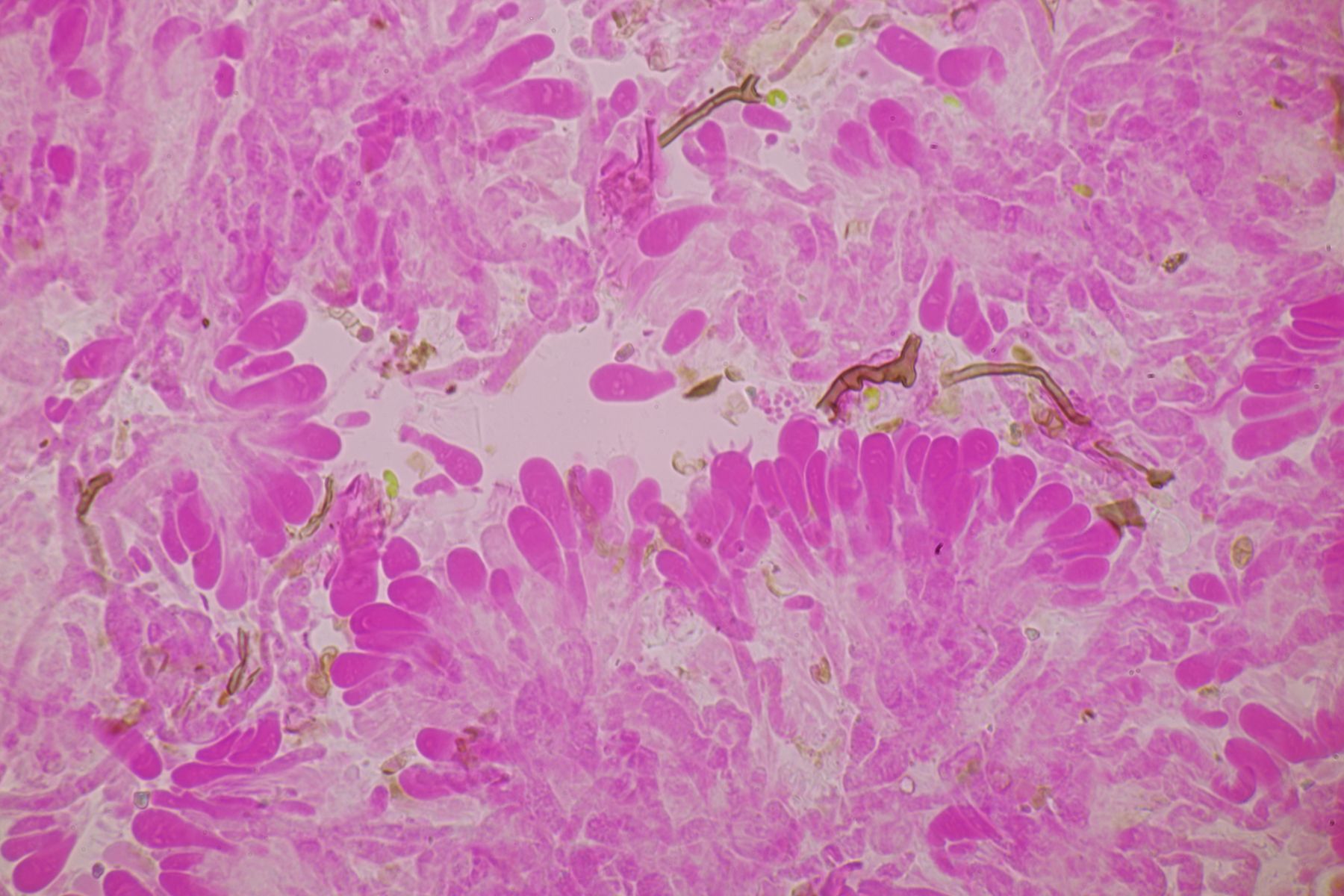
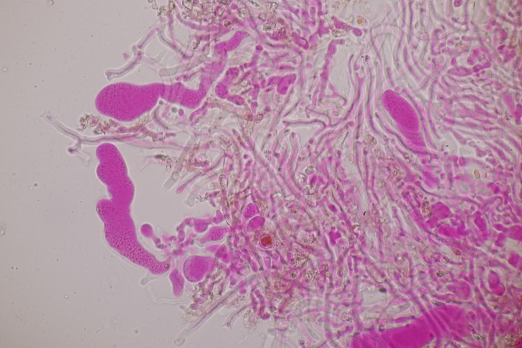
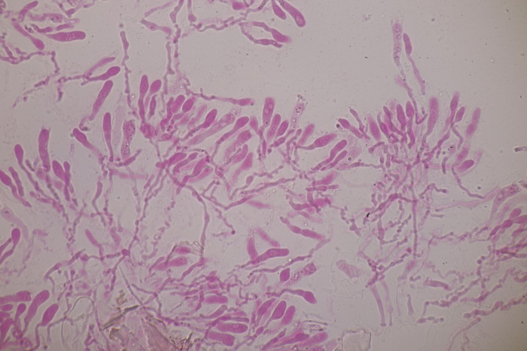
3. Und der dritte im Bunde auf Birke. Mit den 6-sporigen Basidien, die nicht urniform sind, kommt man schnell zur Gattung Sistotremastrum und dort dann mit Sporenmaßen von 5,8±0,4 µm × 2,9±0,2 µm, Q=2±0,2, 5-6,4 µm × 2,6-3,3 µm, Q=1,7-2,3 zu Sistotremastrum guttiliferum
Björn
