Hi.
Ich habe hier noch einen Pilz von meiner Neffenwanderung rumliegen. Gehört habe ich von den Dingern schon, aber selbst gefunden hatte ich so was noch nie.
Sieht aus wie 'ne Walnuss:
Wachsen auf den Hüten von Waldfreundrüblingen und sollte wohl aus der Gattung Syzygospora sein.
Keine Ahnung wie man die präpariert, ich habe jetzt einfach ein dünnes Scheibchen rausgeschnitten und gequetscht.
Bei dem großen ist das ganze Präparat voller Zygokonidien(?). Nehme an, dass die kleinen Sporen solche sind. Zwischendrin immer mal sehr vereinzelt größere (vielleicht 3-4 Stück gesehen in mehreren Präparaten) - die müsste ich dann messen? Glaub allzu viele kriege ich davon leider nicht zusammen, der Pilz scheint nicht so Bock auf sexuelle Vermehrung zu haben.
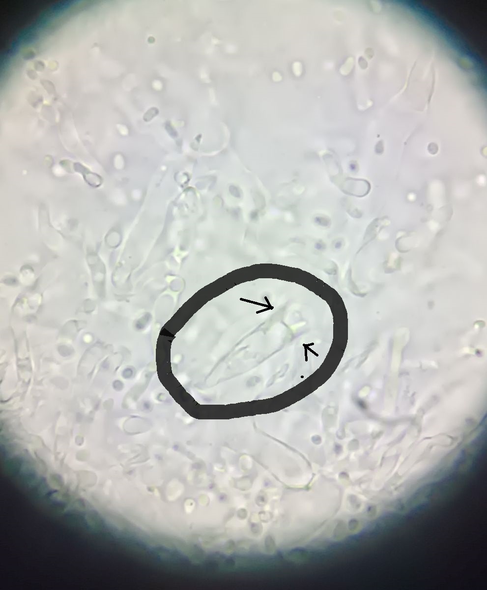
Die hier mittig zum Beispiel eine normale Basidispore? Bzw. unterscheiden sich Zygokonidien von Basidiosporen nur durch die Größe?
Fertige Basidien finde ich kaum. Hier ist in der Mitte eine mit mindestens 3 Sterigmien.
Ansonsten finde ich nur Konidienträger:
Hat jemand Erfahrung mit den Teilen?
thorben96 vielleicht?
Danke.
LG,
Schupfi
