Magerwiese am Waldrand

Es gibt 8 Antworten in diesem Thema, welches 2.226 mal aufgerufen wurde. Der letzte Beitrag () ist von kruenta.

  • N'abend, am Waldrand gibt es mittlerweile viele Pilze, einige wenige habe ich mir näher angeschaut


    1) eine Mycena mit auffälliger dunkler Lamellenschneide

    Lamellenschnitt, links die farbige Schneide, leider in Luftblase

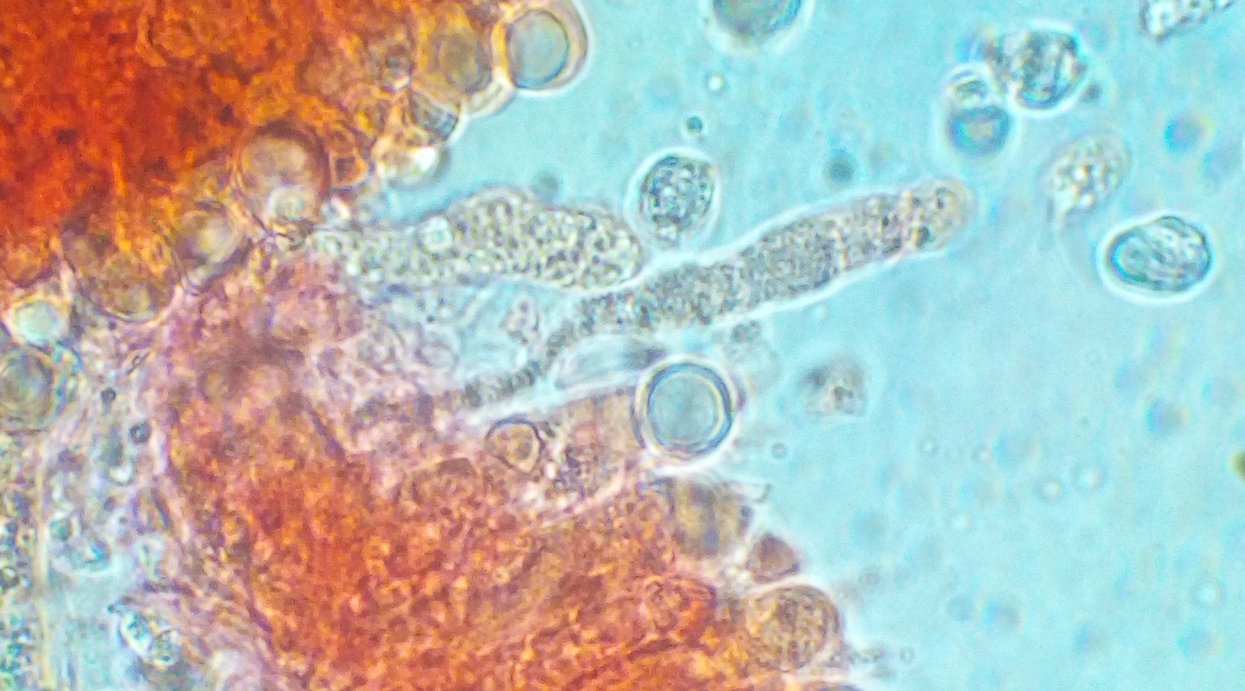
    mit riesigen Pleurozystiden, bis 90 µm

    Sporen sind nur wenige zu sehen, ~tropfenförmig 8-10 µm lang

    Vielleicht Mycena olivaceamarginata oder aus dem Umfeld

    2) Arrhenia oder so, Hutdurchmesser ~8 mm

    Sporen gelblich, deutlich umrandet, variabel, 7-10*5-6 µm, Basidie ~22 µm lang

    Dazu habe ich nichts passendes gefunden.


    3) Keulchen im Büschel

    Unterm Mikroskop habe ich nicht viel erkannt, es gibt viele kleine Kristalle

    die Basidien, wenn es welche sind, sind um 40 µm lang

    Sporen nur vereinzelt, variabel, 6-9 * 4-6 µm

    die kommt sicher noch öfters unters Glas


    LG, Bernd

  • Hallo Bernd

    1. Sieht zwar wie Mycena olivaceomarginata aus, aber die dürfte keine Pleurozystiden haben.
    2. Arrhenia bzw. Omphalina hat weiße Sporen. Ohne Zystiden habe ich momentan keine Idee
    3. Bei den kleinen hellen Keulchen musst Du mit Kongorot anfärben ein winziges Präparat von der Oberfläche machen und quetschen. Wichtig ist zu sehen, ob es an der Basis der Basidien Bogenschnallen gibt oder nicht. Wenn Du so viel frisches Material hast lege auch mal zwei oder drei Keulchen auf einen Objekttrage und decke mir einem kleinen Deckel ab. Man erhält fast immer einen Sporenabwurf.

    LG Karl

  • Hallo,


    Nr. 2 ist vermutlich Romagnesiella clavus und das Keulchen wird sich möglicherweise (je nach Artkonzept) bei Clavaria "krieglsteineri/tenuipes" einordnen. Die Clavariaceae sind aktuell aber noch sehr unaufgeräumt.


    LG,

    Alex

  • Hallo allerseits und vielen Dank. Romagniella clavus gefällt mir sehr gut, die gibt's sogar mit Portrait im Forum RE: Romagnesiella clavus (Romagn.) Contu, Matheny, P.-A. Moreau, Vizzini & A. de Haan 2014


    Die Keulchen habe ich zum Absporen abgelegt, neben der beigefarbenen wächst da auch noch eine weiße von ähnlicher Größe, mit etwas weniger deutlich abgesetztem Stiel.


    LG, Bernd

  • Hallo allerseits,


    von Nr. 2 habe ich noch ein frisches Exemplar geholt und eins in jung, das dazugehören könnte

    2a) 10 mm Hut


    Lamelle, Sporen wie gehabt gelblich, 6-9 (10)*4-5, einzelne Cheilozystiden 10*50 µm und größer, Pleurozystiden dünnwandiger, instabil


    Stiel ohne Kaulozystiden, sehr faserig, langgestreckte Zellen 4-12 µm breit

    HDS

    2b) 3 mm Hut

    Lamelle, Sporen gelblich, 5-8 *4-5, einzelne Cheilozystiden - anders geformt als zuvor, was ich mikroskopisch als einzigen Unterschied ansehe

    HDS

    Stiel ohne Kaulozystiden, faserig

    Damit passt Romagnesiella clavus nicht.

    LG, Bernd

  • Hallo allerseits,


    das Absporen der Keulchen hat überraschend gut funktioniert.

    Die beigefarbene Keule hat breit elliptische bis tonnenförmige Sporen 7-9*5-6 µm (nur solche gemessen, die nicht auf dem Kopf stehen).


    mit'm 40er haben die Sporen noch Farbe

    in Öl nicht mehr

    Übersicht


    Basidien so zu isolieren, dass man die beurteilen kann, ob die mit Schnallen verbunden oder verzweigt sind, ist mir nicht gelungen, am ehesten noch diese hier

    von den Kristallen war der hier fast würfelfömig mit KL 11 µm (und oben ist eine Fremdspore dabei von Nr. 2)

    ---

    die weiße Keule hat deutlich kleinere Sporen, 5-7*3 µm, mit seitlichem Apikus und meistens mit Blase

    Basidien habe ich hier auch keine freilegen können, ansonsten auch hier keine Schnallen zu sehen, Trama aus langen Zellen 5-10 µm breit


    LG, Bernd