Hallo zusammen
Vergangene Woche war ich an der Tagung unserer Wissenschaftlichen Kommission.
Da gab es einige spannende Sachen, hier eine Auswahl:
1:
Eine kleine Lepiota von einem Trockenrasen mit einzelnen Birken und Kiefern. Die macht mir immernoch ziemlich Kopfzerbrechen.
Der schräge, gerandete Ring spricht eigentlich für Lepiota pseudolilacea, eine Art die in dem Gebiet recht häufig ist.
Aber die Mikroskopie passt nicht dazu.
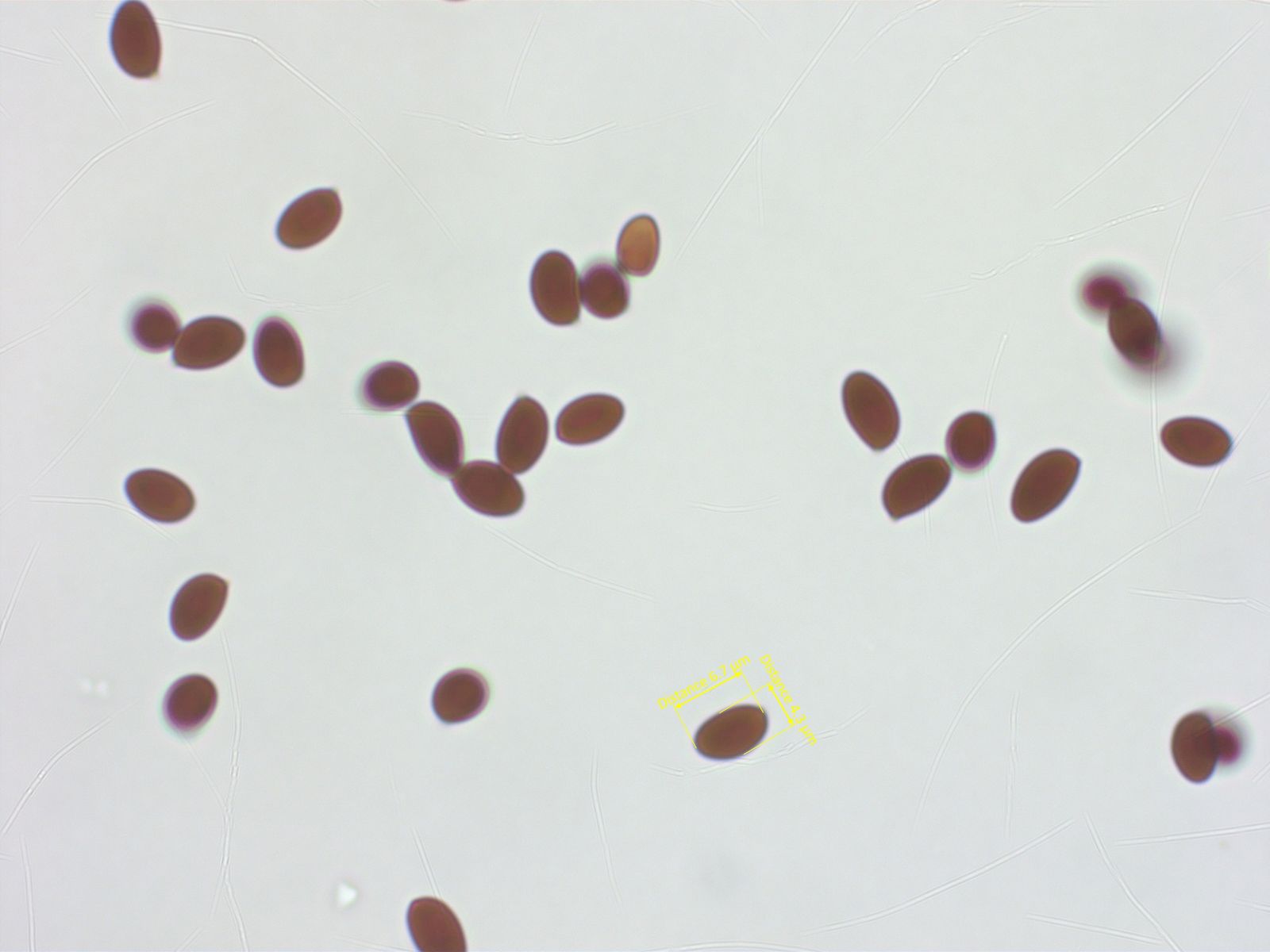
Sporen elliptisch und recht klein
Die Cheilozystiden haben eine sehr ungewöhnliche Form, oft fast moniliform.
HDS mit sehr langen Haaren und einer unauffälligen hymeniformen Unterschicht.
Diese komischen Zystiden lassen mich Ludwig's Lepiota constricocystidiata in Betracht ziehen.
Allerdings soll die keinen Ring haben. Naja, er hat sie anhand einer einzigen Kollektion beschrieben, so ein Ring kann auch mal fehlen.
2:
Infundibulicybe glareosa gab es in geeigneten Habitaten zu Tausenden.
3:
Büschelig an Holzresten von (vermutlich) Populus: Cystoagaricus lepidotoides.
Ganz typisch für diese neu geschaffene Gattung sind die oft trunkaten Sporen.
Zystiden voluminös und kopfig.
4:
Psathyrellas sind knifflig, hier komme ich auf Psathyrella jacobsonii.
Die Sporen sind recht gross für die Gattung.
Die Schneide ist voll mit amorpher Masse, die in Ammoniak grün gefärbt ist.
Pleurozystiden ebenso, recht zahlreich
Das ist ist vermutlich das gleiche, auch wenn man es makroskopisch nicht glauben will.
Sie sind makroskopisch identisch, und wurden in der geschlossenen Dose gleich dunkel wie die Exemplare auf dem ersten Foto.
So ich bin müde, der Rest folgt morgen.
LG Raphael
